PD-L1 Recombinant Rabbit Monoclonal Antibody [PD00-97]
cat.: HA722300
Product Type: Recombinant Rabbit monoclonal IgG, primary antibodies
Species reactivity: Human
Applications: IHC-P, IF-Cell
Clonality: Monoclonal
Clone number: PD00-97
Form: Liquid
Storage condition: Shipped at 4℃. Store at +4℃ short term (1-2 weeks). It is recommended to aliquot into single-use upon delivery. Store at -20℃ long term.
Storage buffer: PBS (pH7.4), 0.1% BSA, 40% Glycerol. Preservative: 0.05% Sodium Azide.
Concentration: 1ug/ul
Purification: Protein A affinity purified.
Molecular weight: Predicted band size: 33 kDa
Isotype: IgG
Immunogen: Recombinant protein with Human PD-L1 aa 19-238.
Positive control: Human lung adenocarcinoma tissue, U-87 MG.
Subcellular location: Cell membrane, Early endosome membrane, Recycling endosome membrane, Nucleus.
Recommended Dilutions:
  IHC-P
  IF-Cell

1:1,000
1:2,000
Uniprot #: SwissProt: Q9NZQ7 Human
Alternative names: B7 H B7 H1 B7 homolog 1 B7-H1 B7H B7H1 CD 274 CD-274 CD274 CD274 antigen CD274 molecule MGC142294 MGC142296 OTTHUMP00000021029 PD L1 PD-L1 PD1L1_HUMAN PDCD1 ligand 1 PDCD1L1 PDCD1LG1 PDL 1 PDL1 Programmed cell death 1 ligand 1 Programmed death ligand 1 RGD1566211
Images
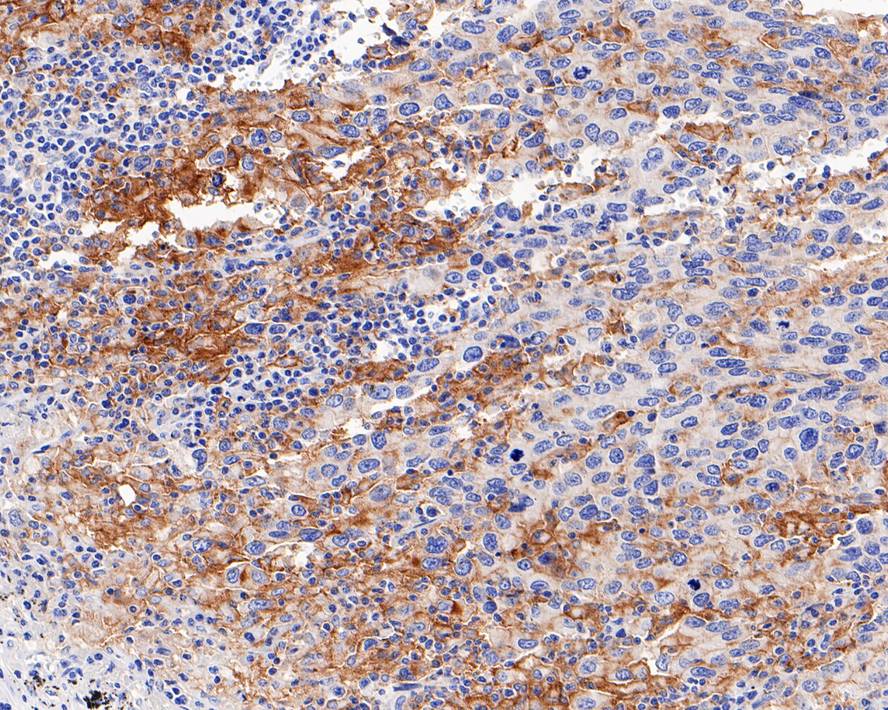
HA722300_1.jpg Fig1: Immunohistochemical analysis of paraffin-embedded human lung adenocarcinoma tissue with Rabbit anti-PD-L1 antibody (HA722300) at 1/1,000 dilution.

The section was pre-treated using heat mediated antigen retrieval with Tris-EDTA buffer (pH 9.0) for 20 minutes. The tissues were blocked in 1% BSA for 20 minutes at room temperature, washed with ddH2O and PBS, and then probed with the primary antibody (HA722300) at 1/1,000 dilution for 1 hour at room temperature. The detection was performed using an HRP conjugated compact polymer system. DAB was used as the chromogen. Tissues were counterstained with hematoxylin and mounted with DPX.
HA722300_2.jpg Fig2: Immunocytochemistry analysis of U-87 MG cells labeling PD-L1 with Rabbit anti-PD-L1 antibody (HA722300) at 1/2,000 dilution.

Cells were fixed in 4% paraformaldehyde for 15 minutes at room temperature, permeabilized with 0.1% Triton X-100 in PBS for 15 minutes at room temperature, then blocked with 1% BSA in 10% negative goat serum for 1 hour at room temperature. Cells were then incubated with Rabbit anti-PD-L1 antibody (HA722300) at 1/2,000 dilution in 1% BSA in PBST overnight at 4 ℃. Goat Anti-Rabbit IgG H&L (iFluor™ 488, HA1121) was used as the secondary antibody at 1/1,000 dilution. PBS instead of the primary antibody was used as the secondary antibody only control. Nuclear DNA was labelled in blue with DAPI.

Beta tubulin (HA601187, red) was stained at 1/100 dilution overnight at +4℃. Goat Anti-Mouse IgG H&L (iFluor™ 594, HA1126) was used as the secondary antibody at 1/1,000 dilution.
Note: All products are “FOR RESEARCH USE ONLY AND ARE NOT INTENDED FOR DIAGNOSTIC OR THERAPEUTIC USE”.