K Cadherin Recombinant Rabbit Monoclonal Antibody [JE40-27]
cat.: HA722277
Product Type: Recombinant Rabbit monoclonal IgG, primary antibodies
Species reactivity: Human, Mouse, Rat
Applications: WB, IHC-P, IF-Tissue
Clonality: Monoclonal
Clone number: JE40-27
Form: Liquid
Storage condition: Shipped at 4℃. Store at +4℃ short term (1-2 weeks). It is recommended to aliquot into single-use upon delivery. Store at -20℃ long term.
Storage buffer: 1*TBS (pH7.4), 0.05% BSA, 40% Glycerol. Preservative: 0.05% Sodium Azide.
Concentration: 1ug/ul
Purification: Protein A affinity purified.
Molecular weight: Predicted band size: 88 kDa
Isotype: IgG
Immunogen: Synthetic peptide within Human K Cadherin/CDH6 aa 750-790.
Positive control: Jurkat cell lysate, A549 cell lysate, 293T cell lysate, HepG2 cell lysate, human kidney tissue lysate, mouse kidney tissue lysate, rat kidney tissue lysate, human kidney tissue, mouse kidney tissue, rat kidney tissue.
Subcellular location: Cell membrane.
Recommended Dilutions:
  WB
  IHC-P
  IF-Tissue

1:5,000
1:5,000-1:10,000
1:500-1:2,000
Uniprot #: SwissProt: P55285 Human | P97326 Mouse | P55280 Rat
Alternative names: CAD6 CADH6_HUMAN Cadherin 6 Cadherin 6 type 2 Cadherin 6 type 2 K cadherin (fetal kidney) Cadherin fetal kidney Cadherin-6 Cadherin6 CDH 6 Cdh6 K-cadherin KCAD Kidney cadherin
Images
HA722277_1.jpg Fig1: Western blot analysis of K Cadherin on different lysates with Rabbit anti-K Cadherin antibody (HA722277) at 1/5,000 dilution.

Lane 1: Jurkat cell lysate (20 µg/Lane)
Lane 2: A549 cell lysate (20 µg/Lane)
Lane 3: 293T cell lysate (20 µg/Lane)
Lane 4: HepG2 cell lysate (20 µg/Lane)
Lane 5: Human kidney tissue lysate (40 µg/Lane)
Lane 6: Mouse kidney tissue lysate (40 µg/Lane)
Lane 7: Rat kidney tissue lysate (40 µg/Lane)

Predicted band size: 88 kDa
Observed band size: 130 kDa

Exposure time: 15 seconds; ECL: K1801;

4-20% SDS-PAGE gel.

Proteins were transferred to a PVDF membrane and blocked with 5% NFDM/TBST for 1 hour at room temperature. The primary antibody (HA722277) at 1/5,000 dilution was used in 5% NFDM/TBST at 4℃ overnight. Goat Anti-Rabbit IgG - HRP Secondary Antibody (HA1001) at 1/50,000 dilution was used for 1 hour at room temperature.
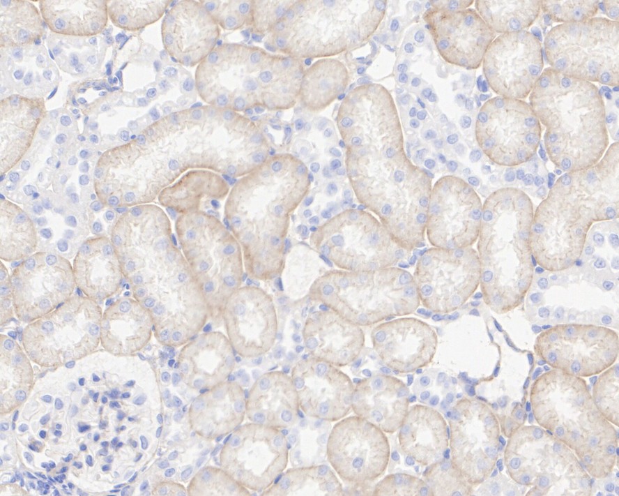
HA722277_2.jpg Fig2: Immunohistochemical analysis of paraffin-embedded human kidney tissue with Rabbit anti-K Cadherin antibody (HA722277) at 1/10,000 dilution.

The section was pre-treated using heat mediated antigen retrieval with Tris-EDTA buffer (pH 9.0) for 20 minutes. The tissues were blocked in 1% BSA for 20 minutes at room temperature, washed with ddH2O and PBS, and then probed with the primary antibody (HA722277) at 1/10,000 dilution for 1 hour at room temperature. The detection was performed using an HRP conjugated compact polymer system. DAB was used as the chromogen. Tissues were counterstained with hematoxylin and mounted with DPX.
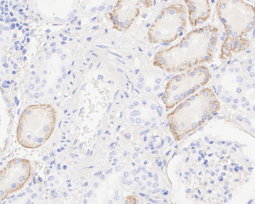
HA722277_3.jpg Fig3: Immunohistochemical analysis of paraffin-embedded mouse kidney tissue with Rabbit anti-K Cadherin antibody (HA722277) at 1/5,000 dilution.

The section was pre-treated using heat mediated antigen retrieval with Tris-EDTA buffer (pH 9.0) for 20 minutes. The tissues were blocked in 1% BSA for 20 minutes at room temperature, washed with ddH2O and PBS, and then probed with the primary antibody (HA722277) at 1/5,000 dilution for 1 hour at room temperature. The detection was performed using an HRP conjugated compact polymer system. DAB was used as the chromogen. Tissues were counterstained with hematoxylin and mounted with DPX.
HA722277_4.jpg Fig4: Immunohistochemical analysis of paraffin-embedded rat kidney tissue with Rabbit anti-K Cadherin antibody (HA722277) at 1/10,000 dilution.

The section was pre-treated using heat mediated antigen retrieval with Tris-EDTA buffer (pH 9.0) for 20 minutes. The tissues were blocked in 1% BSA for 20 minutes at room temperature, washed with ddH2O and PBS, and then probed with the primary antibody (HA722277) at 1/10,000 dilution for 1 hour at room temperature. The detection was performed using an HRP conjugated compact polymer system. DAB was used as the chromogen. Tissues were counterstained with hematoxylin and mounted with DPX.
Note: All products are “FOR RESEARCH USE ONLY AND ARE NOT INTENDED FOR DIAGNOSTIC OR THERAPEUTIC USE”.