Wee1 Recombinant Rabbit Monoclonal Antibody [PSH05-11]
cat.: HA722227
Product Type: Recombinant Rabbit monoclonal IgG, primary antibodies
Species reactivity: Human, Monkey
Applications: WB, IHC-P
Clonality: Monoclonal
Clone number: PSH05-11
Form: Liquid
Storage condition: Shipped at 4℃. Store at +4℃ short term (1-2 weeks). It is recommended to aliquot into single-use upon delivery. Store at -20℃ long term.
Storage buffer: PBS (pH7.4), 0.1% BSA, 40% Glycerol. Preservative: 0.05% Sodium Azide.
Concentration: 1ug/ul
Purification: Protein A affinity purified.
Molecular weight: Predicted band size: 72 kDa
Isotype: IgG
Immunogen: Recombinant protein within human Wee1 aa 251-600 / 646.
Positive control: HeLa cell lysate, Raji cell lysate, 293T cell lysate, HT-29 cell lysate, Jurkat cell lysate, COS-1 cell lysate, human testis tissue.
Subcellular location: Nucleus.
Recommended Dilutions:
  WB
  IHC-P

1:2,000
1:200
Uniprot #: SwissProt: P30291 Human
Alternative names: DKFZp686I18166 EC 2.7.10.2 FLJ16446 MGC105683 OTTHUMP00000231338 OTTHUMP00000231339 Wee 1 WEE 1 homolog 1 (S. pombe) WEE1 WEE1 homolog (S. pombe) Wee1 homolog WEE1 homolog S. pombe Wee1 like protein kinase Wee1 tyrosine kinase Wee1+ homolog Wee1+ S. pombe homolog WEE1, S. pombe, homolog of WEE1, somatic Wee1-like protein kinase WEE1_HUMAN WEE1A Wee1A kinase WEE1hu
Images
HA722227_1.jpg Fig1: Western blot analysis of Wee1 on different lysates with Rabbit anti-Wee1 antibody (HA722227) at 1/2,000 dilution.

Lane 1: HeLa cell lysate
Lane 2: Raji cell lysate
Lane 3: 293T cell lysate
Lane 4: HT-29 cell lysate
Lane 5: Jurkat cell lysate
Lane 6: COS-1 cell lysate

Lysates/proteins at 30 µg/Lane.

Predicted band size: 72 kDa
Observed band size: 90 kDa

Exposure time: 43 seconds; ECL: K1802;

4-20% SDS-PAGE gel.

Proteins were transferred to a PVDF membrane and blocked with 5% NFDM/TBST for 1 hour at room temperature. The primary antibody (HA722227) at 1/2,000 dilution was used in 5% NFDM/TBST at 4℃ overnight. Goat Anti-Rabbit IgG - HRP Secondary Antibody (HA1001) at 1/50,000 dilution was used for 1 hour at room temperature.
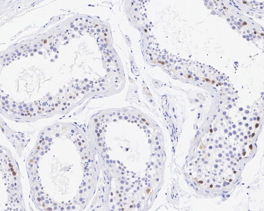
HA722227_2.jpg Fig2: Immunohistochemical analysis of paraffin-embedded human testis tissue with Rabbit anti-Wee1 antibody (HA722227) at 1/200 dilution.

The section was pre-treated using heat mediated antigen retrieval with sodium citrate buffer (pH 6.0) for 2 minutes. The tissues were blocked in 1% BSA for 20 minutes at room temperature, washed with ddH2O and PBS, and then probed with the primary antibody (HA722227) at 1/200 dilution for 1 hour at room temperature. The detection was performed using an HRP conjugated compact polymer system. DAB was used as the chromogen. Tissues were counterstained with hematoxylin and mounted with DPX.
Note: All products are “FOR RESEARCH USE ONLY AND ARE NOT INTENDED FOR DIAGNOSTIC OR THERAPEUTIC USE”.