CD30 Recombinant Rabbit Monoclonal Antibody [PSH04-10]
cat.: HA722091
Product Type: Recombinant Rabbit monoclonal IgG, primary antibodies
Species reactivity: Human
Applications: WB, IHC-P, FC, IF-Tissue
Clonality: Monoclonal
Clone number: PSH04-10
Form: Liquid
Storage condition: Shipped at 4℃. Store at +4℃ short term (1-2 weeks). It is recommended to aliquot into single-use upon delivery. Store at -20℃ long term.
Storage buffer: PBS (pH7.4), 0.1% BSA, 40% Glycerol. Preservative: 0.05% Sodium Azide.
Concentration: 1ug/ul
Purification: Protein A affinity purified.
Molecular weight: Predicted band size: 64 kDa
Isotype: IgG
Immunogen: Recombinant protein within human CD30 aa 1-385 / 595.
Positive control: HDLM-2 cell lysate, HUT 102 cell lysate, HDLM-2, human anaplastic large cell lymphoma tissue, human embryonal carcinoma tissue, human tonsil tissue.
Subcellular location: Cell membrane; Cytoplasm.
Recommended Dilutions:
  WB
  IHC-P
  FC
  IF-Tissue

1:1,000
1:500-1:1,500
1:500
1:1,000
Uniprot #: SwissProt: P28908 Human
Alternative names: CD 30 CD30 CD30 antigen CD30L receptor Cytokine receptor CD30 D1S166E KI 1 KI 1 antigen Ki-1 antigen KI1 Lymphocyte activation antigen CD30 TNFRSF 8 Tnfrsf8 TNR8_HUMAN Tumor necrosis factor receptor superfamily member 8
Images
HA722091_1.jpg Fig1: Western blot analysis of CD30 on different lysates with Rabbit anti-CD30 antibody (HA722091) at 1/1,000 dilution.

Lane 1: HDLM-2 cell lysate
Lane 2: HUT 102 cell lysate
Lane 3: U-937 cell lysate (negative)
Lane 4: HL-60 cell lysate (negative)
Lane 5: Daudi cell lysate (negative)
Lane 6: HeLa cell lysate (negative)

Lysates/proteins at 20 µg/Lane.

Predicted band size: 64 kDa
Observed band size: 75-120 kDa

Exposure time: 1 minute 2 seconds; ECL: K1801;
4-20% SDS-PAGE gel.

Proteins were transferred to a PVDF membrane and blocked with 5% NFDM/TBST for 1 hour at room temperature. The primary antibody (HA722091) at 1/1,000 dilution was used in 5% NFDM/TBST at 4℃ overnight. Goat Anti-Rabbit IgG - HRP Secondary Antibody (HA1001) at 1/50,000 dilution was used for 1 hour at room temperature.
HA722091_2.jpg Fig2: Flow cytometric analysis of HDLM-2 cells labeling CD30.

Cells were washed twice with cold PBS and resuspend. Then stained with the primary antibody (HA722091, 1/500) (red) compared with Rabbit IgG Isotype Control (green). After incubation of the primary antibody at +4℃ for an hour, the cells were stained with a iFluor™ 488 conjugate-Goat anti-Rabbit IgG Secondary antibody (HA1121) at 1/1,000 dilution for 30 minutes at +4℃. Unlabelled sample was used as a control (cells without incubation with primary antibody; black).
HA722091_3.jpg Fig3: Immunohistochemical analysis of paraffin-embedded human anaplastic large cell lymphoma tissue with Rabbit anti-CD30 antibody (HA722091) at 1/1,500 dilution.

The section was pre-treated using heat mediated antigen retrieval with Tris-EDTA buffer (pH 9.0) for 20 minutes. The tissues were blocked in 1% BSA for 20 minutes at room temperature, washed with ddH2O and PBS, and then probed with the primary antibody (HA722091) at 1/1,500 dilution for 1 hour at room temperature. The detection was performed using an HRP conjugated compact polymer system. DAB was used as the chromogen. Tissues were counterstained with hematoxylin and mounted with DPX.
HA722091_4.jpg Fig4: Immunohistochemical analysis of paraffin-embedded human embryonal carcinoma tissue with Rabbit anti-CD30 antibody (HA722091) at 1/1,500 dilution.

