PELP1 Recombinant Rabbit Monoclonal Antibody [JE02-42]
cat.: HA722138
Product Type: Recombinant Rabbit monoclonal IgG, primary antibodies
Species reactivity: Human, Mouse, Rat
Applications: WB, IF-Cell, IHC-P, FC, IP
Clonality: Monoclonal
Clone number: JE02-42
Form: Liquid
Storage condition: Shipped at 4℃. Store at +4℃ short term (1-2 weeks). It is recommended to aliquot into single-use upon delivery. Store at -20℃ long term.
Storage buffer: 1*TBS (pH7.4), 0.05% BSA, 40% Glycerol. Preservative: 0.05% Sodium Azide.
Concentration: 1ug/ul
Purification: Protein A affinity purified.
Molecular weight: Predicted band size: 120 kDa
Isotype: IgG
Immunogen: Synthetic peptide within Human PELP1 aa 1,021-1,070 / 1,130.
Positive control: SW620 cell lysate, MCF7 cell lysate, HeLa cell lysate, HEK-293 cell lysate, NIH/3T3 cell lysate, MCF7, human colon cancer tissue, human kidney tissue, mouse kidney tissue, rat kidney tissue.
Subcellular location: Nucleus, nucleolus, nucleoplasm, Cytoplasm.
Recommended Dilutions:
  WB
  IF-Cell
  IHC-P
  FC
  IP

1:1,000
1:100
1:1,000
1:1,000
1-2μg/sample
Uniprot #: SwissProt: Q8IZL8 Human | Q9DBD5 Mouse | Q56B11 Rat
Alternative names: glutamic acid- and leucine-rich protein 1 HMX3 MNAR Modulator of non-genomic activity of estrogen receptor Modulator of nongenomic activity of estrogen receptor P160 Pelp1 PELP1 proline glutamic acid leucine rich protein 1 PELP1_HUMAN proline and glutamic acid rich nuclear protein Proline glutamate and leucine rich protein 1 Proline- proline-, glutamic acid- and leucine-rich protein 1 Transcription factor HMX3
Images
HA722138_1.jpg Fig1: Western blot analysis of PELP1 on different lysates with Rabbit anti-PELP1 antibody (HA722138) at 1/1,000 dilution.

Lane 1: SW620 cell lysate
Lane 2: MCF7 cell lysate
Lane 3: HeLa cell lysate
Lane 4: HEK-293 cell lysate
Lane 5: NIH/3T3 cell lysate

Lysates/proteins at 20 µg/Lane.

Predicted band size: 120 kDa
Observed band size: 150 kDa

Exposure time: Lane 1-4: 10 seconds; Lane 5: 40 seconds; ECL: K1801;

4-20% SDS-PAGE gel.

Proteins were transferred to a PVDF membrane and blocked with 5% NFDM/TBST for 1 hour at room temperature. The primary antibody (HA722138) at 1/1,000 dilution was used in 5% NFDM/TBST at 4℃ overnight. Goat Anti-Rabbit IgG - HRP Secondary Antibody (HA1001) at 1/50,000 dilution was used for 1 hour at room temperature.
HA722138_2.jpg Fig2: PELP1 was immunoprecipitated from 0.2 mg HeLa cell lysate with HA722138 at 2 µg/25 µl agarose. Western blot was performed from the immunoprecipitate using HA722138 at 1/1,000 dilution. Anti-Rabbit IgG for IP Nano-secondary antibody (NBI01H) at 1/5,000 dilution was used for 1 hour at room temperature.

Lane 1: HeLa cell lysate (input)
Lane 2: HA722138 IP in HeLa cell lysate
Lane 3: Rabbit IgG instead of HA722138 in HeLa cell lysate

Blocking/Dilution buffer: 5% NFDM/TBST
Exposure time: 3 minutes; ECL: K1801
HA722138_3.jpg Fig3: Immunocytochemistry analysis of MCF7 cells labeling PELP1 with Rabbit anti-PELP1 antibody (HA722138) at 1/100 dilution.

Cells were fixed in 4% paraformaldehyde for 20 minutes at room temperature, permeabilized with 0.1% Triton X-100 in PBS for 5 minutes at room temperature, then blocked with 1% BSA in 10% negative goat serum for 1 hour at room temperature. Cells were then incubated with Rabbit anti-PELP1 antibody (HA722138) at 1/100 dilution in 1% BSA in PBST overnight at 4 ℃. Goat Anti-Rabbit IgG H&L (iFluor™ 488, HA1121) was used as the secondary antibody at 1/1,000 dilution. PBS instead of the primary antibody was used as the secondary antibody only control. Nuclear DNA was labelled in blue with DAPI.

Beta tubulin (M1305-2, red) was stained at 1/100 dilution overnight at +4℃. Goat Anti-Mouse IgG H&L (iFluor™ 594, HA1126) was used as the secondary antibody at 1/1,000 dilution.
HA722138_4.jpg Fig4: Immunohistochemical analysis of paraffin-embedded human colon cancer tissue with Rabbit anti-PELP1 antibody (HA722138) at 1/1,000 dilution.

