Digoxigenin Recombinant Rabbit Monoclonal Antibody [PSH04-39]
cat.: HA722122
Product Type: Recombinant Rabbit monoclonal IgG, primary antibodies
Species reactivity: Species independent
Applications: WB, IHC-P, IHC-Fr, Dot Blot, ELISA, IF-Tissue, IP
Clonality: Monoclonal
Clone number: PSH04-39
Form: Liquid
Storage condition: Shipped at 4℃. Store at +4℃ short term (1-2 weeks). It is recommended to aliquot into single-use upon delivery. Store at -20℃ long term.
Storage buffer: PBS (pH7.4), 0.1% BSA, 40% Glycerol. Preservative: 0.05% Sodium Azide.
Concentration: 1ug/ul
Purification: Protein A affinity purified.
Isotype: IgG
Immunogen: DIG-OVA
Recommended Dilutions:
  WB
  IHC-P
  IHC-Fr
  Dot Blot
  ELISA
  IF-Tissue
  IP

1:2,000
1:200-1:5,000
1:50-1:1,000
1:2,000
1:5,000-1:20,000
1:50-1:1,000
1-2μg/sample
Alternative names: 1672-46-4 BRN 0096479 DIG EINECS 216-806-2 HSDB 7108 Lanadigenin Lanadigigenin ST056392 Digoxigenin
Images
HA722122_1.jpg Fig1: Western blot analysis of Digoxigenin on different lysates with Rabbit anti-Digoxigenin antibody (HA722122) at 1/2,000 dilution.

Lane 1: DIG-BSA (2 ng/Lane)
Lane 2: BSA (negative) (2 ng/Lane)
Lane 3: 293T cell lysate (negative) (20 µg/Lane)

Exposure time: 20 seconds; ECL: K1801;

4-20% SDS-PAGE gel.

Proteins were transferred to a PVDF membrane and blocked with 5% NFDM/TBST for 1 hour at room temperature. The primary antibody (HA722122) at 1/2,000 dilution was used in 5% NFDM/TBST at 4℃ overnight. Goat Anti-Rabbit IgG - HRP Secondary Antibody (HA1001) at 1/50,000 dilution was used for 1 hour at room temperature.
HA722122_2.jpg Fig2: Immunohistochemical analysis of paraffin-embedded human tonsil tissue (negative) with Rabbit anti-Digoxigenin antibody (HA722122) at 1/1,000 dilution.

The section was pre-treated using heat mediated antigen retrieval with Tris-EDTA buffer (pH 9.0) for 20 minutes. The tissues were blocked in 1% BSA for 20 minutes at room temperature, washed with ddH2O and PBS, and then probed with the primary antibody (HA722122) at 1/1,000 dilution for 1 hour at room temperature. The detection was performed using an HRP conjugated compact polymer system. DAB was used as the chromogen. Tissues were counterstained with hematoxylin and mounted with DPX.
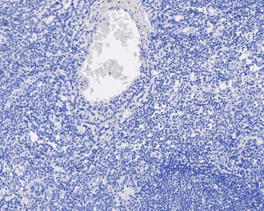
HA722122_3.jpg Fig3: Immunohistochemical analysis of paraffin-embedded mouse spleen tissue (negative) with Rabbit anti-Digoxigenin antibody (HA722122) at 1/1,000 dilution.

The section was pre-treated using heat mediated antigen retrieval with Tris-EDTA buffer (pH 9.0) for 20 minutes. The tissues were blocked in 1% BSA for 20 minutes at room temperature, washed with ddH2O and PBS, and then probed with the primary antibody (HA722122) at 1/1,000 dilution for 1 hour at room temperature. The detection was performed using an HRP conjugated compact polymer system. DAB was used as the chromogen. Tissues were counterstained with hematoxylin and mounted with DPX.
Note: All products are “FOR RESEARCH USE ONLY AND ARE NOT INTENDED FOR DIAGNOSTIC OR THERAPEUTIC USE”.