Phospho-eIF4B (S406) Recombinant Rabbit Monoclonal Antibody [JE63-80]
cat.: HA722149
Product Type: Recombinant Rabbit monoclonal IgG, primary antibodies
Species reactivity: Human, Mouse, Rat
Applications: WB, IF-Cell, IHC-P, FC
Clonality: Monoclonal
Clone number: JE63-80
Form: Liquid
Storage condition: Shipped at 4℃. Store at +4℃ short term (1-2 weeks). It is recommended to aliquot into single-use upon delivery. Store at -20℃ long term.
Storage buffer: 1*TBS (pH7.4), 0.05% BSA, 40% Glycerol. Preservative: 0.05% Sodium Azide.
Concentration: 1ug/ul
Purification: Protein A affinity purified.
Molecular weight: Predicted band size: 69 kDa
Isotype: IgG
Immunogen: Synthetic peptide corresponding to residues surrounding Ser406 of human eIF4B protein.
Positive control: 293T cell lysate, 293T treated with 100nM Calyculin A for 15 minutes cell lysate, HeLa cell lysate, HeLa treated with 100ng/mL Calyculin A for 30 minutes cell lysate, Jurkat cell lysate, Jurkat treated with 100nM Calyculin A for 30 minutes cell lysate, NIH/3T3 cell lysate, NIH/3T3 treated with 100nM Calyculin A for 30 minutes cell lysate, PC-12 cell lysate, PC-12 treated with 100nM Calyculin A for 30 minutes cell lysate, human breast cancer tissue, Jurkat, NIH/3T3, PC-12.
Subcellular location: cytosol, eukaryotic translation initiation factor 4F complex.
Recommended Dilutions:
  WB
  IF-Cell
  IHC-P
  FC

1:50,000
1:5,000-1:20,000
1:1,000
1:5,000
Uniprot #: SwissProt: P23588 Human | Q8BGD9 Mouse | Q5RKG9 Rat
Alternative names: 2310046H11Rik AL024095 C85189 EIF 4B eIF-4B EIF4B Eukaryotic initiation factor 4B Eukaryotic translation initiation factor 4B IF4B_HUMAN PRO1843
Images
HA722149_1.jpg Fig1: Western blot analysis of Phospho-eIF4B (S406) on different lysates with Rabbit anti-Phospho-eIF4B (S406) antibody (HA722149) at 1/50,000 dilution.

Lane 1: 293T cell lysate
Lane 2: 293T treated with 100nM Calyculin A for 15 minutes cell lysate
Lane 3: HeLa cell lysate
Lane 4: HeLa treated with 100ng/mL Calyculin A for 30 minutes cell lysate
Lane 5: Jurkat cell lysate
Lane 6: Jurkat treated with 100nM Calyculin A for 30 minutes cell lysate
Lane 7: NIH/3T3 cell lysate
Lane 8: NIH/3T3 treated with 100nM Calyculin A for 30 minutes cell lysate
Lane 9: PC-12 cell lysate
Lane 10: PC-12 treated with 100nM Calyculin A for 30 minutes cell lysate

Lysates/proteins at 20 µg/Lane.

Predicted band size: 69 kDa
Observed band size: 80 kDa

Exposure time: 21 seconds; ECL: K1801;
4-20% SDS-PAGE gel.

Proteins were transferred to a PVDF membrane and blocked with 5% NFDM/TBST for 1 hour at room temperature. The primary antibody (HA722149) at 1/50,000 dilution was used in 5% NFDM/TBST at 4℃ overnight. Goat Anti-Rabbit IgG - HRP Secondary Antibody (HA1001) at 1/50,000 dilution was used for 1 hour at room temperature.
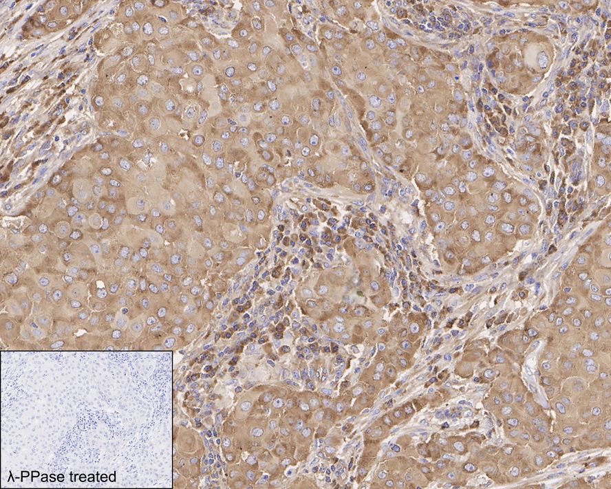
HA722149_2.jpg Fig2: Immunohistochemical analysis of paraffin-embedded human breast cancer tissue untreated / treated with λpp with Rabbit anti-Phospho-eIF4B (S406) antibody (HA722149) at 1/1,000 dilution.

The section was pre-treated using heat mediated antigen retrieval with Tris-EDTA buffer (pH 9.0) for 20 minutes. The tissues were blocked in 1% BSA for 20 minutes at room temperature, washed with ddH2O and PBS, and then probed with the primary antibody (HA722149) at 1/1,000 dilution for 1 hour at room temperature. The detection was performed using an HRP conjugated compact polymer system. DAB was used as the chromogen. Tissues were counterstained with hematoxylin and mounted with DPX.
HA722149_3.jpg Fig3: Immunocytochemistry analysis of Jurkat cells treated with or without λpp labeling Phospho-eIF4B (S406) with Rabbit anti-Phospho-eIF4B (S406) antibody (HA722149) at 1/20,000 dilution.

