Phospho-VASP (S156) Recombinant Rabbit Monoclonal Antibody [JE45-91]
cat.: HA722145
Product Type: Recombinant Rabbit monoclonal IgG, primary antibodies
Species reactivity: Human, Mouse, Rat
Applications: WB, IF-Cell, IHC-P
Clonality: Monoclonal
Clone number: JE45-91
Form: Liquid
Storage condition: Shipped at 4℃. Store at +4℃ short term (1-2 weeks). It is recommended to aliquot into single-use upon delivery. Store at -20℃ long term.
Storage buffer: 1*TBS (pH7.4), 0.05% BSA, 40% Glycerol. Preservative: 0.05% Sodium Azide.
Concentration: 1ug/ul
Purification: Protein A affinity purified.
Molecular weight: Predicted band size: 40 kDa
Isotype: IgG
Immunogen: Synthetic phosphopeptide corresponding to residues surrounding Ser156 of human VASP.
Positive control: HeLa treated with 100ng/mL Calyculin A for 30 minutes cell lysate, NIH/3T3 treated with 100nM Calyculin A for 30 minutes cell lysate, A431 cells treated with 10μM forskolin for 1 hour, mouse spleen tissue, rat spleen tissue.
Subcellular location: Cytoplasm, cytoskeleton, Cell junction, focal adhesion, tight junction, Cell projection, lamellipodium membrane, filopodium membrane.
Recommended Dilutions:
  WB
  IF-Cell
  IHC-P

1:1,000
1:100
1:1,000
Uniprot #: SwissProt: P50552 Human | P70460 Mouse
Entrez Gene: 361517 Rat
Alternative names: Vasodilator stimulated phosphoprotein Vasodilator-stimulated phosphoprotein VASP VASP_HUMAN
Images
HA722145_1.jpg Fig1: Western blot analysis of Phospho-VASP (S156) on different lysates with Rabbit anti-Phospho-VASP (S156) antibody (HA722145) at 1/1,000 dilution.

Lane 1: HeLa cell lysate
Lane 2: HeLa treated with 100ng/mL Calyculin A for 30 minutes cell lysate
Lane 3: HeLa treated with 100ng/mL Calyculin A for 30 minutes cell lysate, then the membrane treated with λpp for 1 hour

Lysates/proteins at 20 µg/Lane.

Predicted band size: 40 kDa
Observed band size: 50 kDa

Exposure time: 3 minutes; ECL: K1801;
4-20% SDS-PAGE gel.

Proteins were transferred to a PVDF membrane and blocked with 5% NFDM/TBST for 1 hour at room temperature. The primary antibody (HA722145) at 1/1,000 dilution was used in 5% NFDM/TBST at 4℃ overnight. Goat Anti-Rabbit IgG - HRP Secondary Antibody (HA1001) at 1/50,000 dilution was used for 1 hour at room temperature.
HA722145_2.jpg Fig2: Western blot analysis of Phospho-VASP (S156) on different lysates with Rabbit anti-Phospho-VASP (S156) antibody (HA722145) at 1/1,000 dilution.

Lane 1: NIH/3T3 cell lysate
Lane 2: NIH/3T3 treated with 100nM Calyculin A for 30 minutes cell lysate

Lysates/proteins at 20 µg/Lane.

Predicted band size: 40 kDa
Observed band size: 50 kDa

Exposure time: 24 seconds; ECL: K1802;
4-20% SDS-PAGE gel.

Proteins were transferred to a PVDF membrane and blocked with 5% NFDM/TBST for 1 hour at room temperature. The primary antibody (HA722145) at 1/1,000 dilution was used in 5% NFDM/TBST at 4℃ overnight. Goat Anti-Rabbit IgG - HRP Secondary Antibody (HA1001) at 1/50,000 dilution was used for 1 hour at room temperature.
HA722145_3.jpg Fig3: Immunocytochemistry analysis of A431 cells treated with or without 10μM forskolin for 1 hour labeling Phospho-VASP (S156) with Rabbit anti-Phospho-VASP (S156) antibody (HA722145) at 1/100 dilution.

Cells were fixed in 4% paraformaldehyde for 20 minutes at room temperature, permeabilized with 0.1% Triton X-100 in PBS for 5 minutes at room temperature, then blocked with 1% BSA in 10% negative goat serum for 1 hour at room temperature. Cells were then incubated with Rabbit anti-Phospho-VASP (S156) antibody (HA722145) at 1/100 dilution in 1% BSA in PBST overnight at 4 ℃. Goat Anti-Rabbit IgG H&L (iFluor™ 488, HA1121) was used as the secondary antibody at 1/1,000 dilution. PBS instead of the primary antibody was used as the secondary antibody only control. Nuclear DNA was labelled in blue with DAPI.

