ADRM1 Recombinant Rabbit Monoclonal Antibody [PSH05-41]
cat.: HA722270
Product Type: Recombinant Rabbit monoclonal IgG, primary antibodies
Species reactivity: Human, Mouse, Rat, Monkey
Applications: WB, IF-Cell, FC, IP
Clonality: Monoclonal
Clone number: PSH05-41
Form: Liquid
Storage condition: Shipped at 4℃. Store at +4℃ short term (1-2 weeks). It is recommended to aliquot into single-use upon delivery. Store at -20℃ long term.
Storage buffer: PBS (pH7.4), 0.1% BSA, 40% Glycerol. Preservative: 0.05% Sodium Azide.
Concentration: 1ug/ul
Purification: Protein A affinity purified.
Molecular weight: Predicted band size: 42 kDa
Isotype: IgG
Immunogen: Recombinant protein within human ADRM1 aa 258-407 / 407.
Positive control: HEK-293 cell lysate, HeLa cell lysate, SK-MEL-28 cell lysate, MCF7 cell lysate, Ramos cell lysate, Raji cell lysate, K-562 cell lysate, U-2 OS cell lysate, SW620 cell lysate, COS-1 cell lysate, NIH/3T3 cell lysate, RAW264.7 cell lysate, PC-12 cell lysate, C6 cell lysate, SK-MEL-28, NIH/3T3, PC-12.
Subcellular location: Cytoplasm, Nucleus.
Recommended Dilutions:
  WB
  IF-Cell
  FC
  IP

1:2,000
1:500
1:1,000
1-2μg/sample
Uniprot #: SwissProt: Q16186 Human | Q9JKV1 Mouse | Q9JMB5 Rat
Alternative names: 110 kDa cell membrane glycoprotein adhesion regulating molecule 1 Adhesion-regulating molecule 1 ADRM 1 Adrm1 ADRM1_HUMAN ARM 1 ARM-1 ARM1 Gp110 hRpn13 M(r) 110,000 surface antigen Proteasomal ubiquitin receptor ADRM1 proteasome regulatory particle non ATPase 13 Proteasome regulatory particle non-ATPase 13 Regulatory particle non ATPase 13 Rpn13 Rpn13 homolog
Images
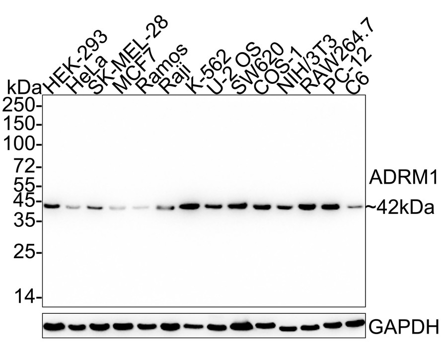
HA722270_1.jpg Fig1: Western blot analysis of ADRM1 on different lysates with Rabbit anti-ADRM1 antibody (HA722270) at 1/2,000 dilution.

Lane 1: HEK-293 cell lysate (20 µg/Lane)
Lane 2: HeLa cell lysate (20 µg/Lane)
Lane 3: SK-MEL-28 cell lysate (20 µg/Lane)
Lane 4: MCF7 cell lysate (20 µg/Lane)
Lane 5: Ramos cell lysate (20 µg/Lane)
Lane 6: Raji cell lysate (20 µg/Lane)
Lane 7: K-562 cell lysate (20 µg/Lane)
Lane 8: U-2 OS cell lysate (20 µg/Lane)
Lane 9: SW620 cell lysate (20 µg/Lane)
Lane 10: COS-1 cell lysate (20 µg/Lane)
Lane 11: NIH/3T3 cell lysate (20 µg/Lane)
Lane 12: RAW264.7 cell lysate (20 µg/Lane)
Lane 13: PC-12 cell lysate (20 µg/Lane)
Lane 14: C6 cell lysate (20 µg/Lane)

Predicted band size: 42 kDa
Observed band size: 42 kDa
Exposure time: 3 minutes; ECL: K1801;
4-20% SDS-PAGE gel.

Proteins were transferred to a PVDF membrane and blocked with 5% NFDM/TBST for 1 hour at room temperature. The primary antibody (HA722270) at 1/2,000 dilution was used in 5% NFDM/TBST at 4℃ overnight. Goat Anti-Rabbit IgG - HRP Secondary Antibody (HA1001) at 1/50,000 dilution was used for 1 hour at room temperature.
HA722270_2.jpg Fig2: Immunocytochemistry analysis of SK-MEL-28 cells labeling ADRM1 with Rabbit anti-ADRM1 antibody (HA722270) at 1/500 dilution.

Cells were fixed in 4% paraformaldehyde for 20 minutes at room temperature, permeabilized with 0.1% Triton X-100 in PBS for 5 minutes at room temperature, then blocked with 1% BSA in 10% negative goat serum for 1 hour at room temperature. Cells were then incubated with Rabbit anti-ADRM1 antibody (HA722270) at 1/500 dilution in 1% BSA in PBST overnight at 4 ℃. Goat Anti-Rabbit IgG H&L (iFluor™ 488, HA1121) was used as the secondary antibody at 1/1,000 dilution. PBS instead of the primary antibody was used as the secondary antibody only control. Nuclear DNA was labelled in blue with DAPI.

