ROR gamma T Recombinant Rabbit Monoclonal Antibody [PSH04-38]
cat.: HA722121
Product Type: Recombinant Rabbit monoclonal IgG, primary antibodies
Species reactivity: Human, Rat
Applications: WB, IHC-P
Clonality: Monoclonal
Clone number: PSH04-38
Form: Liquid
Storage condition: Shipped at 4℃. Store at +4℃ short term (1-2 weeks). It is recommended to aliquot into single-use upon delivery. Store at -20℃ long term.
Storage buffer: PBS (pH7.4), 0.1% BSA, 40% Glycerol. Preservative: 0.05% Sodium Azide.
Concentration: 1ug/ul
Purification: Protein A affinity purified.
Molecular weight: Predicted band size: 58 kDa
Isotype: IgG
Immunogen: Recombinant protein within human ROR gamma T aa 101-300 / 497 (P51449-2).
Positive control: HCT 116 cell lysate, rat thymus tissue lysate, human thymus tissue, rat thymus tissue.
Subcellular location: Nucleus.
Recommended Dilutions:
  WB
  IHC-P

1:2,000
1:500
Uniprot #: SwissProt: P51449 Human
Entrez Gene: 368158 Rat
Alternative names: IMD42 MGC129539 NR1F3 Nuclear receptor ROR gamma Nuclear receptor ROR-gamma Nuclear receptor RZR gamma Nuclear receptor RZR-gamma Nuclear receptor subfamily 1 group F member 3 RAR related orphan nuclear receptor variant 2 RAR related orphan receptor C RAR related orphan receptor C, isoform a RAR related orphan receptor gamma RAR-related orphan receptor C Retinoic acid binding receptor gamma Retinoid related orphan receptor gamma Retinoid-related orphan receptor-gamma Rorc RORG RORG_HUMAN RZR GAMMA RZRG TOR
Images
HA722121_1.jpg Fig1: Western blot analysis of ROR gamma T on different lysates with Rabbit anti-ROR gamma T antibody (HA722121) at 1/2,000 dilution.

Lane 1: HCT 116 cell lysate
Lane 2: Rat thymus tissue lysate

Lysates/proteins at 20 µg/Lane.

Predicted band size: 58 kDa
Observed band size: 55 kDa

Exposure time: 3 minutes; ECL: K1801;
4-20% SDS-PAGE gel.

Proteins were transferred to a PVDF membrane and blocked with 5% NFDM/TBST for 1 hour at room temperature. The primary antibody (HA722121) at 1/2,000 dilution was used in 5% NFDM/TBST at 4℃ overnight. Goat Anti-Rabbit IgG - HRP Secondary Antibody (HA1001) at 1/50,000 dilution was used for 1 hour at room temperature.
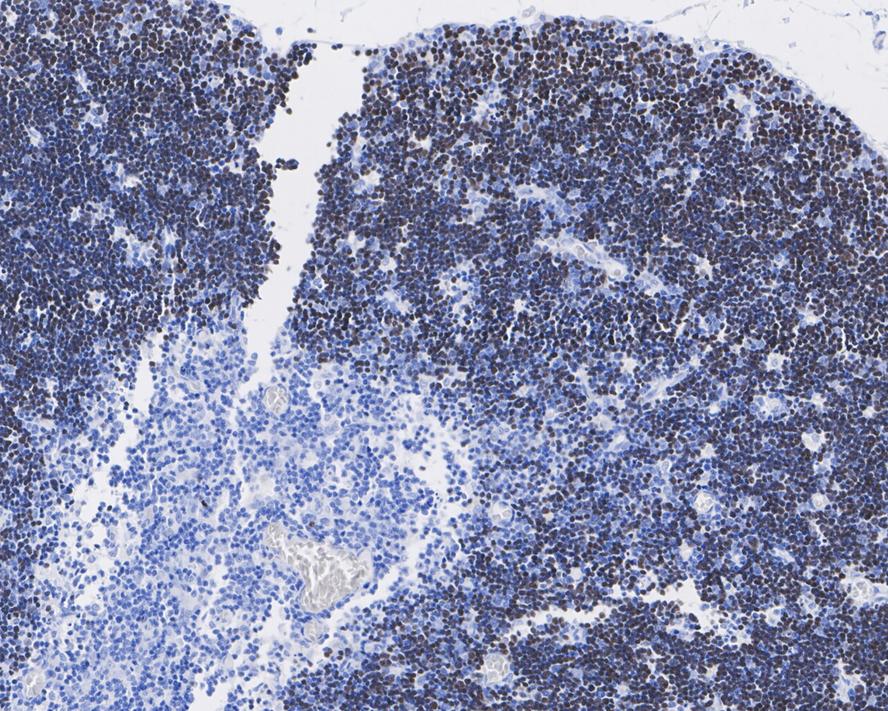
HA722121_2.jpg Fig2: Immunohistochemical analysis of paraffin-embedded human thymus tissue with Rabbit anti-ROR gamma T antibody (HA722121) at 1/500 dilution.

The section was pre-treated using heat mediated antigen retrieval with sodium citrate buffer (pH 6.0) for 2 minutes. The tissues were blocked in 1% BSA for 20 minutes at room temperature, washed with ddH2O and PBS, and then probed with the primary antibody (HA722121) at 1/500 dilution for 1 hour at room temperature. The detection was performed using an HRP conjugated compact polymer system. DAB was used as the chromogen. Tissues were counterstained with hematoxylin and mounted with DPX.
HA722121_3.jpg Fig3: Immunohistochemical analysis of paraffin-embedded rat thymus tissue with Rabbit anti-ROR gamma T antibody (HA722121) at 1/500 dilution.

The section was pre-treated using heat mediated antigen retrieval with sodium citrate buffer (pH 6.0) for 2 minutes. The tissues were blocked in 1% BSA for 20 minutes at room temperature, washed with ddH2O and PBS, and then probed with the primary antibody (HA722121) at 1/500 dilution for 1 hour at room temperature. The detection was performed using an HRP conjugated compact polymer system. DAB was used as the chromogen. Tissues were counterstained with hematoxylin and mounted with DPX.
Note: All products are “FOR RESEARCH USE ONLY AND ARE NOT INTENDED FOR DIAGNOSTIC OR THERAPEUTIC USE”.