Annexin A1 Recombinant Rabbit Monoclonal Antibody [PSH04-13]
cat.: HA722094
Product Type: Recombinant Rabbit monoclonal IgG, primary antibodies
Species reactivity: Human
Applications: IHC-P, IF-Tissue
Clonality: Monoclonal
Clone number: PSH04-13
Form: Liquid
Storage condition: Shipped at 4℃. Store at +4℃ short term (1-2 weeks). It is recommended to aliquot into single-use upon delivery. Store at -20℃ long term.
Storage buffer: PBS (pH7.4), 0.1% BSA, 40% Glycerol. Preservative: 0.05% Sodium Azide.
Concentration: 1ug/ul
Purification: Protein A affinity purified.
Molecular weight: Predicted band size: 39 kDa
Isotype: IgG
Immunogen: Recombinant protein within human Annexin A1 aa 1-100 / 346.
Positive control: Human breast tissue, human colon tissue, human liver tissue, human lymph node tissue.
Subcellular location: Cell membrane, Cell projection, Cilium, Cytoplasm, Cytoplasmic vesicle, Endosome, Membrane, Nucleus, Secreted.
Recommended Dilutions:
  IHC-P
  IF-Tissue

1:500
1:500
Uniprot #: SwissProt: P04083 Human
Alternative names: Annexin 1 Annexin A1 Annexin I (lipocortin I) Annexin I Annexin-1 AnnexinA1 AnnexinI ANX 1 ANX A1 ANX1 ANXA 1 ANXA1 ANXA1 protein ANXA1_HUMAN Calpactin 2 Calpactin II Calpactin-2 CalpactinII Chromobindin 9 Chromobindin-9 Chromobindin9 HGNC:533 Lipocortin 1 Lipocortin I Lipocortin1 LipocortinI LPC 1 LPC1 p35 Phospholipase A2 inhibitory protein
Images
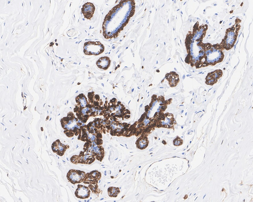
HA722094_1.jpg Fig1: Immunohistochemical analysis of paraffin-embedded human breast tissue with Rabbit anti-Annexin A1 antibody (HA722094) at 1/500 dilution.

The section was pre-treated using heat mediated antigen retrieval with Tris-EDTA buffer (pH 9.0) for 20 minutes. The tissues were blocked in 1% BSA for 20 minutes at room temperature, washed with ddH2O and PBS, and then probed with the primary antibody (HA722094) at 1/500 dilution for 1 hour at room temperature. The detection was performed using an HRP conjugated compact polymer system. DAB was used as the chromogen. Tissues were counterstained with hematoxylin and mounted with DPX.
HA722094_2.jpg Fig2: Immunohistochemical analysis of paraffin-embedded human colon tissue with Rabbit anti-Annexin A1 antibody (HA722094) at 1/500 dilution.

