Munc18-1 Recombinant Rabbit Monoclonal Antibody [JE38-54]
cat.: HA722250
Product Type: Recombinant Rabbit monoclonal IgG, primary antibodies
Species reactivity: Human, Mouse, Rat
Applications: WB, IHC-P, IF-Tissue
Clonality: Monoclonal
Clone number: JE38-54
Form: Liquid
Storage condition: Shipped at 4℃. Store at +4℃ short term (1-2 weeks). It is recommended to aliquot into single-use upon delivery. Store at -20℃ long term.
Storage buffer: 1*TBS (pH7.4), 0.05% BSA, 40% Glycerol. Preservative: 0.05% Sodium Azide.
Concentration: 1ug/ul
Purification: Protein A affinity purified.
Molecular weight: Predicted band size: 68 kDa
Isotype: IgG
Immunogen: Recombinant protein within Human Munc18-1 aa 401-500 / 594.
Positive control: SH-SY5Y cell lysate, SiHa cell lysate, HeLa cell lysate, Jurkat cell lysate, K-562 cell lysate, NIH/3T3 cell lysate, MEF cell lysate, C6 cell lysate, mouse brain tissue lysate, rat brain tissue lysate, human testis tissue, human brain tissue, mouse brain tissue, rat brain tissue.
Subcellular location: Cytoplasm, cytosol, Membrane.
Recommended Dilutions:
  WB
  IHC-P
  IF-Tissue

1:1,000-1:5,000
1:200-1:1,000
1:50-1:200
Uniprot #: SwissProt: P61764 Human | O08599 Mouse | P61765 Rat
Alternative names: FLJ37475 Munc 18 1 Munc 18a MUNC18 1 N-Sec1 Neuronal SEC1 NSec1 p67 Protein unc-18 homolog 1 Protein unc-18 homolog A Rb sec1 RBSEC1 STXB1_HUMAN STXBP1 Syntaxin binding protein 1 Syntaxin-binding protein 1 Unc 18 homolog Unc 18A Unc-18A Unc18 1 UNC18 Unc18-1
Images
HA722250_1.jpg Fig1: Western blot analysis of Munc18-1 on different lysates with Rabbit anti-Munc18-1 antibody (HA722250) at 1/1,000 dilution.

Lane 1: SH-SY5Y cell lysate
Lane 2: SiHa cell lysate
Lane 3: HeLa cell lysate
Lane 4: Jurkat cell lysate
Lane 5: K-562 cell lysate

Lysates/proteins at 20 µg/Lane.

Predicted band size: 68 kDa
Observed band size: 68 kDa

Exposure time: 10 seconds; ECL: K1801;
4-20% SDS-PAGE gel.

Proteins were transferred to a PVDF membrane and blocked with 5% NFDM/TBST for 1 hour at room temperature. The primary antibody (HA722250) at 1/1,000 dilution was used in 5% NFDM/TBST at 4℃ overnight. Goat Anti-Rabbit IgG - HRP Secondary Antibody (HA1001) at 1/50,000 dilution was used for 1 hour at room temperature.
HA722250_2.jpg Fig2: Western blot analysis of Munc18-1 on different lysates with Rabbit anti-Munc18-1 antibody (HA722250) at 1/5,000 dilution.

Lane 1: NIH/3T3 cell lysate
Lane 2: MEF cell lysate
Lane 3: C6 cell lysate
Lane 4: Mouse brain tissue lysate
Lane 5: Rat brain tissue lysate

Lysates/proteins at 20 µg/Lane.

Predicted band size: 68 kDa
Observed band size: 68 kDa

Exposure time: Lane 1-3: 20 seconds; Lane 4-5: 6 seconds; ECL: K1801;
4-20% SDS-PAGE gel.

