GGT1 Recombinant Rabbit Monoclonal Antibody [JE38-79]
cat.: HA722214
Product Type: Recombinant Rabbit monoclonal IgG, primary antibodies
Species reactivity: Human
Applications: WB, IHC-P
Clonality: Monoclonal
Clone number: JE38-79
Form: Liquid
Storage condition: Shipped at 4℃. Store at +4℃ short term (1-2 weeks). It is recommended to aliquot into single-use upon delivery. Store at -20℃ long term.
Storage buffer: 1*TBS (pH7.4), 0.05% BSA, 40% Glycerol. Preservative: 0.05% Sodium Azide.
Concentration: 1ug/ul
Purification: Protein A affinity purified.
Molecular weight: Predicted band size: 61 kDa
Isotype: IgG
Immunogen: Recombinant protein within Human GGT1 aa 1-100 / 569.
Positive control: HepG2 cell lysate, A549 cell lysate, human liver tissue lysate, human kidney tissue lysate, human kidney tissue.
Subcellular location: Cell membrane.
Recommended Dilutions:
  WB
  IHC-P

1:1,000
1:1,000
Uniprot #: SwissProt: P19440 Human
Alternative names: CD224 D22S672 D22S732 Gamma glutamyl transpeptidase Gamma glutamyltransferase 1 Gamma glutamyltranspeptidase 1 Gamma-glutamyltransferase 1 Gamma-glutamyltranspeptidase 1 light chain GGT 1 GGT GGT1 GGT1_HUMAN Glutamyl transpeptidase Glutathione hydrolase 1 GTG Leukotriene C4 hydrolase MGC96892 MGC96904 MGC96963 OTTHUMP00000028921 OTTHUMP00000197959
Images
HA722214_1.jpg Fig1: Western blot analysis of GGT1 on different lysates with Rabbit anti-GGT1 antibody (HA722214) at 1/1,000 dilution.

Lane 1: HepG2 cell lysate (20 µg/Lane)
Lane 2: A549 cell lysate (20 µg/Lane)
Lane 3: Human liver tissue lysate (40 µg/Lane)
Lane 4: Human kidney tissue lysate (40 µg/Lane)

Predicted band size: 61 kDa
Observed band size: 60-70 kDa

Exposure time: 1 minute; ECL: K1801;

4-20% SDS-PAGE gel.

Proteins were transferred to a PVDF membrane and blocked with 5% NFDM/TBST for 1 hour at room temperature. The primary antibody (HA722214) at 1/1,000 dilution was used in antibody diluent at 4℃ overnight. Goat Anti-Rabbit IgG - HRP Secondary Antibody (HA1001) at 1/50,000 dilution was used for 1 hour at room temperature.
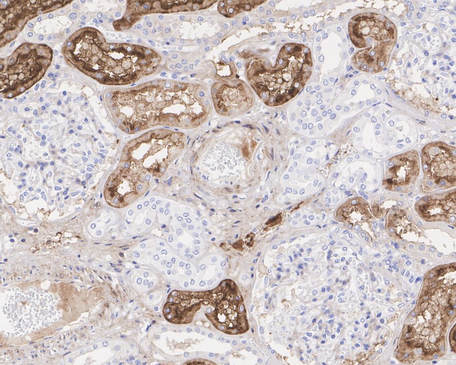
HA722214_2.jpg Fig2: Immunohistochemical analysis of paraffin-embedded human kidney tissue with Rabbit anti-GGT1 antibody (HA722214) at 1/1,000 dilution.

The section was pre-treated using heat mediated antigen retrieval with Tris-EDTA buffer (pH 9.0) for 20 minutes. The tissues were blocked in 1% BSA for 20 minutes at room temperature, washed with ddH2O and PBS, and then probed with the primary antibody (HA722214) at 1/1,000 dilution for 1 hour at room temperature. The detection was performed using an HRP conjugated compact polymer system. DAB was used as the chromogen. Tissues were counterstained with hematoxylin and mounted with DPX.
Note: All products are “FOR RESEARCH USE ONLY AND ARE NOT INTENDED FOR DIAGNOSTIC OR THERAPEUTIC USE”.