MyoD1 Recombinant Rabbit Monoclonal Antibody [JE60-47]
cat.: HA722179
Product Type: Recombinant Rabbit monoclonal IgG, primary antibodies
Species reactivity: Human, Mouse, Rat
Applications: WB, IF-Cell, IHC-P
Clonality: Monoclonal
Clone number: JE60-47
Form: Liquid
Storage condition: Shipped at 4℃. Store at +4℃ short term (1-2 weeks). It is recommended to aliquot into single-use upon delivery. Store at -20℃ long term.
Storage buffer: 1*TBS (pH7.4), 0.05% BSA, 40% Glycerol. Preservative: 0.05% Sodium Azide.
Concentration: 1ug/ul
Purification: Protein A affinity purified.
Molecular weight: Predicted band size: 35 kDa
Isotype: IgG
Immunogen: Recombinant protein within Human MyoD1 aa 1-100 / 320.
Positive control: RD cell lysate, RD, human rhabdomyosarcoma tissue, mouse embryo tissue, rat embryo tissue.
Subcellular location: Nucleus.
Recommended Dilutions:
  WB
  IF-Cell
  IHC-P

1:1,000
1:100
1:100-1:200
Uniprot #: SwissProt: P15172 Human | P10085 Mouse | Q02346 Rat
Alternative names: bHLHc1 Class C basic helix-loop-helix protein 1 MYF 3 Myf-3 MYF3 Myoblast determination protein 1 Myod 1 MYOD MYOD1 MYOD1_HUMAN Myogenic differentiation 1 Myogenic factor 3 Myogenic factor MYF 3 Myogenin D1 PUM
Images
HA722179_1.jpg Fig1: Western blot analysis of MyoD1 on different lysates with Rabbit anti-MyoD1 antibody (HA722179) at 1/1,000 dilution.

Lane 1: RD cell lysate
Lane 2: HEK-293 cell lysate (negative)
Lane 3: HeLa cell lysate (negative)
Lane 4: RD cell lysate

Lysates/proteins at 30 µg/Lane.

Predicted band size: 35 kDa
Observed band size: 45 kDa

Exposure time: 10 seconds; ECL: K1801;

4-20% SDS-PAGE gel.

Proteins were transferred to a PVDF membrane and blocked with 5% NFDM/TBST for 1 hour at room temperature. The primary antibody (HA722179) at 1/1,000 dilution was used in 5% NFDM/TBST at 4℃ overnight. Goat Anti-Rabbit IgG - HRP Secondary Antibody (HA1001) at 1/50,000 dilution was used for 1 hour at room temperature.
HA722179_2.jpg Fig2: Immunocytochemistry analysis of RD (positive) and HEK-293 (negative) labeling MyoD1 with Rabbit anti-MyoD1 antibody (HA722179) at 1/100 dilution.

Cells were fixed in 4% paraformaldehyde for 20 minutes at room temperature, permeabilized with 0.1% Triton X-100 in PBS for 5 minutes at room temperature, then blocked with 1% BSA in 10% negative goat serum for 1 hour at room temperature. Cells were then incubated with Rabbit anti-MyoD1 antibody (HA722179) at 1/100 dilution in 1% BSA in PBST overnight at 4 ℃. Goat Anti-Rabbit IgG H&L (iFluor™ 488, HA1121) was used as the secondary antibody at 1/1,000 dilution. PBS instead of the primary antibody was used as the secondary antibody only control. Nuclear DNA was labelled in blue with DAPI.

Beta tubulin (M1305-2, red) was stained at 1/100 dilution overnight at +4℃. Goat Anti-Mouse IgG H&L (iFluor™ 594, HA1126) was used as the secondary antibody at 1/1,000 dilution.
HA722179_3.jpg Fig3: Immunohistochemical analysis of paraffin-embedded human rhabdomyosarcoma tissue with Rabbit anti-MyoD1 antibody (HA722179) at 1/100 dilution.

The section was pre-treated using heat mediated antigen retrieval with Tris-EDTA buffer (pH 9.0) for 20 minutes. The tissues were blocked in 1% BSA for 20 minutes at room temperature, washed with ddH2O and PBS, and then probed with the primary antibody (HA722179) at 1/100 dilution for 1 hour at room temperature. The detection was performed using an HRP conjugated compact polymer system. DAB was used as the chromogen. Tissues were counterstained with hematoxylin and mounted with DPX.
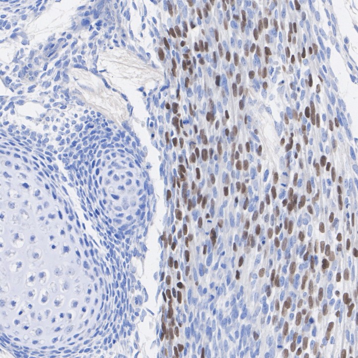
HA722179_4.jpg Fig4: Immunohistochemical analysis of paraffin-embedded mouse embryo tissue with Rabbit anti-MyoD1 antibody (HA722179) at 1/200 dilution.

The section was pre-treated using heat mediated antigen retrieval with Tris-EDTA buffer (pH 9.0) for 20 minutes. The tissues were blocked in 1% BSA for 20 minutes at room temperature, washed with ddH2O and PBS, and then probed with the primary antibody (HA722179) at 1/200 dilution for 1 hour at room temperature. The detection was performed using an HRP conjugated compact polymer system. DAB was used as the chromogen. Tissues were counterstained with hematoxylin and mounted with DPX.
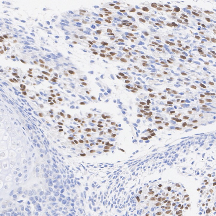
HA722179_5.jpg Fig5: Immunohistochemical analysis of paraffin-embedded rat embryo tissue with Rabbit anti-MyoD1 antibody (HA722179) at 1/200 dilution.

The section was pre-treated using heat mediated antigen retrieval with Tris-EDTA buffer (pH 9.0) for 20 minutes. The tissues were blocked in 1% BSA for 20 minutes at room temperature, washed with ddH2O and PBS, and then probed with the primary antibody (HA722179) at 1/200 dilution for 1 hour at room temperature. The detection was performed using an HRP conjugated compact polymer system. DAB was used as the chromogen. Tissues were counterstained with hematoxylin and mounted with DPX.
Note: All products are “FOR RESEARCH USE ONLY AND ARE NOT INTENDED FOR DIAGNOSTIC OR THERAPEUTIC USE”.