SIRT3 Recombinant Rabbit Monoclonal Antibody [PSH05-22]
cat.: HA722251
Product Type: Recombinant Rabbit monoclonal IgG, primary antibodies
Species reactivity: Human, Mouse, Rat
Applications: WB, IHC-P, IF-Cell, FC, IF-Tissue, IP, ChIP
Clonality: Monoclonal
Clone number: PSH05-22
Form: Liquid
Storage condition: Shipped at 4℃. Store at +4℃ short term (1-2 weeks). It is recommended to aliquot into single-use upon delivery. Store at -20℃ long term.
Storage buffer: PBS (pH7.4), 0.1% BSA, 40% Glycerol. Preservative: 0.05% Sodium Azide.
Concentration: 1ug/ul
Purification: Protein A affinity purified.
Molecular weight: Predicted band size: 44 kDa
Isotype: IgG
Immunogen: Recombinant protein within human SIRT3 aa 51-399 / 399.
Positive control: PANC-1 cell lysate, HepG2 cell lysate, A549 cell lysate, SiHa cell lysate, mouse liver tissue lysate, mouse kidney tissue lysate, rat liver tissue lysate, human liver tissue, human colon tissue, HeLa cell lysate, HEK-293 cell lysate, SW480 cell lysate, HT-29 cell lysate, rat kidney tissue lysate, human kidney tissue, mouse liver tissue, rat liver tissue, HepG2, NIH/3T3.
Subcellular location: Mitochondrion matrix.
Recommended Dilutions:
  WB
  IHC-P
  IF-Cell
  FC
  IF-Tissue
  IP
  ChIP

1:2,000
1:1,000
1:100
1:1,000
1:200
1:2000
Use 0.5~2 μg for 25 μg of chromatin.
Uniprot #: SwissProt: Q9NTG7 Human | Q8R104 Mouse
Entrez Gene: 293615 Rat
Alternative names: hSIRT 3 hSIRT3 Mitochondrial nicotinamide adenine dinucleotide dependent deacetylase NAD dependent deacetylase sirtuin 3 mitochondrial NAD-dependent protein deacetylase sirtuin-3, mitochondrial Regulatory protein SIR2 homolog 3 Silent mating type information regulation 2 S.cerevisiae homolog 3 Sir 2 like 3 SIR 2 like protein 3 SIR 3 SIR2 L3 Sir2 like 3 SIR2 like protein 3 SIR2-like protein 3 SIR2L3 SIR3_HUMAN SIRT 3 SIRT3 Sirtuin 3 Sirtuin silent mating type information regulation 2 homolog 3 (S. cerevisiae) Sirtuin type 3 Sirtuin3
Images
HA722251_1.jpg Fig1: Western blot analysis of SIRT3 on different lysates with Rabbit anti-SIRT3 antibody (HA722251) at 1/2,000 dilution and competitor's antibody at 1/2,000 dilution.

Lane 1: PANC-1 cell lysate
Lane 2: HepG2 cell lysate
Lane 3: A549 cell lysate
Lane 4: SiHa cell lysate
Lane 5: Mouse liver tissue lysate
Lane 6: Mouse kidney tissue lysate
Lane 7: Rat liver tissue lysate

Lysates/proteins at 20 µg/Lane.

Predicted band size: 44 kDa
Observed band size: 28 kDa

Exposure time: 30 seconds; ECL: K1801;

4-20% SDS-PAGE gel.

Proteins were transferred to a PVDF membrane and blocked with 5% NFDM/TBST for 1 hour at room temperature. The primary antibody (HA722251) at 1/2,000 dilution and competitor's antibody at 1/2,000 dilution were used in 5% NFDM/TBST at 4℃ overnight. Goat Anti-Rabbit IgG - HRP Secondary Antibody (HA1001) at 1/50,000 dilution was used for 1 hour at room temperature.
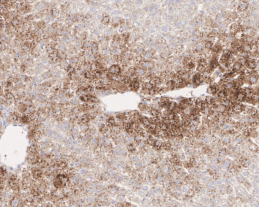
HA722251_2.jpg Fig2: Immunohistochemical analysis of paraffin-embedded human liver tissue with Rabbit anti-SIRT3 antibody (HA722251) at 1/1,000 dilution and competitor's antibody at 1/1,000 dilution.

The section was pre-treated using heat mediated antigen retrieval with Tris-EDTA buffer (pH 9.0) for 20 minutes. The tissues were blocked in 1% BSA for 20 minutes at room temperature, washed with ddH2O and PBS, and then probed with the primary antibody (HA722251) at 1/1,000 dilution and competitor's antibody at 1/1,000 dilution for 1 hour at room temperature. The detection was performed using an HRP conjugated compact polymer system. DAB was used as the chromogen. Tissues were counterstained with hematoxylin and mounted with DPX.
HA722251_3.jpg Fig3: Immunohistochemical analysis of paraffin-embedded human colon tissue with Rabbit anti-SIRT3 antibody (HA722251) at 1/1,000 dilution and competitor's antibody at 1/1,000 dilution.