The section was pre-treated using heat mediated antigen retrieval with Tris-EDTA buffer (pH 9.0) for 20 minutes. The tissues were blocked in 1% BSA for 20 minutes at room temperature, washed with ddH2O and PBS, and then probed with the primary antibody (HA722094) at 1/500 dilution for 1 hour at room temperature. The detection was performed using an HRP conjugated compact polymer system. DAB was used as the chromogen. Tissues were counterstained with hematoxylin and mounted with DPX.
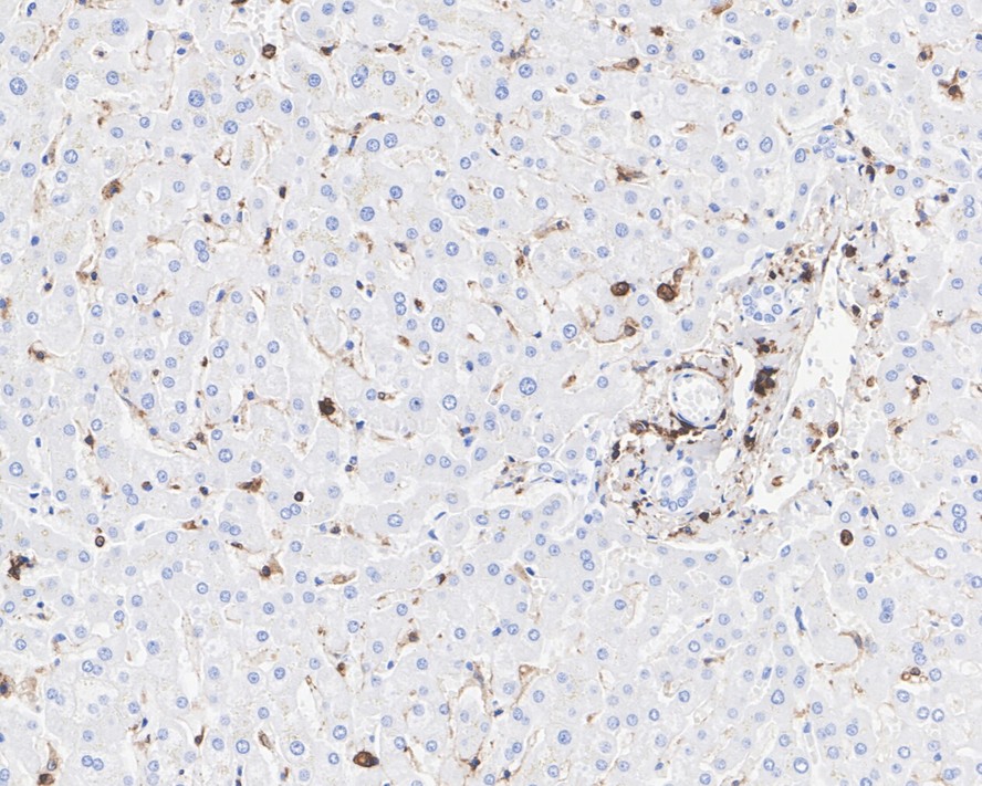
HA722094_3.jpg Fig3: Immunohistochemical analysis of paraffin-embedded human liver tissue with Rabbit anti-Annexin A1 antibody (HA722094) at 1/500 dilution.

The section was pre-treated using heat mediated antigen retrieval with Tris-EDTA buffer (pH 9.0) for 20 minutes. The tissues were blocked in 1% BSA for 20 minutes at room temperature, washed with ddH2O and PBS, and then probed with the primary antibody (HA722094) at 1/500 dilution for 1 hour at room temperature. The detection was performed using an HRP conjugated compact polymer system. DAB was used as the chromogen. Tissues were counterstained with hematoxylin and mounted with DPX.
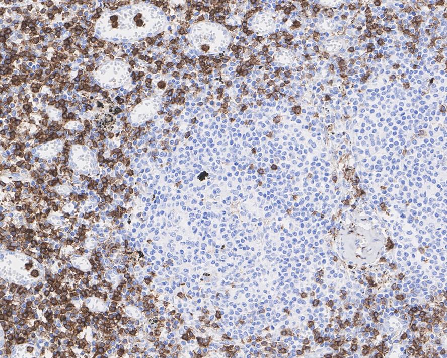
HA722094_4.jpg Fig4: Immunohistochemical analysis of paraffin-embedded human lymph node tissue with Rabbit anti-Annexin A1 antibody (HA722094) at 1/500 dilution.

The section was pre-treated using heat mediated antigen retrieval with Tris-EDTA buffer (pH 9.0) for 20 minutes. The tissues were blocked in 1% BSA for 20 minutes at room temperature, washed with ddH2O and PBS, and then probed with the primary antibody (HA722094) at 1/500 dilution for 1 hour at room temperature. The detection was performed using an HRP conjugated compact polymer system. DAB was used as the chromogen. Tissues were counterstained with hematoxylin and mounted with DPX.
HA722094_5.jpg Fig5: Application: IF-Tissue

Species: Human

Site: lymph node

Sample: Paraffin-embedded section

Antibody concentration: 1/500
Note: All products are “FOR RESEARCH USE ONLY AND ARE NOT INTENDED FOR DIAGNOSTIC OR THERAPEUTIC USE”.