CAPG Recombinant Rabbit Monoclonal Antibody [JE34-75]
cat.: HA722236
Product Type: Recombinant Rabbit monoclonal IgG, primary antibodies
Species reactivity: Human, Mouse, Rat
Applications: WB, IF-Cell, IHC-P
Clonality: Monoclonal
Clone number: JE34-75
Form: Liquid
Storage condition: Shipped at 4℃. Store at +4℃ short term (1-2 weeks). It is recommended to aliquot into single-use upon delivery. Store at -20℃ long term.
Storage buffer: 1*TBS (pH7.4), 0.05% BSA, 40% Glycerol. Preservative: 0.05% Sodium Azide.
Concentration: 1ug/ul
Purification: Protein A affinity purified.
Molecular weight: Predicted band size: 38 kDa
Isotype: IgG
Immunogen: Recombinant protein within Human CAPG aa 1-200 / 348.
Positive control: HeLa cell lysate, HL-60 cell lysate, U-937 cell lysate, NIH/3T3 cell lysate, mouse lung tissue lysate, rat lung tissue lysate, HeLa, human tonsil tissue, human lung tissue, mouse lung tissue, rat lung tissue.
Subcellular location: Nucleus, Cytoplasm, Melanosome, Cell projection, lamellipodium, ruffle.
Recommended Dilutions:
  WB
  IF-Cell
  IHC-P

1:1,000
1:100
1:5,000-1:10,000
Uniprot #: SwissProt: P40121 Human | P24452 Mouse | Q6AYC4 Rat
Alternative names: Actin capping protein GCAP39 Actin regulatory protein CAP G Actin regulatory protein CAP-G AFCP Capg CAPG_HUMAN Capping actin protein gelsolin like Capping protein (actin filament) gelsolin like Capping protein gelsolin like Epididymis secretory protein Li 66 gCap39 Gelsolin like capping protein HEL S 66 Macrophage capping protein Macrophage-capping protein mbh1 MCP Myc basic motif homolog 1
Images
HA722236_1.jpg Fig1: Western blot analysis of CAPG on different lysates with Rabbit anti-CAPG antibody (HA722236) at 1/1,000 dilution.

Lane 1: HeLa cell lysate (20 µg/Lane)
Lane 2: HL-60 cell lysate (20 µg/Lane)
Lane 3: U-937 cell lysate (20 µg/Lane)
Lane 4: NIH/3T3 cell lysate (20 µg/Lane)
Lane 5: Mouse lung tissue lysate (40 µg/Lane)
Lane 6: Rat lung tissue lysate (40 µg/Lane)

Predicted band size: 38 kDa
Observed band size: 38 kDa

Exposure time: 10 seconds; ECL: K1801;

4-20% SDS-PAGE gel.

Proteins were transferred to a PVDF membrane and blocked with 5% NFDM/TBST for 1 hour at room temperature. The primary antibody (HA722236) at 1/1,000 dilution was used in 5% NFDM/TBST at 4℃ overnight. Goat Anti-Rabbit IgG - HRP Secondary Antibody (HA1001) at 1/50,000 dilution was used for 1 hour at room temperature.
HA722236_2.jpg Fig2: Immunocytochemistry analysis of HeLa cells labeling CAPG with Rabbit anti-CAPG antibody (HA722236) at 1/100 dilution.

Cells were fixed in 4% paraformaldehyde for 20 minutes at room temperature, permeabilized with 0.1% Triton X-100 in PBS for 5 minutes at room temperature, then blocked with 1% BSA in 10% negative goat serum for 1 hour at room temperature. Cells were then incubated with Rabbit anti-CAPG antibody (HA722236) at 1/100 dilution in 1% BSA in PBST overnight at 4 ℃. Goat Anti-Rabbit IgG H&L (iFluor™ 488, HA1121) was used as the secondary antibody at 1/1,000 dilution. PBS instead of the primary antibody was used as the secondary antibody only control. Nuclear DNA was labelled in blue with DAPI.

Beta tubulin (HA601187, red) was stained at 1/100 dilution overnight at +4℃. Goat Anti-Mouse IgG H&L (iFluor™ 594, HA1126) was used as the secondary antibody at 1/1,000 dilution.
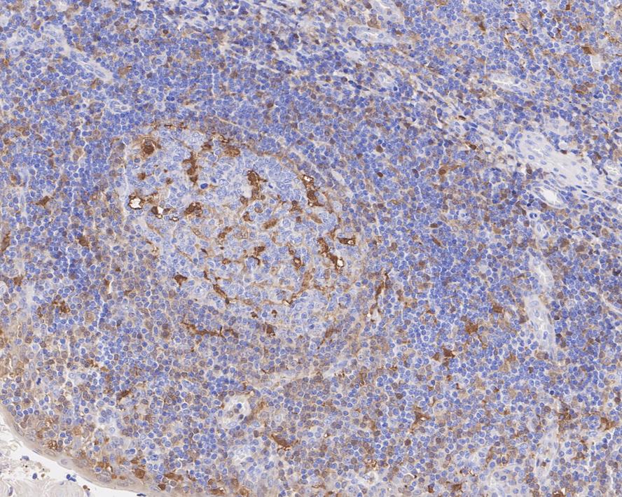
HA722236_3.jpg Fig3: Immunohistochemical analysis of paraffin-embedded human tonsil tissue with Rabbit anti-CAPG antibody (HA722236) at 1/5,000 dilution.