The section was pre-treated using heat mediated antigen retrieval with Tris-EDTA buffer (pH 9.0) for 20 minutes. The tissues were blocked in 1% BSA for 20 minutes at room temperature, washed with ddH2O and PBS, and then probed with the primary antibody (HA722251) at 1/1,000 dilution and competitor's antibody at 1/1,000 dilution for 1 hour at room temperature. The detection was performed using an HRP conjugated compact polymer system. DAB was used as the chromogen. Tissues were counterstained with hematoxylin and mounted with DPX.
HA722251_4.jpg Fig4: Western blot analysis of SIRT3 on different lysates with Rabbit anti-SIRT3 antibody (HA722251) at 1/2,000 dilution.

Lane 1: HeLa cell lysate (20 µg/Lane)
Lane 2: HEK-293 cell lysate (20 µg/Lane)
Lane 3: PANC-1 cell lysate (20 µg/Lane)
Lane 4: HepG2 cell lysate (20 µg/Lane)
Lane 5: SW480 cell lysate (20 µg/Lane)
Lane 6: A549 cell lysate (20 µg/Lane)
Lane 7: HT-29 cell lysate (20 µg/Lane)
Lane 8: SiHa cell lysate (20 µg/Lane)
Lane 9: Mouse liver tissue lysate (40 µg/Lane)
Lane 10: Mouse kidney tissue lysate (40 µg/Lane)
Lane 11: Rat liver tissue lysate (40 µg/Lane)
Lane 12: Rat kidney tissue lysate (40 µg/Lane)

Predicted band size: 44 kDa
Observed band size: 28 kDa

Exposure time: 25 seconds; ECL: K1801;

4-20% SDS-PAGE gel.

Proteins were transferred to a PVDF membrane and blocked with 5% NFDM/TBST for 1 hour at room temperature. The primary antibody (HA722251) at 1/2,000 dilution was used in 5% NFDM/TBST at 4℃ overnight. Goat Anti-Rabbit IgG - HRP Secondary Antibody (HA1001) at 1/50,000 dilution was used for 1 hour at room temperature.
HA722251_5.jpg Fig5: Western blot analysis of SIRT3 on different lysates with Rabbit anti-SIRT3 antibody (HA722251) at 1/5,000 dilution.

Lane 1: HAP1-parental cell lysate
Lane 2: HAP1-SIRT3 KD cell lysate

Lysates/proteins at 10 µg/Lane.

Predicted band size: 44 kDa
Observed band size: 28 kDa

Exposure time: 2 minutes; ECL: K1801;

4-20% SDS-PAGE gel.

Proteins were transferred to a PVDF membrane and blocked with 5% NFDM/TBST for 1 hour at room temperature. The primary antibody (HA722251) at 1/5,000 dilution was used in primary antibody dilution (K1803) at 4℃ overnight. Goat Anti-Rabbit IgG - HRP Secondary Antibody (HA1001) at 1/50,000 dilution was used for 1 hour at room temperature.
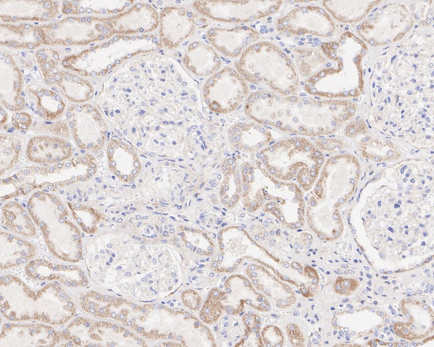
HA722251_6.jpg Fig6: Immunohistochemical analysis of paraffin-embedded human kidney tissue with Rabbit anti-SIRT3 antibody (HA722251) at 1/1,000 dilution.

The section was pre-treated using heat mediated antigen retrieval with Tris-EDTA buffer (pH 9.0) for 20 minutes. The tissues were blocked in 1% BSA for 20 minutes at room temperature, washed with ddH2O and PBS, and then probed with the primary antibody (HA722251) at 1/1,000 dilution for 1 hour at room temperature. The detection was performed using an HRP conjugated compact polymer system. DAB was used as the chromogen. Tissues were counterstained with hematoxylin and mounted with DPX.
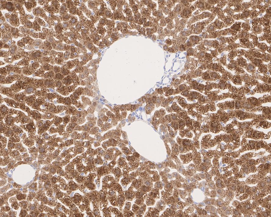
HA722251_7.jpg Fig7: Immunohistochemical analysis of paraffin-embedded mouse liver tissue with Rabbit anti-SIRT3 antibody (HA722251) at 1/1,000 dilution.

