C9 Recombinant Rabbit Monoclonal Antibody [JE01-45]
cat.: HA722136
Product Type: Recombinant Rabbit monoclonal IgG, primary antibodies
Species reactivity: Human
Applications: WB, IHC-P, IF-Tissue
Clonality: Monoclonal
Clone number: JE01-45
Form: Liquid
Storage condition: Shipped at 4℃. Store at +4℃ short term (1-2 weeks). It is recommended to aliquot into single-use upon delivery. Store at -20℃ long term.
Storage buffer: 1*TBS (pH7.4), 0.05% BSA, 40% Glycerol. Preservative: 0.05% Sodium Azide.
Concentration: 1ug/ul
Purification: Protein A affinity purified.
Molecular weight: Predicted band size: 63 kDa
Isotype: IgG
Immunogen: Recombinant fragment corresponding to Human C9.
Positive control: Human plasma tissue lysate, human serum tissue lysate, human colon tissue, human placenta tissue, human spleen tissue.
Subcellular location: Secreted, Target cell membrane.
Recommended Dilutions:
  WB
  IHC-P
  IF-Tissue

1:2,000
1:1,000
1:200
Uniprot #: SwissProt: P02748 Human
Alternative names: ARMD15 C9 C9 deficiency C9 deficiency with dermatomyositis C9D CO9_HUMAN Complement component 9 Complement component 9 deficiency Complement component C9 Complement component C9b
Images
HA722136_1.jpg Fig1: Western blot analysis of C9 on different lysates with Rabbit anti-C9 antibody (HA722136) at 1/2,000 dilution.

Lane 1: Human plasma tissue lysate
Lane 2: Human serum tissue lysate

Lysates/proteins at 20 µg/Lane.

Predicted band size: 63 kDa
Observed band size: 70 kDa

Exposure time: 10 seconds ECL: K1801;

4-20% SDS-PAGE gel.

Proteins were transferred to a PVDF membrane and blocked with 5% NFDM/TBST for 1 hour at room temperature. The primary antibody (HA722136) at 1/2,000 dilution was used in 5% NFDM/TBST at 4℃ overnight. Goat Anti-Rabbit IgG - HRP Secondary Antibody (HA1001) at 1/50,000 dilution was used for 1 hour at room temperature.
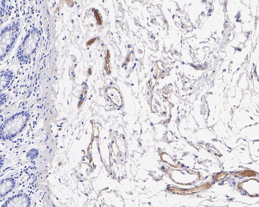
HA722136_2.jpg Fig2: Immunohistochemical analysis of paraffin-embedded human colon tissue with Rabbit anti-C9 antibody (HA722136) at 1/1,000 dilution.

The section was pre-treated using heat mediated antigen retrieval with Tris-EDTA buffer (pH 9.0) for 20 minutes. The tissues were blocked in 1% BSA for 20 minutes at room temperature, washed with ddH2O and PBS, and then probed with the primary antibody (HA722136) at 1/1,000 dilution for 1 hour at room temperature. The detection was performed using an HRP conjugated compact polymer system. DAB was used as the chromogen. Tissues were counterstained with hematoxylin and mounted with DPX.
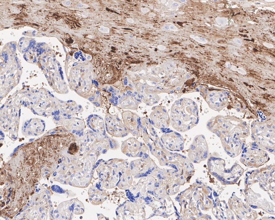
HA722136_3.jpg Fig3: Immunohistochemical analysis of paraffin-embedded human placenta tissue with Rabbit anti-C9 antibody (HA722136) at 1/1,000 dilution.

The section was pre-treated using heat mediated antigen retrieval with Tris-EDTA buffer (pH 9.0) for 20 minutes. The tissues were blocked in 1% BSA for 20 minutes at room temperature, washed with ddH2O and PBS, and then probed with the primary antibody (HA722136) at 1/1,000 dilution for 1 hour at room temperature. The detection was performed using an HRP conjugated compact polymer system. DAB was used as the chromogen. Tissues were counterstained with hematoxylin and mounted with DPX.
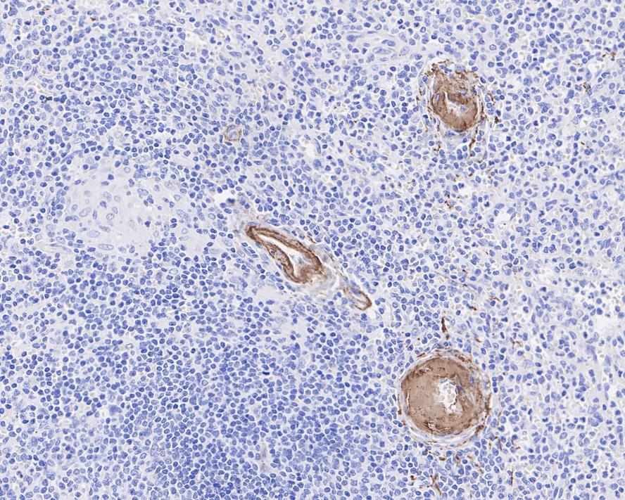
HA722136_4.jpg Fig4: Immunohistochemical analysis of paraffin-embedded human spleen tissue with Rabbit anti-C9 antibody (HA722136) at 1/1,000 dilution.

The section was pre-treated using heat mediated antigen retrieval with Tris-EDTA buffer (pH 9.0) for 20 minutes. The tissues were blocked in 1% BSA for 20 minutes at room temperature, washed with ddH2O and PBS, and then probed with the primary antibody (HA722136) at 1/1,000 dilution for 1 hour at room temperature. The detection was performed using an HRP conjugated compact polymer system. DAB was used as the chromogen. Tissues were counterstained with hematoxylin and mounted with DPX.
HA722136_5.jpg Fig5: Immunofluorescence analysis of paraffin-embedded human spleen tissue labeling C9 with Rabbit anti-C9 antibody (HA722136) at 1/200 dilution.

The section was pre-treated using heat mediated antigen retrieval with Tris-EDTA buffer (pH 9.0) for 20 minutes. The tissues were blocked in 10% negative goat serum for 1 hour at room temperature, washed with PBS, and then probed with the primary antibody (HA722136, green) at 1/200 dilution overnight at 4 ℃, washed with PBS. Goat Anti-Rabbit IgG H&L (iFluor™ 488, HA1121) was used as the secondary antibody at 1/1,000 dilution. Nuclei were counterstained with DAPI (blue).
Note: All products are “FOR RESEARCH USE ONLY AND ARE NOT INTENDED FOR DIAGNOSTIC OR THERAPEUTIC USE”.