TFPI Recombinant Rabbit Monoclonal Antibody [JE40-58]
cat.: HA722199
Product Type: Recombinant Rabbit monoclonal IgG, primary antibodies
Species reactivity: Human
Applications: WB, IHC-P, IP
Clonality: Monoclonal
Clone number: JE40-58
Form: Liquid
Storage condition: Shipped at 4℃. Store at +4℃ short term (1-2 weeks). It is recommended to aliquot into single-use upon delivery. Store at -20℃ long term.
Storage buffer: 1*TBS (pH7.4), 0.05% BSA, 40% Glycerol. Preservative: 0.05% Sodium Azide.
Concentration: 1ug/ul
Purification: Protein A affinity purified.
Molecular weight: Predicted band size: 35 kDa
Isotype: IgG
Immunogen: Synthetic peptide within Human TFPI aa 250-304.
Positive control: HepG2 cell lysate, HUVEC cell lysate, EA.hy926 cell lysate, human placenta tissue.
Subcellular location: Secreted, Microsome membrane.
Recommended Dilutions:
  WB
  IHC-P
  IP

1:1,000
1:200
1-2μg/sample
Uniprot #: SwissProt: P10646 Human
Alternative names: Anti convertin EPI Extrinsic pathway inhibitor LACI Lipoprotein associated coagulation inhibitor Lipoprotein-associated coagulation inhibitor TFI TFPI 1 TFPI TFPI1 TFPI1_HUMAN Tissue factor pathway inhibitor (lipoprotein associated coagulation inhibitor) Tissue factor pathway inhibitor
Images
HA722199_1.jpg Fig1: Western blot analysis of TFPI on different lysates with Rabbit anti-TFPI antibody (HA722199) at 1/1,000 dilution.

Lane 1: HepG2 cell lysate
Lane 2: LoVo cell lysate (negative)
Lane 3: HUVEC cell lysate
Lane 4: EA.hy926 cell lysate

Lysates/proteins at 20 µg/Lane.

Predicted band size: 35 kDa
Observed band size: 35-45 kDa

Exposure time: 59 seconds; ECL: K1801;

4-20% SDS-PAGE gel.

Proteins were transferred to a PVDF membrane and blocked with 5% NFDM/TBST for 1 hour at room temperature. The primary antibody (HA722199) at 1/1,000 dilution was used in 5% NFDM/TBST at 4℃ overnight. Goat Anti-Rabbit IgG - HRP Secondary Antibody (HA1001) at 1/50,000 dilution was used for 1 hour at room temperature.
HA722199_2.jpg Fig2: TFPI was immunoprecipitated from 0.2 mg HepG2 cell lysate with HA722199 at 2 µg/25 µl agarose. Western blot was performed from the immunoprecipitate using HA722199 at 1/1,000 dilution. Anti-Rabbit IgG for IP Nano-secondary antibody (NBI01H) at 1/5,000 dilution was used for 1 hour at room temperature.

Lane 1: HepG2 cell lysate (input)
Lane 2: HA722199 IP in HepG2 cell lysate
Lane 3: Rabbit IgG instead of HA722199 in HepG2 cell lysate

Blocking/Dilution buffer: 5% NFDM/TBST
Exposure time: 52 seconds; ECL: K1802
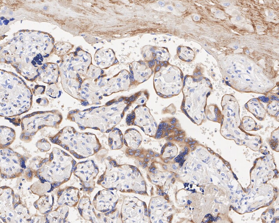
HA722199_3.jpg Fig3: Immunohistochemical analysis of paraffin-embedded human placenta tissue with Rabbit anti-TFPI antibody (HA722199) at 1/200 dilution.

The section was pre-treated using heat mediated antigen retrieval with Tris-EDTA buffer (pH 9.0) for 20 minutes. The tissues were blocked in 1% BSA for 20 minutes at room temperature, washed with ddH2O and PBS, and then probed with the primary antibody (HA722199) at 1/200 dilution for 1 hour at room temperature. The detection was performed using an HRP conjugated compact polymer system. DAB was used as the chromogen. Tissues were counterstained with hematoxylin and mounted with DPX.
Note: All products are “FOR RESEARCH USE ONLY AND ARE NOT INTENDED FOR DIAGNOSTIC OR THERAPEUTIC USE”.