Clusterin Recombinant Rabbit Monoclonal Antibody [PSH04-33]
cat.: HA722116
Product Type: Recombinant Rabbit monoclonal IgG, primary antibodies
Species reactivity: Human
Applications: WB, IHC-P, IF-Tissue
Clonality: Monoclonal
Clone number: PSH04-33
Form: Liquid
Storage condition: Shipped at 4℃. Store at +4℃ short term (1-2 weeks). It is recommended to aliquot into single-use upon delivery. Store at -20℃ long term.
Storage buffer: PBS (pH7.4), 0.1% BSA, 40% Glycerol. Preservative: 0.05% Sodium Azide.
Concentration: 1ug/ul
Purification: Protein A affinity purified.
Molecular weight: Predicted band size: 52 kDa
Isotype: IgG
Immunogen: Synthetic peptide within human Clusterin aa 400-449 / 449.
Positive control: HeLa cell lysate, SK-Br-3 cell lysate, A431 cell lysate, PANC-1 cell lysate, MCF7 cell lysate, T-47D cell lysate, human lung cancer tissue, human prostate cancer tissue, human pancreas tissue, human tonsil tissue.
Subcellular location: Nucleus, Cytoplasm, Mitochondrion membrane, cytosol, Microsome, Endoplasmic reticulum, Mitochondrion, perinuclear region, Cytoplasmic vesicle, secretory vesicle, chromaffin granule.
Recommended Dilutions:
  WB
  IHC-P
  IF-Tissue

1:2,000
1:8,000
1:2,000
Uniprot #: SwissProt: P10909 Human
Alternative names: 40 AAG 4 AAG4 Aging associated protein 4 Aging-associated gene 4 protein AI893575 APO J Apo-J APOJ ApoJalpha ApoJbeta Apolipoprotein J ApolipoproteinJ CLI CLU CLU1 CLU2 CLUS_HUMAN Clusterin alpha chain Clusterin Clusterin beta chain Complement associated protein SP 40 40 Complement associated protein SP 40 Complement associated protein SP40 Complement cytolysis inhibitor a chain Complement cytolysis inhibitor Complement cytolysis inhibitor b chain Complement lysis inhibitor Complement-associated protein SP-40 D14Ucla3 Dimeric acid glycoprotein Glycoprotein 80 Glycoprotein III GP80 Ku70-binding protein 1 KUB 1 KUB1 MGC24903 NA1/NA2 RATTRPM2B SGP 2 SGP2 SP 40 SP40 Sugp-2 Sulfated glycoprotein 2 Testosterone repressed prostate message 2 Testosterone-repressed prostate message 2 TRPM 2 TRPM-2 TRPM2 TRPM2B Trpmb
Images
HA722116_1.jpg Fig1: Western blot analysis of Clusterin on different lysates with Rabbit anti-Clusterin antibody (HA722116) at 1/2,000 dilution.

Lane 1: HeLa cell lysate (20 µg/Lane)
Lane 2: SK-Br-3 cell lysate (20 µg/Lane)
Lane 3: A431 cell lysate (20 µg/Lane)
Lane 4: PANC-1 cell lysate (20 µg/Lane)
Lane 5: MCF7 cell lysate (20 µg/Lane)
Lane 6: T-47D cell lysate (20 µg/Lane)

Predicted band size: 52 kDa
Observed band size: 35-80 kDa

Exposure time: 1 minute 50 seconds; ECL: K1801;

4-20% SDS-PAGE gel.

Proteins were transferred to a PVDF membrane and blocked with 5% NFDM/TBST for 1 hour at room temperature. The primary antibody (HA722116) at 1/2,000 dilution was used in 5% NFDM/TBST at 4℃ overnight. Goat Anti-Rabbit IgG - HRP Secondary Antibody (HA1001) at 1/50,000 dilution was used for 1 hour at room temperature.
HA722116_2.jpg Fig2: Application: IF-Tissue

Species: Human

Site: pancreas

Sample: Paraffin-embedded section

Antibody concentration: 1/2,000
HA722116_3.jpg Fig3: Immunohistochemical analysis of paraffin-embedded human lung cancer tissue with Rabbit anti-Clusterin antibody (HA722116) at 1/8,000 dilution.

The section was pre-treated using heat mediated antigen retrieval with Tris-EDTA buffer (pH 9.0) for 20 minutes. The tissues were blocked in 1% BSA for 20 minutes at room temperature, washed with ddH2O and PBS, and then probed with the primary antibody (HA722116) at 1/8,000 dilution for 1 hour at room temperature. The detection was performed using an HRP conjugated compact polymer system. DAB was used as the chromogen. Tissues were counterstained with hematoxylin and mounted with DPX.
HA722116_4.jpg Fig4: Immunohistochemical analysis of paraffin-embedded human prostate cancer tissue with Rabbit anti-Clusterin antibody (HA722116) at 1/8,000 dilution.

The section was pre-treated using heat mediated antigen retrieval with Tris-EDTA buffer (pH 9.0) for 20 minutes. The tissues were blocked in 1% BSA for 20 minutes at room temperature, washed with ddH2O and PBS, and then probed with the primary antibody (HA722116) at 1/8,000 dilution for 1 hour at room temperature. The detection was performed using an HRP conjugated compact polymer system. DAB was used as the chromogen. Tissues were counterstained with hematoxylin and mounted with DPX.
HA722116_5.jpg Fig5: Immunohistochemical analysis of paraffin-embedded human pancreas tissue with Rabbit anti-Clusterin antibody (HA722116) at 1/8,000 dilution.

The section was pre-treated using heat mediated antigen retrieval with Tris-EDTA buffer (pH 9.0) for 20 minutes. The tissues were blocked in 1% BSA for 20 minutes at room temperature, washed with ddH2O and PBS, and then probed with the primary antibody (HA722116) at 1/8,000 dilution for 1 hour at room temperature. The detection was performed using an HRP conjugated compact polymer system. DAB was used as the chromogen. Tissues were counterstained with hematoxylin and mounted with DPX.
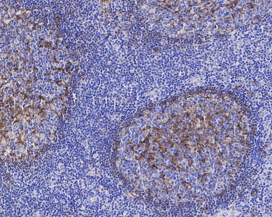
HA722116_6.jpg Fig6: Immunohistochemical analysis of paraffin-embedded human tonsil tissue with Rabbit anti-Clusterin antibody (HA722116) at 1/8,000 dilution.

The section was pre-treated using heat mediated antigen retrieval with Tris-EDTA buffer (pH 9.0) for 20 minutes. The tissues were blocked in 1% BSA for 20 minutes at room temperature, washed with ddH2O and PBS, and then probed with the primary antibody (HA722116) at 1/8,000 dilution for 1 hour at room temperature. The detection was performed using an HRP conjugated compact polymer system. DAB was used as the chromogen. Tissues were counterstained with hematoxylin and mounted with DPX.
Note: All products are “FOR RESEARCH USE ONLY AND ARE NOT INTENDED FOR DIAGNOSTIC OR THERAPEUTIC USE”.