Langerin / CD207 Recombinant Rabbit Monoclonal Antibody [PSH04-60]
cat.: HA722159
Product Type: Recombinant Rabbit monoclonal IgG, primary antibodies
Species reactivity: Human
Applications: WB, IHC-P, IF-Cell, IF-Tissue
Clonality: Monoclonal
Clone number: PSH04-60
Form: Liquid
Storage condition: Shipped at 4℃. Store at +4℃ short term (1-2 weeks). It is recommended to aliquot into single-use upon delivery. Store at -20℃ long term.
Storage buffer: PBS (pH7.4), 0.1% BSA, 40% Glycerol. Preservative: 0.05% Sodium Azide.
Concentration: 1ug/ul
Purification: Protein A affinity purified.
Molecular weight: Predicted band size: 37 kDa
Isotype: IgG
Immunogen: Synthetic peptide within human Langerin aa 1-43 / 328.
Positive control: Human lymph nodes tissue, human skin tissue, human tonsil tissue, 293T cells transfected with CD207/Langerin.
Subcellular location: Membrane.
Recommended Dilutions:
  WB
  IHC-P
  IF-Cell
  IF-Tissue

1:1,000
1:4,000
1:2,500
1:200-1:1,000
Uniprot #: SwissProt: Q9UJ71 Human
Alternative names: C type lectin domain family 4 member K C-type lectin domain family 4 member K CD 207 CD207 CD207 antigen CD207 antigen, langerin CD207 molecule CLC4K_HUMAN CLEC 4K CLEC4K Langerhans cell specific c type lectin Langerin RGD1565913
Images
HA722159_1.jpg Fig1: Western blot analysis of Langerin / CD207 on different lysates with Rabbit anti-Langerin / CD207 antibody (HA722159) at 1/1,000 dilution.

Lane 1: 293T-NT cell lysate
Lane 2: 293T-OE-CD207/Langerin cell lysate

Lysates/proteins at 20 µg/Lane.

Predicted band size: 37 kDa
Observed band size: 37 kDa

Exposure time: 20 seconds; ECL: K1801;
4-20% SDS-PAGE gel.

Proteins were transferred to a PVDF membrane and blocked with 5% NFDM/TBST for 1 hour at room temperature. The primary antibody (HA722159) at 1/1,000 dilution was used in 5% NFDM/TBST at 4℃ overnight. Goat Anti-Rabbit IgG - HRP Secondary Antibody (HA1001) at 1/50,000 dilution was used for 1 hour at room temperature.
HA722159_2.jpg Fig2: Immunohistochemical analysis of paraffin-embedded human lymph nodes tissue with Rabbit anti-Langerin / CD207 antibody (HA722159) at 1/4,000 dilution.

The section was pre-treated using heat mediated antigen retrieval with Tris-EDTA buffer (pH 9.0) for 20 minutes. The tissues were blocked in 1% BSA for 20 minutes at room temperature, washed with ddH2O and PBS, and then probed with the primary antibody (HA722159) at 1/4,000 dilution for 1 hour at room temperature. The detection was performed using an HRP conjugated compact polymer system. DAB was used as the chromogen. Tissues were counterstained with hematoxylin and mounted with DPX.
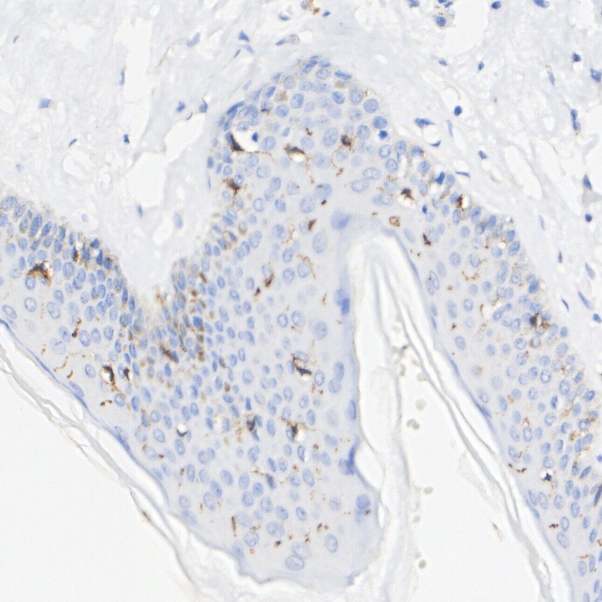
HA722159_3.jpg Fig3: Immunohistochemical analysis of paraffin-embedded human skin tissue with Rabbit anti-Langerin / CD207 antibody (HA722159) at 1/4,000 dilution.

