PKM1 Recombinant Rabbit Monoclonal Antibody [PSH04-37]
cat.: HA722120
Product Type: Recombinant Rabbit monoclonal IgG, primary antibodies
Species reactivity: Human, Mouse, Rat
Applications: WB, IF-Cell, IHC-P, FC
Clonality: Monoclonal
Clone number: PSH04-37
Form: Liquid
Storage condition: Shipped at 4℃. Store at +4℃ short term (1-2 weeks). It is recommended to aliquot into single-use upon delivery. Store at -20℃ long term.
Storage buffer: PBS (pH7.4), 0.1% BSA, 40% Glycerol. Preservative: 0.05% Sodium Azide.
Concentration: 1ug/ul
Purification: Protein A affinity purified.
Molecular weight: Predicted band size: 58 kDa
Isotype: IgG
Immunogen: Synthetic peptide within human PKM1 aa 389-433 / 531 (P14618-2).
Positive control: HCT 116 cell lysate, U-87 MG cell lysate, HeLa cell lysate, human brain tissue lysate, mouse brain tissue lysate, mouse heart tissue lysate, HCT 116, human heart tissue, mouse heart tissue, rat heart tissue.
Subcellular location: Cytoplasm, Nucleus.
Recommended Dilutions:
  WB
  IF-Cell
  IHC-P
  FC

1:1,000
1:500
1:5,000-1:30,000
1:1,000
Uniprot #: SwissProt: P14618-2 Human | P52480 Mouse | P11980 Rat
Alternative names: CTHBP Cytosolic thyroid hormone-binding protein KPYM_HUMAN OIP-3 Opa-interacting protein 3 p58 pkm PKM1 PKM2 Pyruvate kinase 2/3 Pyruvate kinase muscle isozyme Pyruvate kinase PKM THBP1 Thyroid hormone-binding protein 1 Tumor M2-PK
Images
HA722120_1.jpg Fig1: Western blot analysis of PKM1 on different lysates with Rabbit anti-PKM1 antibody (HA722120) at 1/1,000 dilution.

Lane 1: HCT 116 cell lysate (20 µg/Lane)
Lane 2: U-87 MG cell lysate (20 µg/Lane)
Lane 3: HeLa cell lysate (20 µg/Lane)
Lane 4: Human brain tissue lysate (40 µg/Lane)
Lane 5: Mouse brain tissue lysate (40 µg/Lane)
Lane 6: Mouse heart tissue lysate (40 µg/Lane)
Lane 7: Mouse liver tissue lysate (negative) (40 µg/Lane)

Predicted band size: 58 kDa
Observed band size: 55 kDa

Exposure time: 14 seconds; ECL: K1801;

4-20% SDS-PAGE gel.

Proteins were transferred to a PVDF membrane and blocked with 5% NFDM/TBST for 1 hour at room temperature. The primary antibody (HA722120) at 1/1,000 dilution was used in 5% NFDM/TBST at 4℃ overnight. Goat Anti-Rabbit IgG - HRP Secondary Antibody (HA1001) at 1/50,000 dilution was used for 1 hour at room temperature.
HA722120_2.jpg Fig2: Immunocytochemistry analysis of HCT 116 cells labeling PKM1 with Rabbit anti-PKM1 antibody (HA722120) at 1/200 dilution.

Cells were fixed in 4% paraformaldehyde for 20 minutes at room temperature, permeabilized with 0.1% Triton X-100 in PBS for 5 minutes at room temperature, then blocked with 1% BSA in 10% negative goat serum for 1 hour at room temperature. Cells were then incubated with Rabbit anti-PKM1 antibody (HA722120) at 1/200 dilution in 1% BSA in PBST overnight at 4 ℃. Goat Anti-Rabbit IgG H&L (iFluor™ 488, HA1121) was used as the secondary antibody at 1/1,000 dilution. PBS instead of the primary antibody was used as the secondary antibody only control. Nuclear DNA was labelled in blue with DAPI.

Beta tubulin (M1305-2, red) was stained at 1/100 dilution overnight at +4℃. Goat Anti-Mouse IgG H&L (iFluor™ 594, HA1126) was used as the secondary antibody at 1/1,000 dilution.
HA722120_3.jpg Fig3: Immunohistochemical analysis of paraffin-embedded human heart tissue with Rabbit anti-PKM1 antibody (HA722120) at 1/30,000 dilution.

The section was pre-treated using heat mediated antigen retrieval with Tris-EDTA buffer (pH 9.0) for 20 minutes. The tissues were blocked in 1% BSA for 20 minutes at room temperature, washed with ddH2O and PBS, and then probed with the primary antibody (HA722120) at 1/30,000 dilution for 1 hour at room temperature. The detection was performed using an HRP conjugated compact polymer system. DAB was used as the chromogen. Tissues were counterstained with hematoxylin and mounted with DPX.
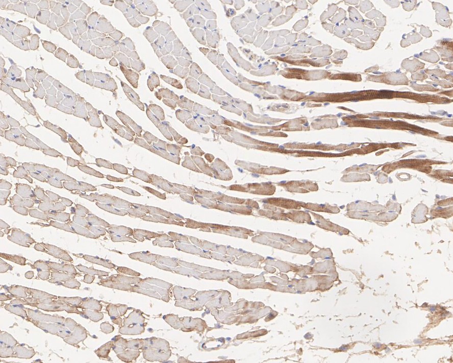
HA722120_4.jpg Fig4: Immunohistochemical analysis of paraffin-embedded mouse heart tissue with Rabbit anti-PKM1 antibody (HA722120) at 1/5,000 dilution.