The section was pre-treated using heat mediated antigen retrieval with Tris-EDTA buffer (pH 9.0) for 20 minutes. The tissues were blocked in 1% BSA for 20 minutes at room temperature, washed with ddH2O and PBS, and then probed with the primary antibody (HA722251) at 1/1,000 dilution for 1 hour at room temperature. The detection was performed using an HRP conjugated compact polymer system. DAB was used as the chromogen. Tissues were counterstained with hematoxylin and mounted with DPX.
HA722251_8.jpg Fig8: Immunohistochemical analysis of paraffin-embedded rat liver tissue with Rabbit anti-SIRT3 antibody (HA722251) at 1/1,000 dilution.

The section was pre-treated using heat mediated antigen retrieval with Tris-EDTA buffer (pH 9.0) for 20 minutes. The tissues were blocked in 1% BSA for 20 minutes at room temperature, washed with ddH2O and PBS, and then probed with the primary antibody (HA722251) at 1/1,000 dilution for 1 hour at room temperature. The detection was performed using an HRP conjugated compact polymer system. DAB was used as the chromogen. Tissues were counterstained with hematoxylin and mounted with DPX.
HA722251_9.jpg Fig9: Immunocytochemistry analysis of HepG2 cells labeling SIRT3 with Rabbit anti-SIRT3 antibody (HA722251) at 1/100 dilution.

Cells were fixed in 4% paraformaldehyde for 20 minutes at room temperature, permeabilized with 0.1% Triton X-100 in PBS for 5 minutes at room temperature, then blocked with 1% BSA in 10% negative goat serum for 1 hour at room temperature. Cells were then incubated with Rabbit anti-SIRT3 antibody (HA722251) at 1/100 dilution in 1% BSA in PBST overnight at 4 ℃. Goat Anti-Rabbit IgG H&L (iFluor™ 488, HA1121) was used as the secondary antibody at 1/1,000 dilution. PBS instead of the primary antibody was used as the secondary antibody only control. Counterstained with Mitotracker (Red). Nuclear DNA was labelled in blue with DAPI.
HA722251_10.jpg Fig10: Flow cytometric analysis of HepG2 cells labeling SIRT3.

Cells were fixed and permeabilized. Then stained with the primary antibody (HA722251, 1μg/mL) (red) compared with Rabbit IgG Isotype Control (green). After incubation of the primary antibody at +4℃ for an hour, the cells were stained with a iFluor™ 488 conjugate-Goat anti-Rabbit IgG Secondary antibody (HA1121) at 1/1,000 dilution for 30 minutes at +4℃. Unlabelled sample was used as a control (cells without incubation with primary antibody; black).
HA722251_11.jpg Fig11: Flow cytometric analysis of NIH/3T3 cells labeling SIRT3.

Cells were fixed and permeabilized. Then stained with the primary antibody (HA722251, 1μg/mL) (red) compared with Rabbit IgG Isotype Control (green). After incubation of the primary antibody at +4℃ for an hour, the cells were stained with a iFluor™ 488 conjugate-Goat anti-Rabbit IgG Secondary antibody (HA1121) at 1/1,000 dilution for 30 minutes at +4℃. Unlabelled sample was used as a control (cells without incubation with primary antibody; black).
HA722251_12.jpg Fig12: SIRT3 was immunoprecipitated from 0.2 mg HepG2 cell lysate with HA722251 at 2 µg/25 µl agarose. Western blot was performed from the immunoprecipitate using HA722251 at 1/2,000 dilution. Anti-Rabbit IgG for IP Nano-secondary antibody (NBI01H) at 1/5,000 dilution was used for 1 hour at room temperature.

Lane 1: HepG2 cell lysate (input)
Lane 2: HA722251 IP in HepG2 cell lysate
Lane 3: Rabbit IgG instead of HA722251 in HepG2 cell lysate

Blocking/Dilution buffer: 5% NFDM/TBST
Exposure time: 1 minute 17 seconds; ECL: K1801
HA722251_13.jpg Fig13: Chromatin immunoprecipitations were performed with cross-linked chromatin from HeLa cells with SIRT3 (HA722251) or Normal Rabbit IgG according to the ChIP protocol. The enriched DNA was quantified by real-time PCR using indicated primers. The amount of immunoprecipitated DNA in each sample is represented as signal relative to the total amount of input chromatin, which is equivalent to one.
Note: All products are “FOR RESEARCH USE ONLY AND ARE NOT INTENDED FOR DIAGNOSTIC OR THERAPEUTIC USE”.