The section was pre-treated using heat mediated antigen retrieval with Tris-EDTA buffer (pH 9.0) for 20 minutes. The tissues were blocked in 1% BSA for 20 minutes at room temperature, washed with ddH2O and PBS, and then probed with the primary antibody (HA722159) at 1/4,000 dilution for 1 hour at room temperature. The detection was performed using an HRP conjugated compact polymer system. DAB was used as the chromogen. Tissues were counterstained with hematoxylin and mounted with DPX.
HA722159_4.jpg Fig4: Immunohistochemical analysis of paraffin-embedded human tonsil tissue with Rabbit anti-Langerin / CD207 antibody (HA722159) at 1/4,000 dilution.

The section was pre-treated using heat mediated antigen retrieval with Tris-EDTA buffer (pH 9.0) for 20 minutes. The tissues were blocked in 1% BSA for 20 minutes at room temperature, washed with ddH2O and PBS, and then probed with the primary antibody (HA722159) at 1/4,000 dilution for 1 hour at room temperature. The detection was performed using an HRP conjugated compact polymer system. DAB was used as the chromogen. Tissues were counterstained with hematoxylin and mounted with DPX.
HA722159_5.jpg Fig5: Immunohistochemical analysis of paraffin-embedded human brain tissue (negative) with Rabbit anti-Langerin / CD207 antibody (HA722159) at 1/2,000 dilution.

The section was pre-treated using heat mediated antigen retrieval with Tris-EDTA buffer (pH 9.0) for 20 minutes. The tissues were blocked in 1% BSA for 20 minutes at room temperature, washed with ddH2O and PBS, and then probed with the primary antibody (HA722159) at 1/2,000 dilution for 1 hour at room temperature. The detection was performed using an HRP conjugated compact polymer system. DAB was used as the chromogen. Tissues were counterstained with hematoxylin and mounted with DPX.
HA722159_6.jpg Fig6: Immunocytochemistry analysis of 293T cells transfected with or without CD207/Langerin labeling Langerin / CD207 with Rabbit anti-Langerin / CD207 antibody (HA722159) at 1/2,500 dilution.

Cells were fixed in 4% paraformaldehyde for 20 minutes at room temperature, permeabilized with 0.1% Triton X-100 in PBS for 5 minutes at room temperature, then blocked with 1% BSA in 10% negative goat serum for 1 hour at room temperature. Cells were then incubated with Rabbit anti-Langerin / CD207 antibody (HA722159) at 1/2,500 dilution in 1% BSA in PBST overnight at 4 ℃. Goat Anti-Rabbit IgG H&L (iFluor™ 488, HA1121) was used as the secondary antibody at 1/1,000 dilution. PBS instead of the primary antibody was used as the secondary antibody only control. Nuclear DNA was labelled in blue with DAPI.

Beta tubulin (M1305-2, red) was stained at 1/100 dilution overnight at +4℃. Goat Anti-Mouse IgG H&L (iFluor™ 594, HA1126) was used as the secondary antibody at 1/1,000 dilution.
HA722159_7.jpg Fig7: Immunohistochemical analysis of paraffin-embedded human skin tissue with Rabbit anti-Langerin / CD207 antibody (HA722159) at 1/500 dilution.

Heat mediated antigen retrieval with Tris-EDTA buffer (pH 9.0, epitope retrieval solution 2) for 20 mins. The section was incubated with HA722159 for 30 mins at room temperature. The immunostaining was performed on a Leica Biosystems BOND® RX instrument. DAB was used as the chromogen. Tissues were counterstained with hematoxylin and mounted with DPX.
Note: All products are “FOR RESEARCH USE ONLY AND ARE NOT INTENDED FOR DIAGNOSTIC OR THERAPEUTIC USE”.