RIP3 Recombinant Rabbit Monoclonal Antibody [PSH04-78]
cat.: HA722182
Product Type: Recombinant Rabbit monoclonal IgG, primary antibodies
Species reactivity: Human
Applications: WB, IHC-P
Clonality: Monoclonal
Clone number: PSH04-78
Form: Liquid
Storage condition: Shipped at 4℃. Store at +4℃ short term (1-2 weeks). It is recommended to aliquot into single-use upon delivery. Store at -20℃ long term.
Storage buffer: PBS (pH7.4), 0.1% BSA, 40% Glycerol. Preservative: 0.05% Sodium Azide.
Concentration: 1ug/ul
Purification: Protein A affinity purified.
Molecular weight: Predicted band size: 57 kDa
Isotype: IgG
Immunogen: Synthetic peptide within human RIP3 aa 401-450 / 518.
Positive control: THP-1 cell lysate, HT-29 cell lysate, SK-Br-3 cell lysate, HT-29, human colon cancer tissue.
Subcellular location: Cytoplasm, cytosol, Nucleus.
Recommended Dilutions:
  WB
  IHC-P

1:2,000
1:2,000-1:5,000
Uniprot #: SwissProt: Q9Y572 Human
Alternative names: Receptor interacting protein 3 Receptor interacting serine threonine kinase 3 Receptor interacting serine/threonine protein kinase 3 Receptor-interacting protein 3 Receptor-interacting serine/threonine-protein kinase 3 RIP 3 RIP like protein kinase 3 RIP-3 RIP-like protein kinase 3 RIPK 3 RIPK3 RIPK3_HUMAN
Images
HA722182_1.jpg Fig1: Western blot analysis of RIP3 on different lysates with Rabbit anti-RIP3 antibody (HA722182) at 1/2,000 dilution.

Lane 1: THP-1 cell lysate (30 µg/Lane)
Lane 2: HT-29 cell lysate (30 µg/Lane)
Lane 3: SK-Br-3 cell lysate (30 µg/Lane)
Lane 4: HeLa cell lysate (negative) (30 µg/Lane)

Predicted band size: 57 kDa
Observed band size: 55 kDa

Exposure time: 1 minute; ECL: K1801;

4-20% SDS-PAGE gel.

Proteins were transferred to a PVDF membrane and blocked with 5% NFDM/TBST for 1 hour at room temperature. The primary antibody (HA722182) at 1/2,000 dilution was used in 5% NFDM/TBST at 4℃ overnight. Goat Anti-Rabbit IgG - HRP Secondary Antibody (HA1001) at 1/50,000 dilution was used for 1 hour at room temperature.
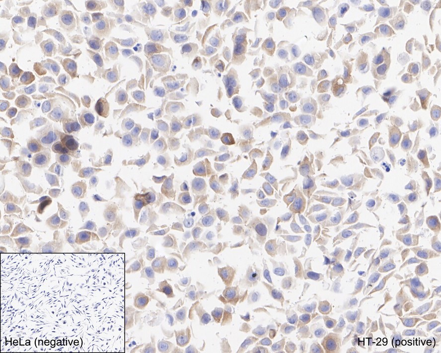
HA722182_2.jpg Fig2: Immunohistochemical analysis of paraffin-embedded HT-29 (positive) and HeLa (negative) cells with Rabbit anti-RIP3 antibody (HA722182) at 1/5,000 dilution.

The section was pre-treated using heat mediated antigen retrieval with Tris-EDTA buffer (pH 9.0) for 20 minutes. The tissues were blocked in 1% BSA for 20 minutes at room temperature, washed with ddH2O and PBS, and then probed with the primary antibody (HA722182) at 1/5,000 dilution for 1 hour at room temperature. The detection was performed using an HRP conjugated compact polymer system. DAB was used as the chromogen. Tissues were counterstained with hematoxylin and mounted with DPX.
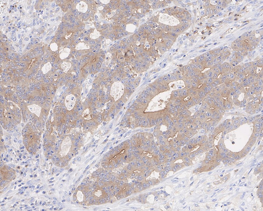
HA722182_3.jpg Fig3: Immunohistochemical analysis of paraffin-embedded human colon cancer tissue with Rabbit anti-RIP3 antibody (HA722182) at 1/2,000 dilution.

The section was pre-treated using heat mediated antigen retrieval with Tris-EDTA buffer (pH 9.0) for 20 minutes. The tissues were blocked in 1% BSA for 20 minutes at room temperature, washed with ddH2O and PBS, and then probed with the primary antibody (HA722182) at 1/2,000 dilution for 1 hour at room temperature. The detection was performed using an HRP conjugated compact polymer system. DAB was used as the chromogen. Tissues were counterstained with hematoxylin and mounted with DPX.
Note: All products are “FOR RESEARCH USE ONLY AND ARE NOT INTENDED FOR DIAGNOSTIC OR THERAPEUTIC USE”.