Cells were fixed in 4% paraformaldehyde for 20 minutes at room temperature, permeabilized with 0.1% Triton X-100 in PBS for 5 minutes at room temperature, then blocked with 1% BSA in 10% negative goat serum for 1 hour at room temperature. Cells were then incubated with Rabbit anti-Phospho-eIF4B (S406) antibody (HA722149) at 1/20,000 dilution in 1% BSA in PBST overnight at 4 ℃. Goat Anti-Rabbit IgG H&L (iFluor™ 488, HA1121) was used as the secondary antibody at 1/1,000 dilution. PBS instead of the primary antibody was used as the secondary antibody only control. Nuclear DNA was labelled in blue with DAPI.

Beta tubulin (M1305-2, red) was stained at 1/100 dilution overnight at +4℃. Goat Anti-Mouse IgG H&L (iFluor™ 594, HA1126) was used as the secondary antibody at 1/1,000 dilution.
HA722149_4.jpg Fig4: Immunocytochemistry analysis of NIH/3T3 cells labeling Phospho-eIF4B (S406) with Rabbit anti-Phospho-eIF4B (S406) antibody (HA722149) at 1/10,000 dilution.

Cells were fixed in 4% paraformaldehyde for 20 minutes at room temperature, permeabilized with 0.1% Triton X-100 in PBS for 5 minutes at room temperature, then blocked with 1% BSA in 10% negative goat serum for 1 hour at room temperature. Cells were then incubated with Rabbit anti-Phospho-eIF4B (S406) antibody (HA722149) at 1/10,000 dilution in 1% BSA in PBST overnight at 4 ℃. Goat Anti-Rabbit IgG H&L (iFluor™ 488, HA1121) was used as the secondary antibody at 1/1,000 dilution. PBS instead of the primary antibody was used as the secondary antibody only control. Nuclear DNA was labelled in blue with DAPI.

Beta tubulin (M1305-2, red) was stained at 1/100 dilution overnight at +4℃. Goat Anti-Mouse IgG H&L (iFluor™ 594, HA1126) was used as the secondary antibody at 1/1,000 dilution.
HA722149_5.jpg Fig5: Immunocytochemistry analysis of PC-12 cells labeling Phospho-eIF4B (S406) with Rabbit anti-Phospho-eIF4B (S406) antibody (HA722149) at 1/10,000 dilution.

Cells were fixed in 4% paraformaldehyde for 20 minutes at room temperature, permeabilized with 0.1% Triton X-100 in PBS for 5 minutes at room temperature, then blocked with 1% BSA in 10% negative goat serum for 1 hour at room temperature. Cells were then incubated with Rabbit anti-Phospho-eIF4B (S406) antibody (HA722149) at 1/10,000 dilution in 1% BSA in PBST overnight at 4 ℃. Goat Anti-Rabbit IgG H&L (iFluor™ 488, HA1121) was used as the secondary antibody at 1/1,000 dilution. PBS instead of the primary antibody was used as the secondary antibody only control. Nuclear DNA was labelled in blue with DAPI.

Beta tubulin (M1305-2, red) was stained at 1/100 dilution overnight at +4℃. Goat Anti-Mouse IgG H&L (iFluor™ 594, HA1126) was used as the secondary antibody at 1/1,000 dilution.
HA722149_6.jpg Fig6: Flow cytometric analysis of Jurkat cells labeling Phospho-eIF4B (S406).

Cells were fixed and permeabilized. Then stained with the primary antibody (HA722149, 1/5,000) (red) compared with Rabbit IgG Isotype Control (green). After incubation of the primary antibody at +4℃ for an hour, the cells were stained with a iFluor™ 488 conjugate-Goat anti-Rabbit IgG Secondary antibody (HA1121) at 1/1,000 dilution for 30 minutes at +4℃. Unlabelled sample was used as a control (cells without incubation with primary antibody; black).
HA722149_7.jpg Fig7: Flow cytometric analysis of NIH/3T3 cells labeling Phospho-eIF4B (S406).

Cells were fixed and permeabilized. Then stained with the primary antibody (HA722149, 1/5,000) (red) compared with Rabbit IgG Isotype Control (green). After incubation of the primary antibody at +4℃ for an hour, the cells were stained with a iFluor™ 594 conjugate-Goat anti-Rabbit IgG Secondary antibody (HA1122) at 1/1,000 dilution for 30 minutes at +4℃. Unlabelled sample was used as a control (cells without incubation with primary antibody; black).
HA722149_8.jpg Fig8: Flow cytometric analysis of PC-12 cells labeling Phospho-eIF4B (S406).

Cells were fixed and permeabilized. Then stained with the primary antibody (HA722149, 1/5,000) (red) compared with Rabbit IgG Isotype Control (green). After incubation of the primary antibody at +4℃ for an hour, the cells were stained with a iFluor™ 594 conjugate-Goat anti-Rabbit IgG Secondary antibody (HA1122) at 1/1,000 dilution for 30 minutes at +4℃. Unlabelled sample was used as a control (cells without incubation with primary antibody; black).
Note: All products are “FOR RESEARCH USE ONLY AND ARE NOT INTENDED FOR DIAGNOSTIC OR THERAPEUTIC USE”.