TOMM22 Recombinant Rabbit Monoclonal Antibody [JE34-95]
cat.: HA722237
Product Type: Recombinant Rabbit monoclonal IgG, primary antibodies
Species reactivity: Human
Applications: WB, IF-Cell, IHC-P, FC, IP, IF-Tissue
Clonality: Monoclonal
Clone number: JE34-95
Form: Liquid
Storage condition: Shipped at 4℃. Store at +4℃ short term (1-2 weeks). It is recommended to aliquot into single-use upon delivery. Store at -20℃ long term.
Storage buffer: 1*TBS (pH7.4), 0.05% BSA, 40% Glycerol. Preservative: 0.05% Sodium Azide.
Concentration: 1ug/ul
Purification: Protein A affinity purified.
Molecular weight: Predicted band size: 16 kDa
Isotype: IgG
Immunogen: Synthetic peptide within Human TOMM22/TOM22 aa 1-100.
Positive control: HeLa cell lysate, K-562 cell lysate, Raji cell lysate, HepG2 cell lysate, A431 cell lysate, Jurkat cell lysate, HeLa, human kidney tissue, human liver tissue.
Subcellular location: Mitochondrion outer membrane.
Recommended Dilutions:
  WB
  IF-Cell
  IHC-P
  FC
  IP
  IF-Tissue

1:5,000
1:250
1:1,000
1:1,000
1-2μg/sample
1:200
Uniprot #: SwissProt: Q9NS69 Human
Alternative names: 1C9 2 hTom 22 hTom22 Mitochondrial import receptor subunit TOM 22 homolog Mitochondrial import receptor subunit TOM22 homolog Mitochondrial import receptor Tom 22 Mitochondrial import receptor Tom22 MST 065 MST065 MSTP 065 MSTP065 TOM 22 TOM22 TOMM 22 TOMM22 Translocase of outer membrane 22 kDa subunit homolog Translocase of outer mitochondrial membrane 22 homolog
Images
HA722237_1.jpg Fig1: Western blot analysis of TOMM22 on different lysates with Rabbit anti-TOMM22 antibody (HA722237) at 1/5,000 dilution.

Lane 1: HeLa cell lysate
Lane 2: K-562 cell lysate
Lane 3: Raji cell lysate
Lane 4: HepG2 cell lysate
Lane 5: A431 cell lysate
Lane 6: Jurkat cell lysate

Lysates/proteins at 15 µg/Lane.

Predicted band size: 16 kDa
Observed band size: 16 kDa

Exposure time: 2 seconds; ECL: K1801;

4-20% SDS-PAGE gel.

Proteins were transferred to a PVDF membrane and blocked with 5% NFDM/TBST for 1 hour at room temperature. The primary antibody (HA722237) at 1/5,000 dilution was used in 5% NFDM/TBST at 4℃ overnight. Goat Anti-Rabbit IgG - HRP Secondary Antibody (HA1001) at 1/50,000 dilution was used for 1 hour at room temperature.
HA722237_2.jpg Fig2: TOMM22 was immunoprecipitated from 0.2 mg HeLa cell lysate with HA722237 at 2 µg/25 µl agarose. Western blot was performed from the immunoprecipitate using HA722237 at 1/1,000 dilution. Anti-Rabbit IgG for IP Nano-secondary antibody (NBI01H) at 1/5,000 dilution was used for 1 hour at room temperature.

Lane 1: HeLa cell lysate (input)
Lane 2: HA722237 IP in HeLa cell lysate
Lane 3: Rabbit IgG instead of HA722237 in HeLa cell lysate

Blocking/Dilution buffer: 5% NFDM/TBST
Exposure time: 20 seconds; ECL: K1801
HA722237_3.jpg Fig3: Immunocytochemistry analysis of HeLa cells labeling TOMM22 with Rabbit anti-TOMM22 antibody (HA722237) at 1/250 dilution.

Cells were fixed in 4% paraformaldehyde for 20 minutes at room temperature, permeabilized with 0.1% Triton X-100 in PBS for 5 minutes at room temperature, then blocked with 1% BSA in 10% negative goat serum for 1 hour at room temperature. Cells were then incubated with Rabbit anti-TOMM22 antibody (HA722237) at 1/250 dilution in 1% BSA in PBST overnight at 4 ℃. Goat Anti-Rabbit IgG H&L (iFluor™ 488, HA1121) was used as the secondary antibody at 1/1,000 dilution. PBS instead of the primary antibody was used as the secondary antibody only control. Counterstained with Mitotracker. Nuclear DNA was labelled in blue with DAPI.
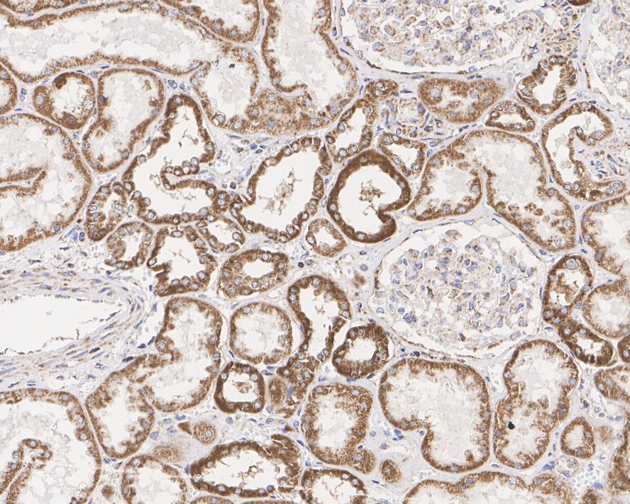
HA722237_4.jpg Fig4: Immunohistochemical analysis of paraffin-embedded human kidney tissue with Rabbit anti-TOMM22 antibody (HA722237) at 1/1,000 dilution.