Beta tubulin (M1305-2, red) was stained at 1/100 dilution overnight at +4℃. Goat Anti-Mouse IgG H&L (iFluor™ 594, HA1126) was used as the secondary antibody at 1/1,000 dilution.
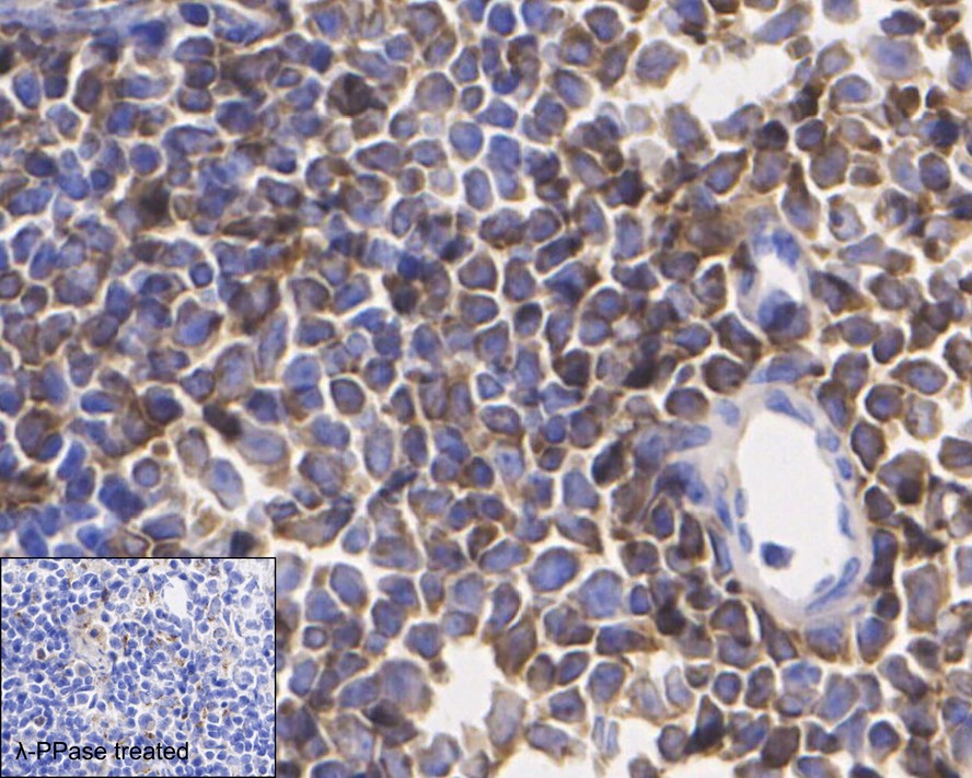
HA722145_4.jpg Fig4: Immunohistochemical analysis of paraffin-embedded mouse spleen tissue untreated / treated with λpp with Rabbit anti-Phospho-VASP (S156) antibody (HA722145) at 1/1,000 dilution.

The section was pre-treated using heat mediated antigen retrieval with Tris-EDTA buffer (pH 9.0) for 20 minutes. The tissues were blocked in 1% BSA for 20 minutes at room temperature, washed with ddH2O and PBS, and then probed with the primary antibody (HA722145) at 1/1,000 dilution for 1 hour at room temperature. The detection was performed using an HRP conjugated compact polymer system. DAB was used as the chromogen. Tissues were counterstained with hematoxylin and mounted with DPX.
HA722145_5.jpg Fig5: Immunohistochemical analysis of paraffin-embedded rat spleen tissue untreated / treated with λpp with Rabbit anti-Phospho-VASP (S156) antibody (HA722145) at 1/1,000 dilution.

The section was pre-treated using heat mediated antigen retrieval with Tris-EDTA buffer (pH 9.0) for 20 minutes. The tissues were blocked in 1% BSA for 20 minutes at room temperature, washed with ddH2O and PBS, and then probed with the primary antibody (HA722145) at 1/1,000 dilution for 1 hour at room temperature. The detection was performed using an HRP conjugated compact polymer system. DAB was used as the chromogen. Tissues were counterstained with hematoxylin and mounted with DPX.
Note: All products are “FOR RESEARCH USE ONLY AND ARE NOT INTENDED FOR DIAGNOSTIC OR THERAPEUTIC USE”.