Proteins were transferred to a PVDF membrane and blocked with 5% NFDM/TBST for 1 hour at room temperature. The primary antibody (HA722250) at 1/5,000 dilution was used in 5% NFDM/TBST at 4℃ overnight. Goat Anti-Rabbit IgG - HRP Secondary Antibody (HA1001) at 1/50,000 dilution was used for 1 hour at room temperature.
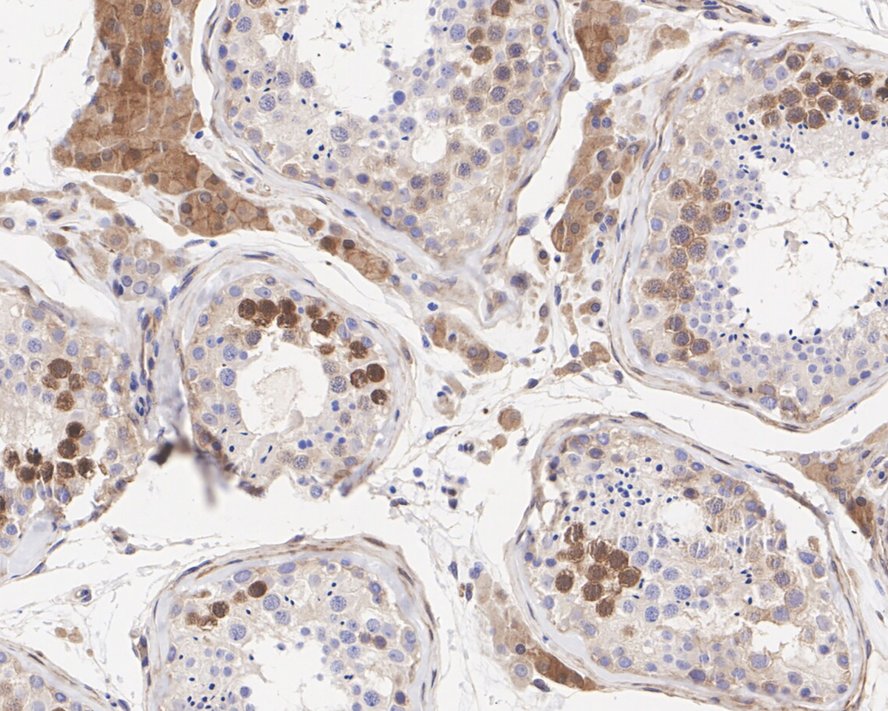
HA722250_3.jpg Fig3: Immunohistochemical analysis of paraffin-embedded human testis tissue with Rabbit anti-Munc18-1 antibody (HA722250) at 1/200 dilution.

The section was pre-treated using heat mediated antigen retrieval with Tris-EDTA buffer (pH 9.0) for 20 minutes. The tissues were blocked in 1% BSA for 20 minutes at room temperature, washed with ddH2O and PBS, and then probed with the primary antibody (HA722250) at 1/200 dilution for 1 hour at room temperature. The detection was performed using an HRP conjugated compact polymer system. DAB was used as the chromogen. Tissues were counterstained with hematoxylin and mounted with DPX.
HA722250_4.jpg Fig4: Immunohistochemical analysis of paraffin-embedded human brain tissue with Rabbit anti-Munc18-1 antibody (HA722250) at 1/1,000 dilution.

The section was pre-treated using heat mediated antigen retrieval with Tris-EDTA buffer (pH 9.0) for 20 minutes. The tissues were blocked in 1% BSA for 20 minutes at room temperature, washed with ddH2O and PBS, and then probed with the primary antibody (HA722250) at 1/1,000 dilution for 1 hour at room temperature. The detection was performed using an HRP conjugated compact polymer system. DAB was used as the chromogen. Tissues were counterstained with hematoxylin and mounted with DPX.
HA722250_5.jpg Fig5: Immunohistochemical analysis of paraffin-embedded mouse brain tissue with Rabbit anti-Munc18-1 antibody (HA722250) at 1/1,000 dilution.

The section was pre-treated using heat mediated antigen retrieval with Tris-EDTA buffer (pH 9.0) for 20 minutes. The tissues were blocked in 1% BSA for 20 minutes at room temperature, washed with ddH2O and PBS, and then probed with the primary antibody (HA722250) at 1/1,000 dilution for 1 hour at room temperature. The detection was performed using an HRP conjugated compact polymer system. DAB was used as the chromogen. Tissues were counterstained with hematoxylin and mounted with DPX.
HA722250_6.jpg Fig6: Immunohistochemical analysis of paraffin-embedded rat brain tissue with Rabbit anti-Munc18-1 antibody (HA722250) at 1/1,000 dilution.

The section was pre-treated using heat mediated antigen retrieval with Tris-EDTA buffer (pH 9.0) for 20 minutes. The tissues were blocked in 1% BSA for 20 minutes at room temperature, washed with ddH2O and PBS, and then probed with the primary antibody (HA722250) at 1/1,000 dilution for 1 hour at room temperature. The detection was performed using an HRP conjugated compact polymer system. DAB was used as the chromogen. Tissues were counterstained with hematoxylin and mounted with DPX.
Note: All products are “FOR RESEARCH USE ONLY AND ARE NOT INTENDED FOR DIAGNOSTIC OR THERAPEUTIC USE”.