The section was pre-treated using heat mediated antigen retrieval with sodium citrate buffer (pH 6.0) for 2 minutes. The tissues were blocked in 1% BSA for 20 minutes at room temperature, washed with ddH2O and PBS, and then probed with the primary antibody (HA722236) at 1/5,000 dilution for 1 hour at room temperature. The detection was performed using an HRP conjugated compact polymer system. DAB was used as the chromogen. Tissues were counterstained with hematoxylin and mounted with DPX.
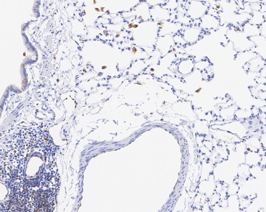
HA722236_4.jpg Fig4: Immunohistochemical analysis of paraffin-embedded human lung tissue with Rabbit anti-CAPG antibody (HA722236) at 1/10,000 dilution.

The section was pre-treated using heat mediated antigen retrieval with sodium citrate buffer (pH 6.0) for 2 minutes. The tissues were blocked in 1% BSA for 20 minutes at room temperature, washed with ddH2O and PBS, and then probed with the primary antibody (HA722236) at 1/10,000 dilution for 1 hour at room temperature. The detection was performed using an HRP conjugated compact polymer system. DAB was used as the chromogen. Tissues were counterstained with hematoxylin and mounted with DPX.
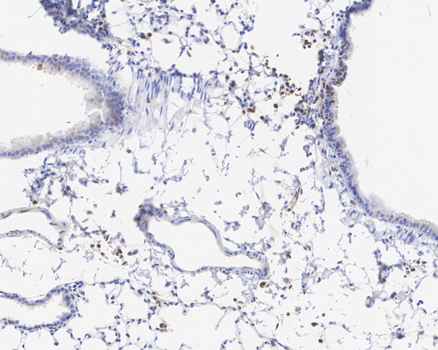
HA722236_5.jpg Fig5: Immunohistochemical analysis of paraffin-embedded mouse lung tissue with Rabbit anti-CAPG antibody (HA722236) at 1/5,000 dilution.

The section was pre-treated using heat mediated antigen retrieval with sodium citrate buffer (pH 6.0) for 2 minutes. The tissues were blocked in 1% BSA for 20 minutes at room temperature, washed with ddH2O and PBS, and then probed with the primary antibody (HA722236) at 1/5,000 dilution for 1 hour at room temperature. The detection was performed using an HRP conjugated compact polymer system. DAB was used as the chromogen. Tissues were counterstained with hematoxylin and mounted with DPX.
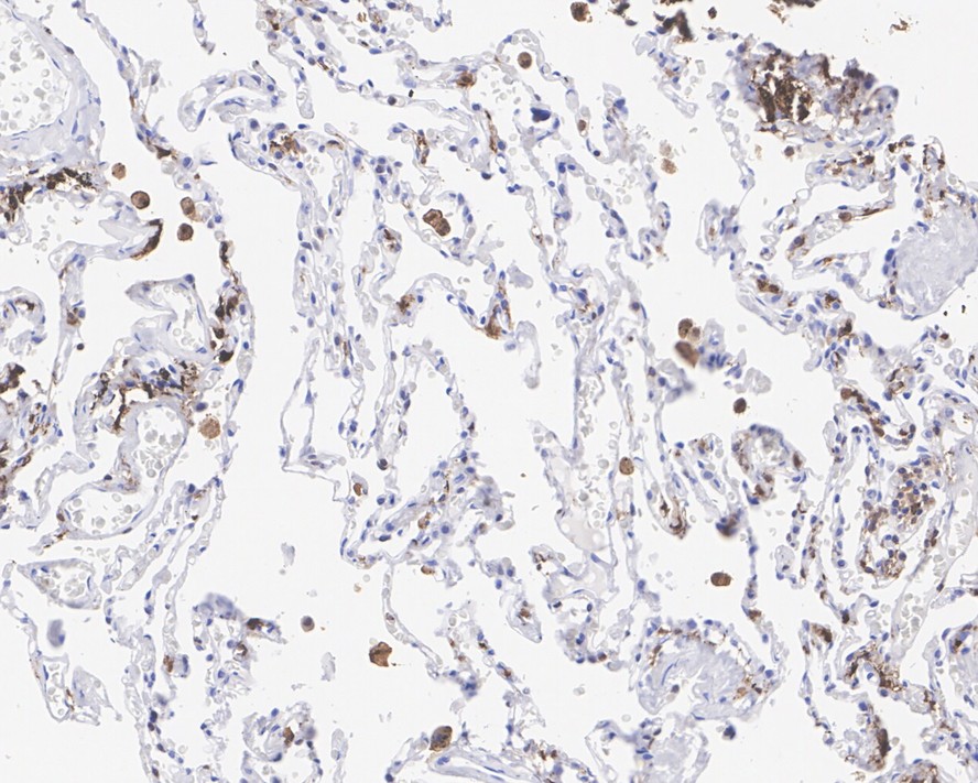
HA722236_6.jpg Fig6: Immunohistochemical analysis of paraffin-embedded rat lung tissue with Rabbit anti-CAPG antibody (HA722236) at 1/5,000 dilution.

The section was pre-treated using heat mediated antigen retrieval with sodium citrate buffer (pH 6.0) for 2 minutes. The tissues were blocked in 1% BSA for 20 minutes at room temperature, washed with ddH2O and PBS, and then probed with the primary antibody (HA722236) at 1/5,000 dilution for 1 hour at room temperature. The detection was performed using an HRP conjugated compact polymer system. DAB was used as the chromogen. Tissues were counterstained with hematoxylin and mounted with DPX.
Note: All products are “FOR RESEARCH USE ONLY AND ARE NOT INTENDED FOR DIAGNOSTIC OR THERAPEUTIC USE”.