APP/beta Amyloid Recombinant Rabbit Monoclonal Antibody [JE30-54]
cat.: HA722139
Product Type: Recombinant Rabbit monoclonal IgG, primary antibodies
Species reactivity: Human, Mouse, Rat, Cynomolgus monkey, Pig
Applications: WB, IHC-P, IF-Tissue, IHC-Fr
Clonality: Monoclonal
Clone number: JE30-54
Form: Liquid
Storage condition: Shipped at 4℃. Store at +4℃ short term (1-2 weeks). It is recommended to aliquot into single-use upon delivery. Store at -20℃ long term.
Storage buffer: 1*TBS (pH7.4), 0.05% BSA, 40% Glycerol. Preservative: 0.05% Sodium Azide.
Concentration: 1ug/ul
Purification: Protein A affinity purified.
Molecular weight: Predicted band size: 87 kDa
Isotype: IgG
Immunogen: Recombinant protein within Human Amyloid Precursor Protein aa 671-770 / 770.
Positive control: PC-3 cell lysate, mouse brain tissue lysate, rat brain tissue lysate, human brain tissue, mouse brain tissue, rat brain tissue, mouse cerebral cortex tissue.
Subcellular location: Cell membrane, Membrane, Perikaryon, Cell projection, growth cone, clathrin-coated pit, Early endosome, Cytoplasmic vesicle.
Recommended Dilutions:
  WB
  IHC-P
  IF-Tissue
  IHC-Fr

1:5,000
1:1,000-1:2,000
1:200
1:500
Uniprot #: SwissProt: P05067 Human | P12023 Mouse | P08592 Rat
Alternative names: A4 amyloid protein A4_HUMAN AAA ABETA ABPP AD1 AICD-50 AICD-57 AICD-59 AID(50) AID(57) AID(59) Alzheimer disease amyloid protein Amyloid beta (A4) precursor protein Amyloid beta A4 protein Amyloid beta protein Amyloid intracellular domain 50 Amyloid intracellular domain 57 Amyloid intracellular domain 59 Amyloid precursor protein APP APPI Beta-amyloid precursor protein C31 Cerebral vascular amyloid peptide CTFgamma CVAP Gamma-CTF(50) Gamma-CTF(57) Gamma-CTF(59) peptidase nexin II peptidase nexin-II PN 2 PN II PN-II PN2 PreA4 Protease nexin II Protease nexin-II S-APP-alpha S-APP-beta sAPP
Images
HA722139_1.jpg Fig1: Application: IHC-Fr

Species: Mouse

Site: Cerebral cortex

Sample: Frozen section

Antibody concentration: 1/500

Antigen retrieval: Not required
HA722139_2.jpg Fig2: Western blot analysis of APP/beta Amyloid on different lysates with Rabbit anti-APP/beta Amyloid antibody (HA722139) at 1/5,000 dilution.

Lane 1: PC-3 cell lysate
Lane 2: K-562 cell lysate (negative)
Lane 3: Mouse brain tissue lysate
Lane 4: Mouse skeletal muscle tissue lysate (negative)
Lane 5: Rat brain tissue lysate
Lane 6: Rat skeletal muscle tissue lysate (negative)

Lysates/proteins at 20 µg/Lane.

Predicted band size: 87 kDa
Observed band size: 100 kDa

Exposure time: 20 seconds; ECL: K1801;

4-20% SDS-PAGE gel.

Proteins were transferred to a PVDF membrane and blocked with 5% NFDM/TBST for 1 hour at room temperature. The primary antibody (HA722139) at 1/5,000 dilution was used in 5% NFDM/TBST at 4℃ overnight. Goat Anti-Rabbit IgG - HRP Secondary Antibody (HA1001) at 1/50,000 dilution was used for 1 hour at room temperature.
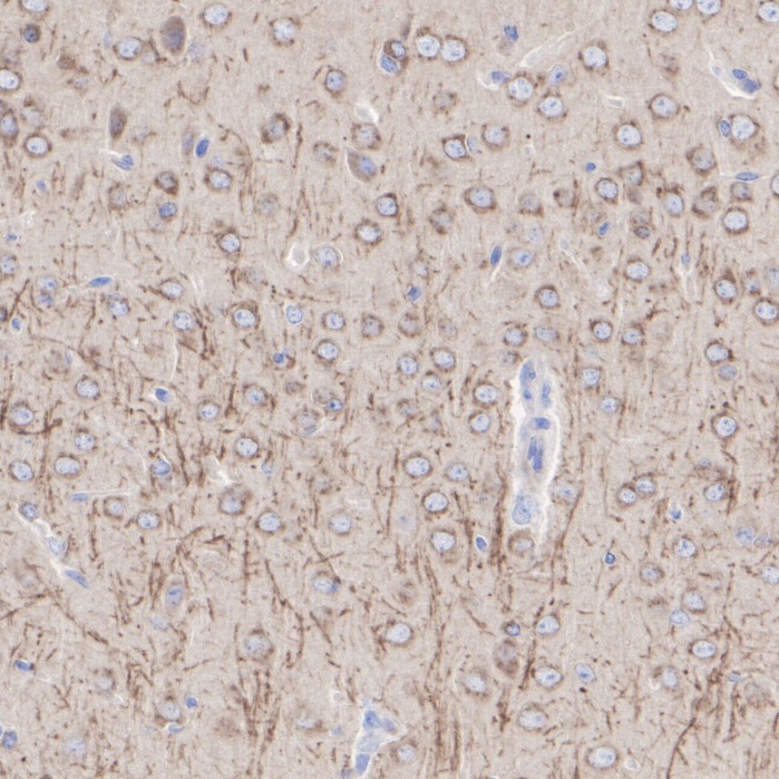
HA722139_3.jpg Fig3: Immunohistochemical analysis of paraffin-embedded human brain tissue with Rabbit anti-APP/beta Amyloid antibody (HA722139) at 1/1,000 dilution.