The section was pre-treated using heat mediated antigen retrieval with Tris-EDTA buffer (pH 9.0) for 20 minutes. The tissues were blocked in 1% BSA for 20 minutes at room temperature, washed with ddH2O and PBS, and then probed with the primary antibody (HA722237) at 1/1,000 dilution for 1 hour at room temperature. The detection was performed using an HRP conjugated compact polymer system. DAB was used as the chromogen. Tissues were counterstained with hematoxylin and mounted with DPX.
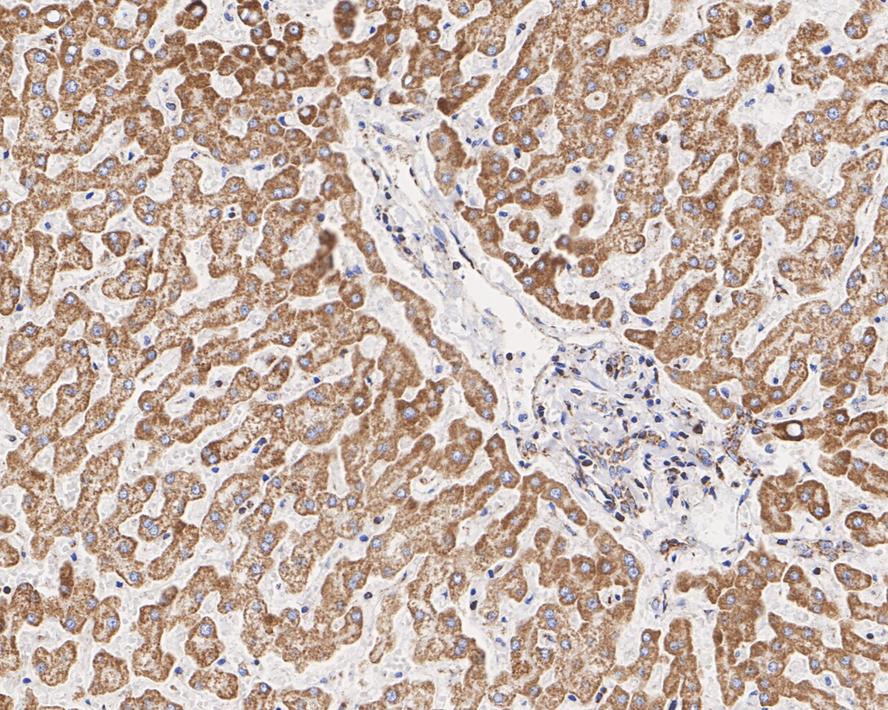
HA722237_5.jpg Fig5: Immunohistochemical analysis of paraffin-embedded human liver tissue with Rabbit anti-TOMM22 antibody (HA722237) at 1/1,000 dilution.

The section was pre-treated using heat mediated antigen retrieval with Tris-EDTA buffer (pH 9.0) for 20 minutes. The tissues were blocked in 1% BSA for 20 minutes at room temperature, washed with ddH2O and PBS, and then probed with the primary antibody (HA722237) at 1/1,000 dilution for 1 hour at room temperature. The detection was performed using an HRP conjugated compact polymer system. DAB was used as the chromogen. Tissues were counterstained with hematoxylin and mounted with DPX.
HA722237_6.jpg Fig6: Flow cytometric analysis of HeLa cells labeling TOMM22.

Cells were fixed and permeabilized. Then stained with the primary antibody (HA722237, 1μg/mL) (red) compared with Rabbit IgG Isotype Control (green). After incubation of the primary antibody at +4℃ for an hour, the cells were stained with a iFluor™ 488 conjugate-Goat anti-Rabbit IgG Secondary antibody (HA1121) at 1/1,000 dilution for 30 minutes at +4℃. Unlabelled sample was used as a control (cells without incubation with primary antibody; black).
Note: All products are “FOR RESEARCH USE ONLY AND ARE NOT INTENDED FOR DIAGNOSTIC OR THERAPEUTIC USE”.