Phospho-Cdk1/2/3 (T14) Recombinant Rabbit Monoclonal Antibody [JE04-37]
cat.: HA722272
Product Type: Recombinant Rabbit monoclonal IgG, primary antibodies
Species reactivity: Human, Mouse, Rat
Applications: WB, IHC-P
Clonality: Monoclonal
Clone number: JE04-37
Form: Liquid
Storage condition: Shipped at 4℃. Store at +4℃ short term (1-2 weeks). It is recommended to aliquot into single-use upon delivery. Store at -20℃ long term.
Storage buffer: 1*TBS (pH7.4), 0.05% BSA, 40% Glycerol. Preservative: 0.05% Sodium Azide.
Concentration: 1ug/ul
Purification: Protein A affinity purified.
Molecular weight: Predicted band size: 34 kDa
Isotype: IgG
Immunogen: Synthetic phosphopeptide corresponding to residues surrounding Thr14 of human Cdk1 protein (P06493).
Positive control: SiHa cell lysate, Caco-2 cell lysate, HeLa cell lysate, PC-12 cell lysate, NIH/3T3 cell lysate, human colon tissue, human liver tissue, human spleen tissue, mouse spleen tissue, rat spleen tissue.
Subcellular location: Nucleus, Cytoplasm, Mitochondrion.
Recommended Dilutions:
  WB
  IHC-P

1:1,000
1:1,000
Uniprot #: SwissProt: P06493 Human | P24941 Human | Q00526 Human | P11440 Mouse | P97377 Mouse | Q80YP0 Mouse | P39951 Rat | Q63699 Rat
Alternative names: Cdc 2 Cdc2 CDC28A CDK 1 CDK1 CDK1_HUMAN CDKN1 CELL CYCLE CONTROLLER CDC2 Cell division control protein 2 Cell division control protein 2 homolog Cell division cycle 2 G1 to S and G2 to M Cell division protein kinase 1 Cell Divsion Cycle 2 Protein Cyclin Dependent Kinase 1 Cyclin-dependent kinase 1 DKFZp686L20222 MGC111195 p34 Cdk1 p34 protein kinase P34CDC2 Cdc2 related protein kinase cdc2-related protein kinase CDC28 CDC2A Cdk 2 CDK2 CDK2_HUMAN CDKN2 Cell devision kinase 2 Cell division protein kinase 2 Cyclin dependent kinase 2 cyclin dependent kinase 2-alpha Cyclin-dependent kinase 2 kinase Cdc2 MPF p33 protein kinase p33(CDK2) Cdk 3 Cdk3 CDK3_HUMAN CDKN3 Cell division kinase 3 Cell division protein kinase 3 Cyclin dependent kinase 3 Cyclin-dependent kinase 3 OTTHUMP00000206828 p36
Images
HA722272_1.jpg Fig1: Western blot analysis of Phospho-Cdk1/2/3 (T14) on different lysates with Rabbit anti-Phospho-Cdk1/2/3 (T14) antibody (HA722272) at 1/1,000 dilution.

Lane 1: SiHa cell lysate
Lane 2: Caco-2 cell lysate
Lane 3: HeLa cell lysate
Lane 4: PC-12 cell lysate
Lane 5: NIH/3T3 cell lysate

Lysates/proteins at 20 µg/Lane.

Predicted band size: 34 kDa
Observed band size: 30 kDa

Exposure time: 43 seconds; ECL: K1802;

4-20% SDS-PAGE gel.

Proteins were transferred to a PVDF membrane and blocked with 5% NFDM/TBST for 1 hour at room temperature. The primary antibody (HA722272) at 1/1,000 dilution was used in 5% NFDM/TBST at 4℃ overnight. Goat Anti-Rabbit IgG - HRP Secondary Antibody (HA1001) at 1/50,000 dilution was used for 1 hour at room temperature.
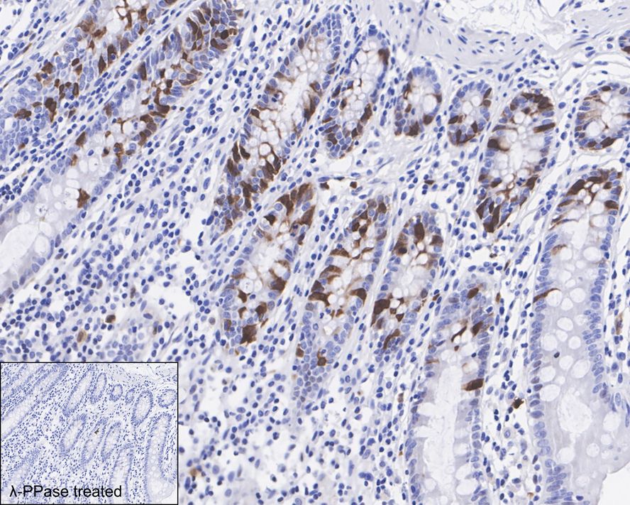
HA722272_2.jpg Fig2: Immunohistochemical analysis of paraffin-embedded human colon tissue untreated / treated with λpp with Rabbit anti-Phospho-Cdk1/2/3 (T14) antibody (HA722272) at 1/1,000 dilution.

The section was pre-treated using heat mediated antigen retrieval with sodium citrate buffer (pH 6.0) for 2 minutes. The tissues were blocked in 1% BSA for 20 minutes at room temperature, washed with ddH2O and PBS, and then probed with the primary antibody (HA722272) at 1/1,000 dilution for 1 hour at room temperature. The detection was performed using an HRP conjugated compact polymer system. DAB was used as the chromogen. Tissues were counterstained with hematoxylin and mounted with DPX.
HA722272_3.jpg Fig3: Immunohistochemical analysis of paraffin-embedded human liver tissue with Rabbit anti-Phospho-Cdk1/2/3 (T14) antibody (HA722272) at 1/1,000 dilution.

