CXCL13 Recombinant Rabbit Monoclonal Antibody [PSH04-34]
cat.: HA722117
Product Type: Recombinant Rabbit monoclonal IgG, primary antibodies
Species reactivity: Human
Applications: WB, IF-Cell, IHC-P
Clonality: Monoclonal
Clone number: PSH04-34
Form: Liquid
Storage condition: Shipped at 4℃. Store at +4℃ short term (1-2 weeks). It is recommended to aliquot into single-use upon delivery. Store at -20℃ long term.
Storage buffer: PBS (pH7.4), 0.1% BSA, 40% Glycerol. Preservative: 0.05% Sodium Azide.
Concentration: 1ug/ul
Purification: Protein A affinity purified.
Molecular weight: Predicted band size: 13 kDa
Isotype: IgG
Immunogen: Recombinant protein within human CXCL13 aa 1-109 / 109.
Positive control: HeLa transfected with CXCL13, human appendix tissue, human tonsil tissue, human angioimmunoblastic T-cell lymphoma tissue.
Subcellular location: Secreted.
Recommended Dilutions:
  WB
  IF-Cell
  IHC-P

1:1,000
1:400
1:100-1:500
Uniprot #: SwissProt: O43927 Human
Alternative names: ANGIE ANGIE2 B cell attracting chemokine 1 B cell-attracting chemokine 1 B lymphocyte chemoattractant B-cell chemoattractant B-cell-attracting chemokine 1 B-cell-homing chemokine (ligand for Burkitt's lymphoma receptor-1) BCA-1 BCA1 BLC BLR1L C-X-C motif chemokine 13 Chemokine (C-X-C motif) ligand 13 Chemokine (C-X-C motif) ligand 13 (B-cell chemoattractant) Chemokine, CXC motif, ligand 13 CXC chemokine BLC CXCL13 CXL13_HUMAN SCYB13 Small inducible cytokine B subfamily (Cys-X-Cys motif), member 13 (B-cell chemoattractant) Small inducible cytokine B13 Small inducible cytokine subfamily B, member 13 Small-inducible cytokine B13
Images
HA722117_1.jpg Fig1: Western blot analysis of CXCL13 on different lysates with Rabbit anti-CXCL13 antibody (HA722117) at 1/1,000 dilution.

Lane 1: 293T-NT cell lysate
Lane 2: 293T-OE-CXCL13 cell lysate

Lysates/proteins at 15 µg/Lane.

Predicted band size: 13 kDa
Observed band size: 12/13 kDa

Exposure time: 30 seconds;

4-20% SDS-PAGE gel.

Proteins were transferred to a PVDF membrane and blocked with 5% NFDM/TBST for 1 hour at room temperature. The primary antibody (HA722117) at 1/1,000 dilution was used in 5% NFDM/TBST at 4℃ overnight. Goat Anti-Rabbit IgG - HRP Secondary Antibody (HA1001) at 1/50,000 dilution was used for 1 hour at room temperature.
HA722117_2.jpg Fig2: Immunocytochemistry analysis of HeLa transfected with or without CXCL13 cells labeling CXCL13 with Rabbit anti-CXCL13 antibody (HA722117) at 1/400 dilution.

Cells were fixed in 4% paraformaldehyde for 20 minutes at room temperature, permeabilized with 0.1% Triton X-100 in PBS for 5 minutes at room temperature, then blocked with 1% BSA in 10% negative goat serum for 1 hour at room temperature. Cells were then incubated with Rabbit anti-CXCL13 antibody (HA722117) at 1/400 dilution in 1% BSA in PBST overnight at 4 ℃. Goat Anti-Rabbit IgG H&L (iFluor™ 488, HA1121) was used as the secondary antibody at 1/1,000 dilution. PBS instead of the primary antibody was used as the secondary antibody only control. Nuclear DNA was labelled in blue with DAPI.

Beta tubulin (M1305-2, red) was stained at 1/100 dilution overnight at +4℃. Goat Anti-Mouse IgG H&L (iFluor™ 594, HA1126) was used as the secondary antibody at 1/1,000 dilution.
HA722117_3.jpg Fig3: Immunohistochemical analysis of paraffin-embedded human appendix tissue with Rabbit anti-CXCL13 antibody (HA722117) at 1/100 dilution.

