KIFC1 Recombinant Rabbit Monoclonal Antibody [JE00-46]
cat.: HA722197
Product Type: Recombinant Rabbit monoclonal IgG, primary antibodies
Species reactivity: Human
Applications: WB, IF-Cell, IHC-P, FC
Clonality: Monoclonal
Clone number: JE00-46
Form: Liquid
Storage condition: Shipped at 4℃. Store at +4℃ short term (1-2 weeks). It is recommended to aliquot into single-use upon delivery. Store at -20℃ long term.
Storage buffer: 1*TBS (pH7.4), 0.05% BSA, 40% Glycerol. Preservative: 0.05% Sodium Azide.
Concentration: 1ug/ul
Purification: Protein A affinity purified.
Molecular weight: Predicted band size: 74 kDa
Isotype: IgG
Immunogen: Synthetic peptide within Human KIFC1 aa 1-100.
Positive control: Jurkat cell lysate, HT-29 cell lysate, HeLa cell lysate, MCF7 cell lysate, Jurkat, human testis tissue, human stomach tissue, human stomach cancer tissue.
Subcellular location: Nucleus, Cytoplasm, cytoskeleton, microtubule organizing center, centrosome, spindle, Early endosome.
Recommended Dilutions:
  WB
  IF-Cell
  IHC-P
  FC

1:1,000
1:100
1:200-1:1,000
1:1,000
Uniprot #: SwissProt: Q9BW19 Human
Alternative names: HSET HSET KNSL2 KIF C1 KIFC 1 KIFC1 KIFC1_HUMAN Kinesin family member C1 Kinesin like 2 Kinesin like protein 2 Kinesin like protein KIFC1 Kinesin related protein HSET Kinesin-like protein 2 Kinesin-like protein KIFC1 Kinesin-related protein HSET KNSL 2 KNSL2 MGC1202 MGC149736 MGC149737 Mitotic kinesin like protein 2 MKLP 2 MKLP2 RAB6 KIFL Rabkinesin 6
Images
HA722197_1.jpg Fig1: Western blot analysis of KIFC1 on different lysates with Rabbit anti-KIFC1 antibody (HA722197) at 1/1,000 dilution.

Lane 1: Jurkat cell lysate
Lane 2: HT-29 cell lysate
Lane 3: HeLa cell lysate
Lane 4: MCF7 cell lysate

Lysates/proteins at 20 µg/Lane.

Predicted band size: 74 kDa
Observed band size: 70 kDa

Exposure time: 43 seconds; ECL: K1802;

4-20% SDS-PAGE gel.

Proteins were transferred to a PVDF membrane and blocked with 5% NFDM/TBST for 1 hour at room temperature. The primary antibody (HA722197) at 1/1,000 dilution was used in 5% NFDM/TBST at 4℃ overnight. Goat Anti-Rabbit IgG - HRP Secondary Antibody (HA1001) at 1/50,000 dilution was used for 1 hour at room temperature.
HA722197_2.jpg Fig2: Immunocytochemistry analysis of Jurkat cells labeling KIFC1 with Rabbit anti-KIFC1 antibody (HA722197) at 1/100 dilution.

Cells were fixed in 4% paraformaldehyde for 20 minutes at room temperature, permeabilized with 0.1% Triton X-100 in PBS for 5 minutes at room temperature, then blocked with 1% BSA in 10% negative goat serum for 1 hour at room temperature. Cells were then incubated with Rabbit anti-KIFC1 antibody (HA722197) at 1/100 dilution in 1% BSA in PBST overnight at 4 ℃. Goat Anti-Rabbit IgG H&L (iFluor™ 488, HA1121) was used as the secondary antibody at 1/1,000 dilution. PBS instead of the primary antibody was used as the secondary antibody only control. Nuclear DNA was labelled in blue with DAPI.

Beta tubulin (M1305-2, red) was stained at 1/100 dilution overnight at +4℃. Goat Anti-Mouse IgG H&L (iFluor™ 594, HA1126) was used as the secondary antibody at 1/1,000 dilution.
HA722197_3.jpg Fig3: Immunohistochemical analysis of paraffin-embedded human testis tissue with Rabbit anti-KIFC1 antibody (HA722197) at 1/1,000 dilution.