The section was pre-treated using heat mediated antigen retrieval with sodium citrate buffer (pH 6.0) for 2 minutes. The tissues were blocked in 1% BSA for 20 minutes at room temperature, washed with ddH2O and PBS, and then probed with the primary antibody (HA722272) at 1/1,000 dilution for 1 hour at room temperature. The detection was performed using an HRP conjugated compact polymer system. DAB was used as the chromogen. Tissues were counterstained with hematoxylin and mounted with DPX.
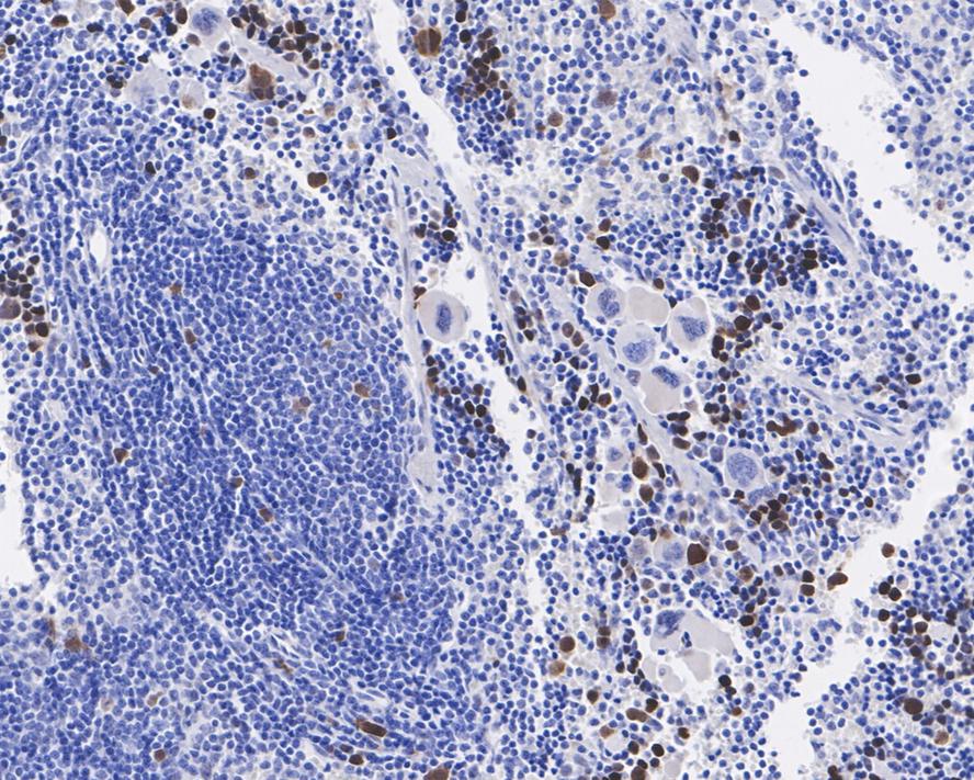
HA722272_4.jpg Fig4: Immunohistochemical analysis of paraffin-embedded human spleen tissue with Rabbit anti-Phospho-Cdk1/2/3 (T14) antibody (HA722272) at 1/1,000 dilution.

The section was pre-treated using heat mediated antigen retrieval with sodium citrate buffer (pH 6.0) for 2 minutes. The tissues were blocked in 1% BSA for 20 minutes at room temperature, washed with ddH2O and PBS, and then probed with the primary antibody (HA722272) at 1/1,000 dilution for 1 hour at room temperature. The detection was performed using an HRP conjugated compact polymer system. DAB was used as the chromogen. Tissues were counterstained with hematoxylin and mounted with DPX.
HA722272_5.jpg Fig5: Immunohistochemical analysis of paraffin-embedded mouse spleen tissue with Rabbit anti-Phospho-Cdk1/2/3 (T14) antibody (HA722272) at 1/1,000 dilution.

The section was pre-treated using heat mediated antigen retrieval with sodium citrate buffer (pH 6.0) for 2 minutes. The tissues were blocked in 1% BSA for 20 minutes at room temperature, washed with ddH2O and PBS, and then probed with the primary antibody (HA722272) at 1/1,000 dilution for 1 hour at room temperature. The detection was performed using an HRP conjugated compact polymer system. DAB was used as the chromogen. Tissues were counterstained with hematoxylin and mounted with DPX.
HA722272_6.jpg Fig6: Immunohistochemical analysis of paraffin-embedded rat spleen tissue with Rabbit anti-Phospho-Cdk1/2/3 (T14) antibody (HA722272) at 1/1,000 dilution.

The section was pre-treated using heat mediated antigen retrieval with sodium citrate buffer (pH 6.0) for 2 minutes. The tissues were blocked in 1% BSA for 20 minutes at room temperature, washed with ddH2O and PBS, and then probed with the primary antibody (HA722272) at 1/1,000 dilution for 1 hour at room temperature. The detection was performed using an HRP conjugated compact polymer system. DAB was used as the chromogen. Tissues were counterstained with hematoxylin and mounted with DPX.
Note: All products are “FOR RESEARCH USE ONLY AND ARE NOT INTENDED FOR DIAGNOSTIC OR THERAPEUTIC USE”.