The section was pre-treated using heat mediated antigen retrieval with Tris-EDTA buffer (pH 9.0) for 20 minutes. The tissues were blocked in 1% BSA for 20 minutes at room temperature, washed with ddH2O and PBS, and then probed with the primary antibody (HA722117) at 1/100 dilution for 1 hour at room temperature. The detection was performed using an HRP conjugated compact polymer system. DAB was used as the chromogen. Tissues were counterstained with hematoxylin and mounted with DPX.
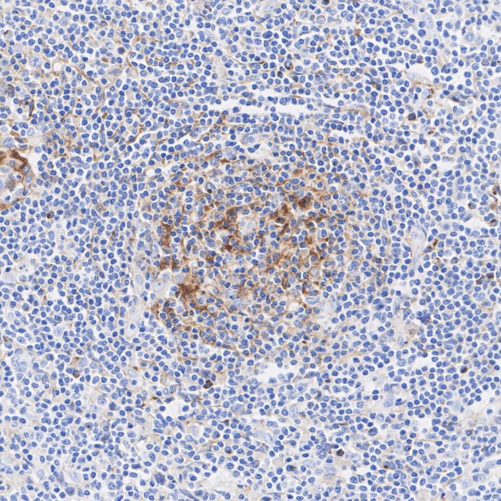
HA722117_4.jpg Fig4: Immunohistochemical analysis of paraffin-embedded human tonsil tissue with Rabbit anti-CXCL13 antibody (HA722117) at 1/500 dilution.

The section was pre-treated using heat mediated antigen retrieval with Tris-EDTA buffer (pH 9.0) for 20 minutes. The tissues were blocked in 1% BSA for 20 minutes at room temperature, washed with ddH2O and PBS, and then probed with the primary antibody (HA722117) at 1/500 dilution for 1 hour at room temperature. The detection was performed using an HRP conjugated compact polymer system. DAB was used as the chromogen. Tissues were counterstained with hematoxylin and mounted with DPX.
HA722117_5.jpg Fig5: Immunohistochemical analysis of paraffin-embedded human kidney tissue (negative) with Rabbit anti-CXCL13 antibody (HA722117) at 1/100 dilution.

The section was pre-treated using heat mediated antigen retrieval with Tris-EDTA buffer (pH 9.0) for 20 minutes. The tissues were blocked in 1% BSA for 20 minutes at room temperature, washed with ddH2O and PBS, and then probed with the primary antibody (HA722117) at 1/100 dilution for 1 hour at room temperature. The detection was performed using an HRP conjugated compact polymer system. DAB was used as the chromogen. Tissues were counterstained with hematoxylin and mounted with DPX.
HA722117_6.jpg Fig6: Immunohistochemical analysis of paraffin-embedded human angioimmunoblastic T-cell lymphoma tissue with Rabbit anti-CXCL13 antibody (HA722117) at 1/500 dilution.

The section was pre-treated using heat mediated antigen retrieval with Tris-EDTA buffer (pH 9.0) for 20 minutes. The tissues were blocked in 1% BSA for 20 minutes at room temperature, washed with ddH2O and PBS, and then probed with the primary antibody (HA722117) at 1/500 dilution for 1 hour at room temperature. The detection was performed using an HRP conjugated compact polymer system. DAB was used as the chromogen. Tissues were counterstained with hematoxylin and mounted with DPX.
HA722117_7.jpg Fig7: Immunohistochemical analysis of paraffin-embedded human angioimmunoblastic T-cell lymphoma tissue with Rabbit anti-CXCL13 antibody (HA722117) at 1/100 dilution.

The section was pre-treated using heat mediated antigen retrieval with Tris-EDTA buffer (pH 9.0) for 20 minutes. The tissues were blocked in 1% BSA for 20 minutes at room temperature, washed with ddH2O and PBS, and then probed with the primary antibody (HA722117) at 1/100 dilution for 1 hour at room temperature. The detection was performed using an HRP conjugated compact polymer system. DAB was used as the chromogen. Tissues were counterstained with hematoxylin and mounted with DPX.
Note: All products are “FOR RESEARCH USE ONLY AND ARE NOT INTENDED FOR DIAGNOSTIC OR THERAPEUTIC USE”.