The section was pre-treated using heat mediated antigen retrieval with sodium citrate buffer (pH 6.0) for 2 minutes. The tissues were blocked in 1% BSA for 20 minutes at room temperature, washed with ddH2O and PBS, and then probed with the primary antibody (HA722197) at 1/1,000 dilution for 1 hour at room temperature. The detection was performed using an HRP conjugated compact polymer system. DAB was used as the chromogen. Tissues were counterstained with hematoxylin and mounted with DPX.
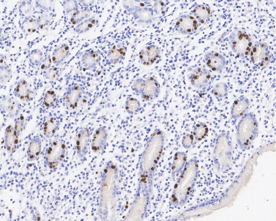
HA722197_4.jpg Fig4: Immunohistochemical analysis of paraffin-embedded human stomach tissue with Rabbit anti-KIFC1 antibody (HA722197) at 1/1,000 dilution.

The section was pre-treated using heat mediated antigen retrieval with sodium citrate buffer (pH 6.0) for 2 minutes. The tissues were blocked in 1% BSA for 20 minutes at room temperature, washed with ddH2O and PBS, and then probed with the primary antibody (HA722197) at 1/1,000 dilution for 1 hour at room temperature. The detection was performed using an HRP conjugated compact polymer system. DAB was used as the chromogen. Tissues were counterstained with hematoxylin and mounted with DPX.
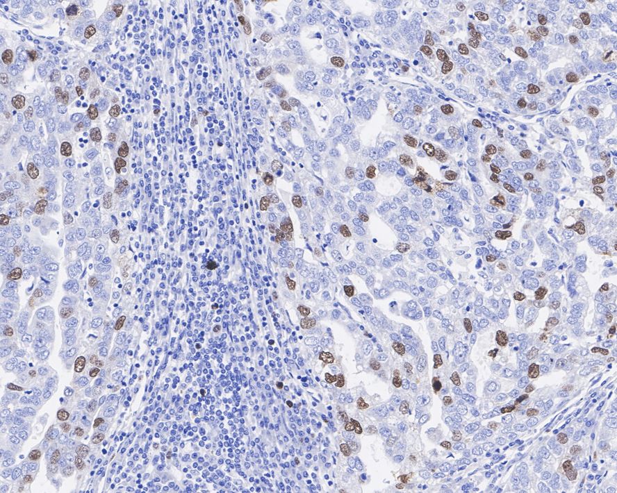
HA722197_5.jpg Fig5: Immunohistochemical analysis of paraffin-embedded human stomach cancer tissue with Rabbit anti-KIFC1 antibody (HA722197) at 1/200 dilution.

The section was pre-treated using heat mediated antigen retrieval with sodium citrate buffer (pH 6.0) for 2 minutes. The tissues were blocked in 1% BSA for 20 minutes at room temperature, washed with ddH2O and PBS, and then probed with the primary antibody (HA722197) at 1/200 dilution for 1 hour at room temperature. The detection was performed using an HRP conjugated compact polymer system. DAB was used as the chromogen. Tissues were counterstained with hematoxylin and mounted with DPX.
HA722197_6.jpg Fig6: Flow cytometric analysis of Jurkat cells labeling KIFC1.

Cells were fixed and permeabilized. Then stained with the primary antibody (HA722197, 1μg/mL) (red) compared with Rabbit IgG Isotype Control (green). After incubation of the primary antibody at +4℃ for an hour, the cells were stained with a iFluor™ 488 conjugate-Goat anti-Rabbit IgG Secondary antibody (HA1121) at 1/1,000 dilution for 30 minutes at +4℃. Unlabelled sample was used as a control (cells without incubation with primary antibody; black).
Note: All products are “FOR RESEARCH USE ONLY AND ARE NOT INTENDED FOR DIAGNOSTIC OR THERAPEUTIC USE”.