The section was pre-treated using heat mediated antigen retrieval with Tris-EDTA buffer (pH 9.0) for 20 minutes. The tissues were blocked in 1% BSA for 20 minutes at room temperature, washed with ddH2O and PBS, and then probed with the primary antibody (HA722091) at 1/1,500 dilution for 1 hour at room temperature. The detection was performed using an HRP conjugated compact polymer system. DAB was used as the chromogen. Tissues were counterstained with hematoxylin and mounted with DPX.
HA722091_5.jpg Fig5: Immunohistochemical analysis of paraffin-embedded human tonsil tissue with Rabbit anti-CD30 antibody (HA722091) at 1/500 dilution.

The section was pre-treated using heat mediated antigen retrieval with Tris-EDTA buffer (pH 9.0) for 20 minutes. The tissues were blocked in 1% BSA for 20 minutes at room temperature, washed with ddH2O and PBS, and then probed with the primary antibody (HA722091) at 1/500 dilution for 1 hour at room temperature. The detection was performed using an HRP conjugated compact polymer system. DAB was used as the chromogen. Tissues were counterstained with hematoxylin and mounted with DPX.
HA722091_6.jpg Fig6: Application: IF-Tissue

Species: Human

Site: embryonal carcinoma

Sample: Paraffin-embedded section

Antibody concentration: 1/1,000
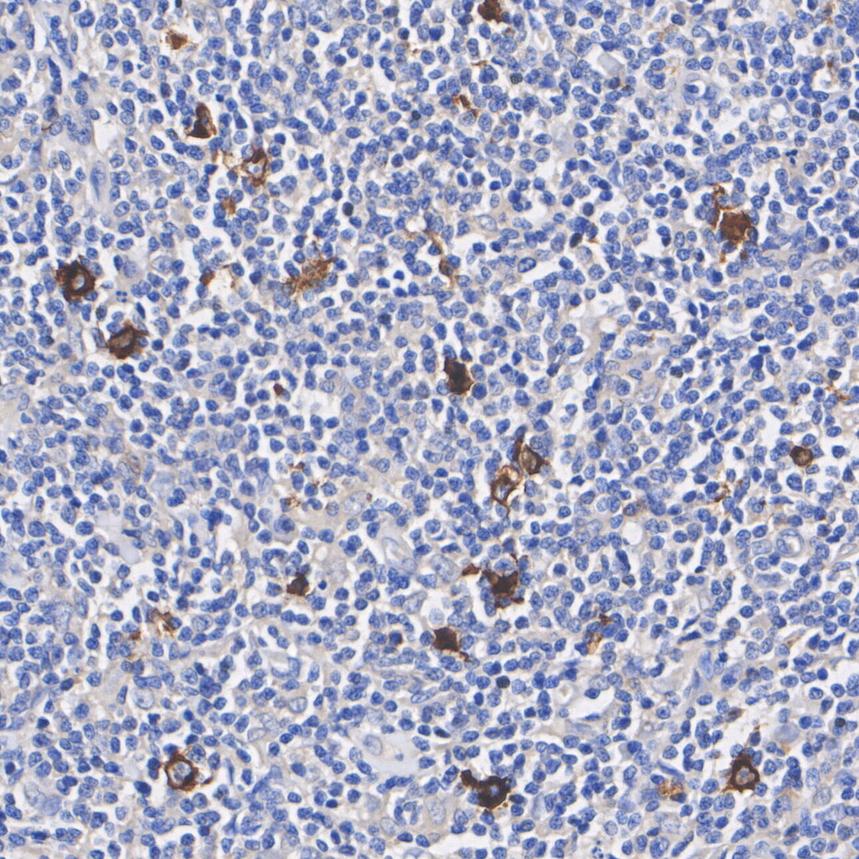
HA722091_7.jpg Fig7: Immunohistochemical analysis of paraffin-embedded human Hodgkin's lymphoma tissue with Rabbit anti-CD30 antibody (HA722091) at 1/200 dilution.

Heat mediated antigen retrieval with Tris-EDTA buffer (pH 9.0, epitope retrieval solution 2) for 20 mins. The section was incubated with HA722091 for 30 mins at room temperature. The immunostaining was performed on a Leica Biosystems BOND® RX instrument. DAB was used as the chromogen. Tissues were counterstained with hematoxylin and mounted with DPX.
Note: All products are “FOR RESEARCH USE ONLY AND ARE NOT INTENDED FOR DIAGNOSTIC OR THERAPEUTIC USE”.