P2Y12 Recombinant Rabbit Monoclonal Antibody [PSH04-48]
cat.: HA722133
Product Type: Recombinant Rabbit monoclonal IgG, primary antibodies
Species reactivity: Human, Mouse, Rat, Cynomolgus monkey, Pig
Applications: IHC-P, IHC-Fr, IF-Tissue
Clonality: Monoclonal
Clone number: PSH04-48
Form: Liquid
Storage condition: Shipped at 4℃. Store at +4℃ short term (1-2 weeks). It is recommended to aliquot into single-use upon delivery. Store at -20℃ long term.
Storage buffer: PBS (pH7.4), 0.1% BSA, 40% Glycerol. Preservative: 0.05% Sodium Azide.
Concentration: 1ug/ul
Purification: Protein A affinity purified.
Molecular weight: Predicted band size: 39 kDa
Isotype: IgG
Immunogen: Synthetic peptide.
Positive control: Human brain tissue, mouse brain tissue, rat brain tissue, mouse cerebrum tissue, mouse hippocampus tissue, rat cerebrum tissue.
Subcellular location: Cell membrane.
Recommended Dilutions:
  IHC-P
  IHC-Fr
  IF-Tissue

1:1,000
1:1,000-1:2000
1:500
Uniprot #: SwissProt: Q9H244 Human | Q9CPV9 Mouse | Q9EPX4 Rat
Alternative names: ADP glucose receptor ADP-glucose receptor ADPG R ADPG-R ADPGR BDPLT8 G protein coupled receptor SP1999 Gi coupled ADP receptor HORK 3 Gi coupled ADP receptor HORK3 HORK 3 HORK3 P2RY 12 P2RY12 P2T(AC) P2Y 12 P2Y purinoceptor 12 P2Y(12)R P2Y(AC) P2Y(ADP) P2Y(cyc) P2Y12 P2Y12 platelet ADP receptor P2Y12_HUMAN Platelet ADP receptor Purinergic receptor P2RY12 Purinergic receptor P2Y G protein coupled 12 Purinergic receptor P2Y12 Putative G protein coupled receptor SP 1999 SP1999
Images
HA722133_1.jpg Fig1: Application: IHC-Fr

Species: Mouse

Site: Cerebral cortex

Sample: Frozen section

Antibody concentration: 1:2,000

Antigen retrieval: Not required
HA722133_2.jpg Fig2: Application: IHC-Fr

Species: Rat

Site: Cerebral cortex

Sample: Frozen section

Antibody concentration: 1:2,000

Antigen retrieval: Not required
HA722133_3.jpg Fig3: Application: IF-tissue

Species: Mouse

Site: Cerebral cortex

Sample: Paraffin-embedded section

Antibody concentration: 1:500
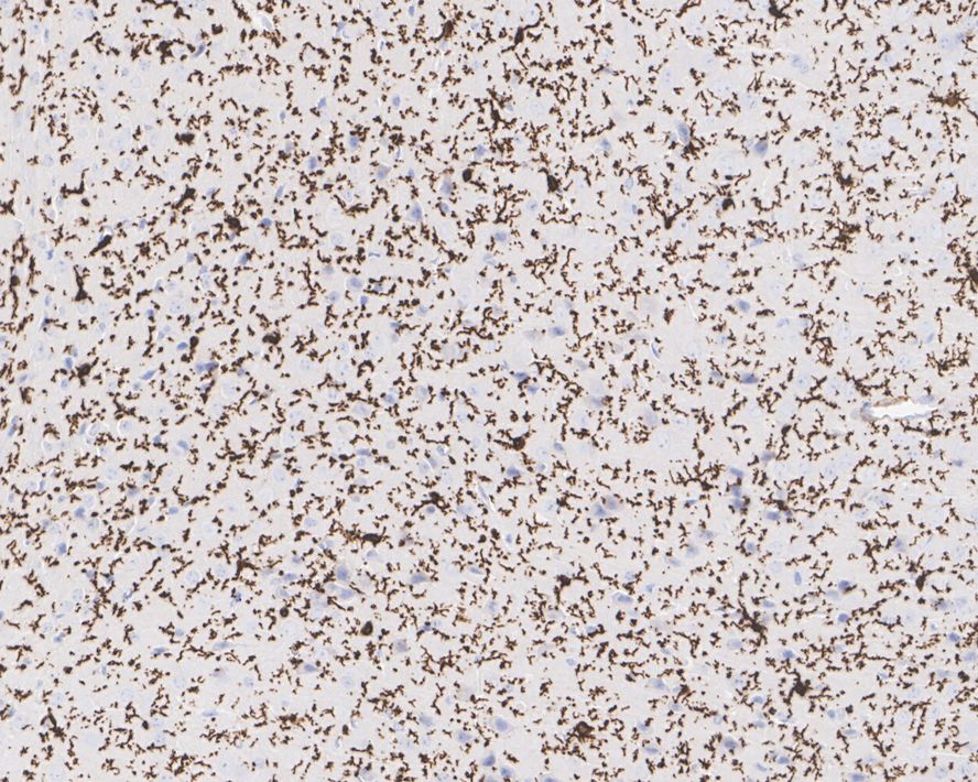
HA722133_4.jpg Fig4: Immunohistochemical analysis of paraffin-embedded human brain tissue with Rabbit anti-P2Y12 antibody (HA722133) at 1/1,000 dilution.

The section was pre-treated using heat mediated antigen retrieval with Tris-EDTA buffer (pH 9.0) for 20 minutes. The tissues were blocked in 1% BSA for 20 minutes at room temperature, washed with ddH2O and PBS, and then probed with the primary antibody (HA722133) at 1/1,000 dilution for 1 hour at room temperature. The detection was performed using an HRP conjugated compact polymer system. DAB was used as the chromogen. Tissues were counterstained with hematoxylin and mounted with DPX.
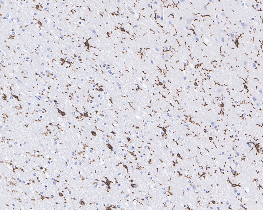
HA722133_5.jpg Fig5: Immunohistochemical analysis of paraffin-embedded mouse brain tissue with Rabbit anti-P2Y12 antibody (HA722133) at 1/1,000 dilution.

The section was pre-treated using heat mediated antigen retrieval with Tris-EDTA buffer (pH 9.0) for 20 minutes. The tissues were blocked in 1% BSA for 20 minutes at room temperature, washed with ddH2O and PBS, and then probed with the primary antibody (HA722133) at 1/1,000 dilution for 1 hour at room temperature. The detection was performed using an HRP conjugated compact polymer system. DAB was used as the chromogen. Tissues were counterstained with hematoxylin and mounted with DPX.
HA722133_6.jpg Fig6: Immunohistochemical analysis of paraffin-embedded rat brain tissue with Rabbit anti-P2Y12 antibody (HA722133) at 1/1,000 dilution.

The section was pre-treated using heat mediated antigen retrieval with Tris-EDTA buffer (pH 9.0) for 20 minutes. The tissues were blocked in 1% BSA for 20 minutes at room temperature, washed with ddH2O and PBS, and then probed with the primary antibody (HA722133) at 1/1,000 dilution for 1 hour at room temperature. The detection was performed using an HRP conjugated compact polymer system. DAB was used as the chromogen. Tissues were counterstained with hematoxylin and mounted with DPX.
Note: All products are “FOR RESEARCH USE ONLY AND ARE NOT INTENDED FOR DIAGNOSTIC OR THERAPEUTIC USE”.