Beta tubulin (M1305-2, red) was stained at 1/100 dilution overnight at +4℃. Goat Anti-Mouse IgG H&L (iFluor™ 594, HA1126) was used as the secondary antibody at 1/1,000 dilution.
HA722270_3.jpg Fig3: Immunocytochemistry analysis of NIH/3T3 cells labeling ADRM1 with Rabbit anti-ADRM1 antibody (HA722270) at 1/500 dilution.

Cells were fixed in 4% paraformaldehyde for 20 minutes at room temperature, permeabilized with 0.1% Triton X-100 in PBS for 5 minutes at room temperature, then blocked with 1% BSA in 10% negative goat serum for 1 hour at room temperature. Cells were then incubated with Rabbit anti-ADRM1 antibody (HA722270) at 1/500 dilution in 1% BSA in PBST overnight at 4 ℃. Goat Anti-Rabbit IgG H&L (iFluor™ 488, HA1121) was used as the secondary antibody at 1/1,000 dilution. PBS instead of the primary antibody was used as the secondary antibody only control. Nuclear DNA was labelled in blue with DAPI.

Beta tubulin (M1305-2, red) was stained at 1/100 dilution overnight at +4℃. Goat Anti-Mouse IgG H&L (iFluor™ 594, HA1126) was used as the secondary antibody at 1/1,000 dilution.
HA722270_4.jpg Fig4: Immunocytochemistry analysis of PC-12 cells labeling ADRM1 with Rabbit anti-ADRM1 antibody (HA722270) at 1/500 dilution.

Cells were fixed in 4% paraformaldehyde for 20 minutes at room temperature, permeabilized with 0.1% Triton X-100 in PBS for 5 minutes at room temperature, then blocked with 1% BSA in 10% negative goat serum for 1 hour at room temperature. Cells were then incubated with Rabbit anti-ADRM1 antibody (HA722270) at 1/500 dilution in 1% BSA in PBST overnight at 4 ℃. Goat Anti-Rabbit IgG H&L (iFluor™ 488, HA1121) was used as the secondary antibody at 1/1,000 dilution. PBS instead of the primary antibody was used as the secondary antibody only control. Nuclear DNA was labelled in blue with DAPI.

Beta tubulin (M1305-2, red) was stained at 1/100 dilution overnight at +4℃. Goat Anti-Mouse IgG H&L (iFluor™ 594, HA1126) was used as the secondary antibody at 1/1,000 dilution.
HA722270_5.jpg Fig5: Flow cytometric analysis of SK-MEL-28 cells labeling ADRM1.

Cells were fixed and permeabilized. Then stained with the primary antibody (HA722270, 1/1,000) (red) compared with Rabbit IgG Isotype Control (green). After incubation of the primary antibody at +4℃ for an hour, the cells were stained with a iFluor™ 488 conjugate-Goat anti-Rabbit IgG Secondary antibody (HA1121) at 1/1,000 dilution for 30 minutes at +4℃. Unlabelled sample was used as a control (cells without incubation with primary antibody; black).
HA722270_6.jpg Fig6: Flow cytometric analysis of NIH/3T3 cells labeling ADRM1.

Cells were fixed and permeabilized. Then stained with the primary antibody (HA722270, 1/1,000) (red) compared with Rabbit IgG Isotype Control (green). After incubation of the primary antibody at +4℃ for an hour, the cells were stained with a iFluor™ 488 conjugate-Goat anti-Rabbit IgG Secondary antibody (HA1121) at 1/1,000 dilution for 30 minutes at +4℃. Unlabelled sample was used as a control (cells without incubation with primary antibody; black).
HA722270_7.jpg Fig7: Flow cytometric analysis of PC-12 cells labeling ADRM1.

Cells were fixed and permeabilized. Then stained with the primary antibody (HA722270, 1/1,000) (red) compared with Rabbit IgG Isotype Control (green). After incubation of the primary antibody at +4℃ for an hour, the cells were stained with a iFluor™ 488 conjugate-Goat anti-Rabbit IgG Secondary antibody (HA1121) at 1/1,000 dilution for 30 minutes at +4℃. Unlabelled sample was used as a control (cells without incubation with primary antibody; black).
HA722270_8.jpg Fig8: ADRM1 was immunoprecipitated from 0.2 mg HEK-293 cell lysate with HA722270 at 2 µg/25 µl agarose. Western blot was performed from the immunoprecipitate using HA722270 at 1/1,000 dilution. Anti-Rabbit IgG for IP Nano-secondary antibody (NBI01H) at 1/5,000 dilution was used for 1 hour at room temperature.

Lane 1: HEK-293 cell lysate (input)
Lane 2: HA722270 IP in HEK-293 cell lysate
Lane 3: Rabbit IgG instead of HA722270 in HEK-293 cell lysate

Blocking/Dilution buffer: 5% NFDM/TBST
Exposure time: 3 minutes; ECL: K1802
Note: All products are “FOR RESEARCH USE ONLY AND ARE NOT INTENDED FOR DIAGNOSTIC OR THERAPEUTIC USE”.