The section was pre-treated using heat mediated antigen retrieval with Tris-EDTA buffer (pH 9.0) for 20 minutes. The tissues were blocked in 1% BSA for 20 minutes at room temperature, washed with ddH2O and PBS, and then probed with the primary antibody (HA722120) at 1/5,000 dilution for 1 hour at room temperature. The detection was performed using an HRP conjugated compact polymer system. DAB was used as the chromogen. Tissues were counterstained with hematoxylin and mounted with DPX.
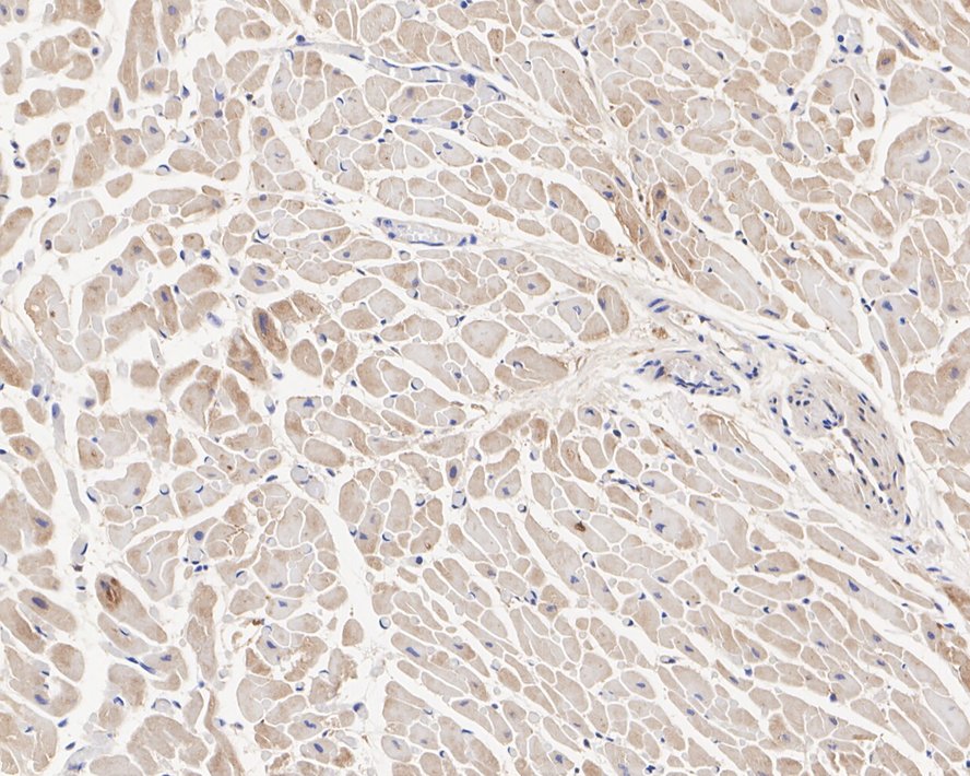
HA722120_5.jpg Fig5: Immunohistochemical analysis of paraffin-embedded rat heart tissue with Rabbit anti-PKM1 antibody (HA722120) at 1/5,000 dilution.

The section was pre-treated using heat mediated antigen retrieval with Tris-EDTA buffer (pH 9.0) for 20 minutes. The tissues were blocked in 1% BSA for 20 minutes at room temperature, washed with ddH2O and PBS, and then probed with the primary antibody (HA722120) at 1/5,000 dilution for 1 hour at room temperature. The detection was performed using an HRP conjugated compact polymer system. DAB was used as the chromogen. Tissues were counterstained with hematoxylin and mounted with DPX.
HA722120_6.jpg Fig6: Flow cytometric analysis of HCT 116 cells labeling PKM1.

Cells were fixed and permeabilized. Then stained with the primary antibody (HA722120, 1μg/mL) (red) compared with Rabbit IgG Isotype Control (green). After incubation of the primary antibody at +4℃ for an hour, the cells were stained with a iFluor™ 488 conjugate-Goat anti-Rabbit IgG Secondary antibody (HA1121) at 1/1,000 dilution for 30 minutes at +4℃. Unlabelled sample was used as a control (cells without incubation with primary antibody; black).
HA722120_7.jpg Fig7: Western blot analysis of PKM1 on different lysates with Rabbit anti-PKM1 antibody (HA722120) at 1/2,000 dilution.

Lane 1: Human PKM1 recombinant protein
Lane 2: Human PKM2 recombinant protein

Lysates/proteins at 50 ng/Lane.

Exposure time: 2 seconds; ECL: K1801;

4-20% SDS-PAGE gel.

Proteins were transferred to a PVDF membrane and blocked with 5% NFDM/TBST for 1 hour at room temperature. The primary antibody (HA722120) at 1/2,000 dilution was used in 5% NFDM/TBST at 4℃ overnight. Goat Anti-Rabbit IgG - HRP Secondary Antibody (HA1001) at 1/50,000 dilution was used for 1 hour at room temperature.
Note: All products are “FOR RESEARCH USE ONLY AND ARE NOT INTENDED FOR DIAGNOSTIC OR THERAPEUTIC USE”.