Complement C5 Recombinant Rabbit Monoclonal Antibody [PSH04-01]
cat.: HA722082
Product Type: Recombinant Rabbit monoclonal IgG, primary antibodies
Species reactivity: Human
Applications: WB, IF-Cell, IHC-P, FC
Clonality: Monoclonal
Clone number: PSH04-01
Form: Liquid
Storage condition: Shipped at 4℃. Store at +4℃ short term (1-2 weeks). It is recommended to aliquot into single-use upon delivery. Store at -20℃ long term.
Storage buffer: PBS (pH7.4), 0.1% BSA, 40% Glycerol. Preservative: 0.05% Sodium Azide.
Concentration: 1ug/ul
Purification: Protein A affinity purified.
Molecular weight: Predicted band size: 188 kDa
Isotype: IgG
Immunogen: Recombinant protein within human C5 aa 1-900 / 1,676.
Positive control: HepG2 cell lysate, human liver tissue lysate, human plasma lysates, HepG2, human breast tissue, human liver tissue.
Subcellular location: Secreted.
Recommended Dilutions:
  WB
  IF-Cell
  IHC-P
  FC

1:2,000
1:100
1:200
1:1,000
Uniprot #: SwissProt: P01031 Human
Alternative names: Complement C5 C3 and PZP-like alpha-2-macroglobulin domain-containing protein 4 Complement C5 beta chain Complement C5 alpha chain C5a anaphylatoxin Complement C5 alpha' chain C5 CPAMD4
Images
HA722082_1.jpg Fig1: Western blot analysis of Complement C5 on different lysates with Rabbit anti-Complement C5 antibody (HA722082) at 1/2,000 dilution.

Lane 1: HepG2 cell lysate (20 µg/Lane)
Lane 2: Human liver tissue lysate (40 µg/Lane)

Predicted band size: 188 kDa
Observed band size: 188/72 kDa

Exposure time: 43 seconds;
ECL: K1802
4-20% SDS-PAGE gel.

Proteins were transferred to a PVDF membrane and blocked with 5% NFDM/TBST for 1 hour at room temperature. The primary antibody (HA722082) at 1/2,000 dilution was used in 5% NFDM/TBST at 4℃ overnight. Goat Anti-Rabbit IgG - HRP Secondary Antibody (HA1001) at 1/50,000 dilution was used for 1 hour at room temperature.
HA722082_2.jpg Fig2: Western blot analysis of Complement C5 on human plasma lysates with Rabbit anti-Complement C5 antibody (HA722082) at 1/2,000 dilution.

Lysates/proteins at 40 µg/Lane.

Predicted band size: 188 kDa
Observed band size: 72 kDa

Exposure time: 43 seconds;
ECL: K1801
4-20% SDS-PAGE gel.

Proteins were transferred to a PVDF membrane and blocked with 5% NFDM/TBST for 1 hour at room temperature. The primary antibody (HA722082) at 1/2,000 dilution was used in 5% NFDM/TBST at 4℃ overnight. Goat Anti-Rabbit IgG - HRP Secondary Antibody (HA1001) at 1/50,000 dilution was used for 1 hour at room temperature.
HA722082_3.jpg Fig3: Immunocytochemistry analysis of HepG2 cells labeling Complement C5 with Rabbit anti-Complement C5 antibody (HA722082) at 1/100 dilution.

Cells were fixed in 4% paraformaldehyde for 20 minutes at room temperature, permeabilized with 0.1% Triton X-100 in PBS for 5 minutes at room temperature, then blocked with 1% BSA in 10% negative goat serum for 1 hour at room temperature. Cells were then incubated with Rabbit anti-Complement C5 antibody (HA722082) at 1/100 dilution in 1% BSA in PBST overnight at 4 ℃. Goat Anti-Rabbit IgG H&L (iFluor™ 488, HA1121) was used as the secondary antibody at 1/1,000 dilution. PBS instead of the primary antibody was used as the secondary antibody only control. Nuclear DNA was labelled in blue with DAPI.

Beta tubulin (M1305-2, red) was stained at 1/100 dilution overnight at +4℃. Goat Anti-Mouse IgG H&L (iFluor™ 594, HA1126) was used as the secondary antibody at 1/1,000 dilution.
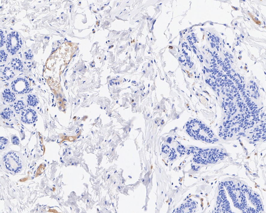
HA722082_4.jpg Fig4: Immunohistochemical analysis of paraffin-embedded human breast tissue with Rabbit anti-Complement C5 antibody (HA722082) at 1/200 dilution.

The section was pre-treated using heat mediated antigen retrieval with Tris-EDTA buffer (pH 9.0) for 20 minutes. The tissues were blocked in 1% BSA for 20 minutes at room temperature, washed with ddH2O and PBS, and then probed with the primary antibody (HA722082) at 1/200 dilution for 1 hour at room temperature. The detection was performed using an HRP conjugated compact polymer system. DAB was used as the chromogen. Tissues were counterstained with hematoxylin and mounted with DPX.
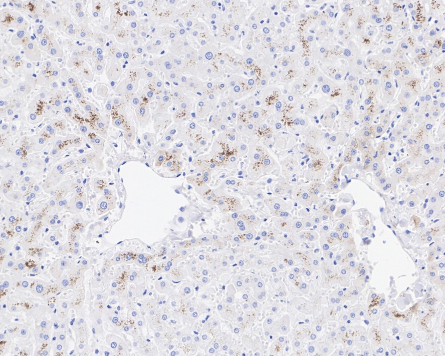
HA722082_5.jpg Fig5: Immunohistochemical analysis of paraffin-embedded human liver tissue with Rabbit anti-Complement C5 antibody (HA722082) at 1/200 dilution.

The section was pre-treated using heat mediated antigen retrieval with Tris-EDTA buffer (pH 9.0) for 20 minutes. The tissues were blocked in 1% BSA for 20 minutes at room temperature, washed with ddH2O and PBS, and then probed with the primary antibody (HA722082) at 1/200 dilution for 1 hour at room temperature. The detection was performed using an HRP conjugated compact polymer system. DAB was used as the chromogen. Tissues were counterstained with hematoxylin and mounted with DPX.
HA722082_6.jpg Fig6: Flow cytometric analysis of HepG2 cells labeling Complement C5.

Cells were fixed and permeabilized. Then stained with the primary antibody (HA722082, 1μg/mL) (red) compared with Rabbit IgG Isotype Control (green). After incubation of the primary antibody at +4℃ for an hour, the cells were stained with a iFluor™ 488 conjugate-Goat anti-Rabbit IgG Secondary antibody (HA1121) at 1/1,000 dilution for 30 minutes at +4℃. Unlabelled sample was used as a control (cells without incubation with primary antibody; black).
Note: All products are “FOR RESEARCH USE ONLY AND ARE NOT INTENDED FOR DIAGNOSTIC OR THERAPEUTIC USE”.