The section was pre-treated using heat mediated antigen retrieval with sodium citrate buffer (pH 6.0) for 2 minutes. The tissues were blocked in 1% BSA for 20 minutes at room temperature, washed with ddH2O and PBS, and then probed with the primary antibody (HA722138) at 1/1,000 dilution for 1 hour at room temperature. The detection was performed using an HRP conjugated compact polymer system. DAB was used as the chromogen. Tissues were counterstained with hematoxylin and mounted with DPX.
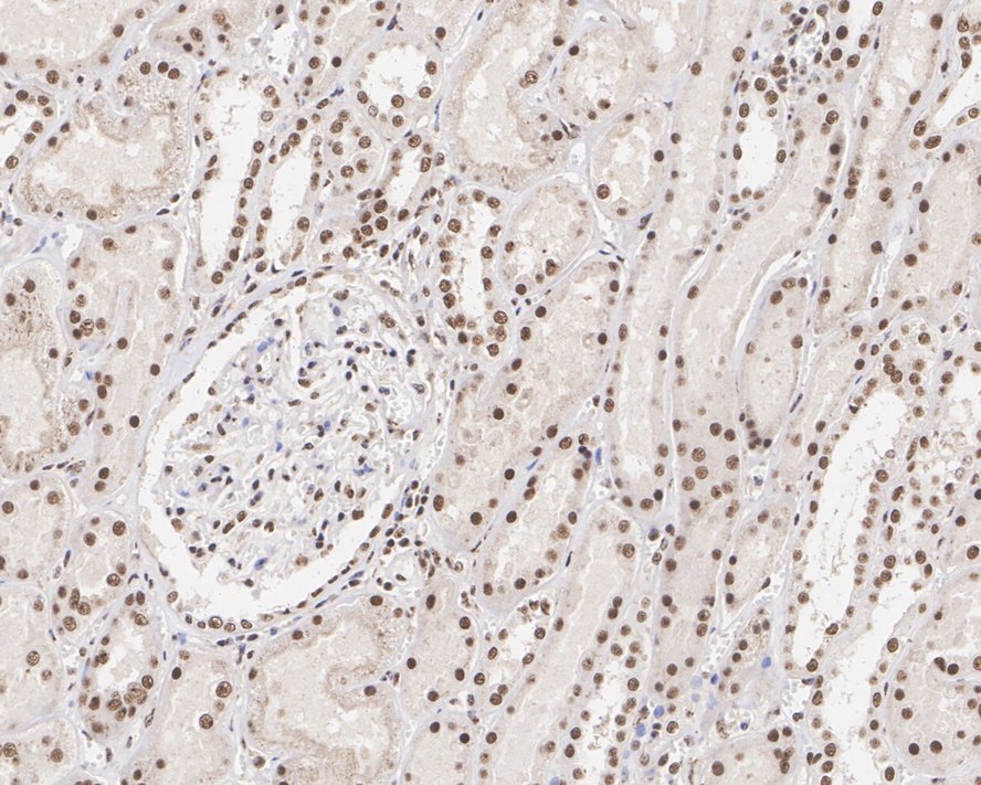
HA722138_5.jpg Fig5: Immunohistochemical analysis of paraffin-embedded human kidney tissue with Rabbit anti-PELP1 antibody (HA722138) at 1/1,000 dilution.

The section was pre-treated using heat mediated antigen retrieval with sodium citrate buffer (pH 6.0) for 2 minutes. The tissues were blocked in 1% BSA for 20 minutes at room temperature, washed with ddH2O and PBS, and then probed with the primary antibody (HA722138) at 1/1,000 dilution for 1 hour at room temperature. The detection was performed using an HRP conjugated compact polymer system. DAB was used as the chromogen. Tissues were counterstained with hematoxylin and mounted with DPX.
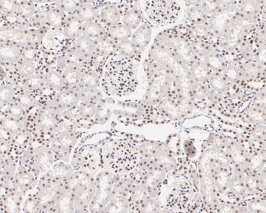
HA722138_6.jpg Fig6: Immunohistochemical analysis of paraffin-embedded mouse kidney tissue with Rabbit anti-PELP1 antibody (HA722138) at 1/1,000 dilution.

The section was pre-treated using heat mediated antigen retrieval with sodium citrate buffer (pH 6.0) for 2 minutes. The tissues were blocked in 1% BSA for 20 minutes at room temperature, washed with ddH2O and PBS, and then probed with the primary antibody (HA722138) at 1/1,000 dilution for 1 hour at room temperature. The detection was performed using an HRP conjugated compact polymer system. DAB was used as the chromogen. Tissues were counterstained with hematoxylin and mounted with DPX.
HA722138_7.jpg Fig7: Immunohistochemical analysis of paraffin-embedded rat kidney tissue with Rabbit anti-PELP1 antibody (HA722138) at 1/1,000 dilution.

The section was pre-treated using heat mediated antigen retrieval with sodium citrate buffer (pH 6.0) for 2 minutes. The tissues were blocked in 1% BSA for 20 minutes at room temperature, washed with ddH2O and PBS, and then probed with the primary antibody (HA722138) at 1/1,000 dilution for 1 hour at room temperature. The detection was performed using an HRP conjugated compact polymer system. DAB was used as the chromogen. Tissues were counterstained with hematoxylin and mounted with DPX.
HA722138_8.jpg Fig8: Flow cytometric analysis of MCF7 cells labeling PELP1.

Cells were fixed and permeabilized. Then stained with the primary antibody (HA722138, 1μg/mL) (red) compared with Rabbit IgG Isotype Control (green). After incubation of the primary antibody at +4℃ for an hour, the cells were stained with a iFluor™ 488 conjugate-Goat anti-Rabbit IgG Secondary antibody (HA1121) at 1/1,000 dilution for 30 minutes at +4℃. Unlabelled sample was used as a control (cells without incubation with primary antibody; black).
Note: All products are “FOR RESEARCH USE ONLY AND ARE NOT INTENDED FOR DIAGNOSTIC OR THERAPEUTIC USE”.