The section was pre-treated using heat mediated antigen retrieval with Tris-EDTA buffer (pH 9.0) for 20 minutes. The tissues were blocked in 1% BSA for 20 minutes at room temperature, washed with ddH2O and PBS, and then probed with the primary antibody (HA722139) at 1/1,000 dilution for 1 hour at room temperature. The detection was performed using an HRP conjugated compact polymer system. DAB was used as the chromogen. Tissues were counterstained with hematoxylin and mounted with DPX.
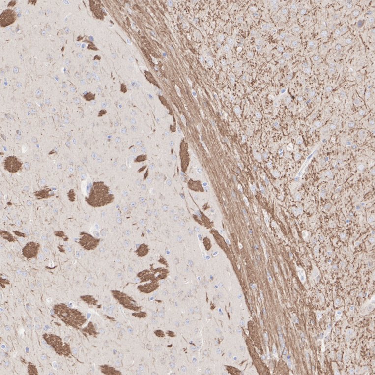
HA722139_4.jpg Fig4: Immunohistochemical analysis of paraffin-embedded mouse brain tissue with Rabbit anti-APP/beta Amyloid antibody (HA722139) at 1/2,000 dilution.

The section was pre-treated using heat mediated antigen retrieval with Tris-EDTA buffer (pH 9.0) for 20 minutes. The tissues were blocked in 1% BSA for 20 minutes at room temperature, washed with ddH2O and PBS, and then probed with the primary antibody (HA722139) at 1/2,000 dilution for 1 hour at room temperature. The detection was performed using an HRP conjugated compact polymer system. DAB was used as the chromogen. Tissues were counterstained with hematoxylin and mounted with DPX.
HA722139_5.jpg Fig5: Immunohistochemical analysis of paraffin-embedded mouse brain tissue with Rabbit anti-APP/beta Amyloid antibody (HA722139) at 1/2,000 dilution.

The section was pre-treated using heat mediated antigen retrieval with Tris-EDTA buffer (pH 9.0) for 20 minutes. The tissues were blocked in 1% BSA for 20 minutes at room temperature, washed with ddH2O and PBS, and then probed with the primary antibody (HA722139) at 1/2,000 dilution for 1 hour at room temperature. The detection was performed using an HRP conjugated compact polymer system. DAB was used as the chromogen. Tissues were counterstained with hematoxylin and mounted with DPX.
HA722139_6.jpg Fig6: Immunohistochemical analysis of paraffin-embedded rat brain tissue with Rabbit anti-APP/beta Amyloid antibody (HA722139) at 1/2,000 dilution.

The section was pre-treated using heat mediated antigen retrieval with Tris-EDTA buffer (pH 9.0) for 20 minutes. The tissues were blocked in 1% BSA for 20 minutes at room temperature, washed with ddH2O and PBS, and then probed with the primary antibody (HA722139) at 1/2,000 dilution for 1 hour at room temperature. The detection was performed using an HRP conjugated compact polymer system. DAB was used as the chromogen. Tissues were counterstained with hematoxylin and mounted with DPX.
HA722139_7.jpg Fig7: Immunohistochemical analysis of paraffin-embedded human skeletal muscle tissue (negative) with Rabbit anti-APP/beta Amyloid antibody (HA722139) at 1/1,000 dilution.

The section was pre-treated using heat mediated antigen retrieval with Tris-EDTA buffer (pH 9.0) for 20 minutes. The tissues were blocked in 1% BSA for 20 minutes at room temperature, washed with ddH2O and PBS, and then probed with the primary antibody (HA722139) at 1/1,000 dilution for 1 hour at room temperature. The detection was performed using an HRP conjugated compact polymer system. DAB was used as the chromogen. Tissues were counterstained with hematoxylin and mounted with DPX.
Note: All products are “FOR RESEARCH USE ONLY AND ARE NOT INTENDED FOR DIAGNOSTIC OR THERAPEUTIC USE”.