CARD11 Recombinant Rabbit Monoclonal Antibody [JE37-28]
cat.: HA722309
Product Type: Recombinant Rabbit monoclonal IgG, primary antibodies
Species reactivity: Human, Mouse, Rat
Applications: WB, IHC-P
Clonality: Monoclonal
Clone number: JE37-28
Form: Liquid
Storage condition: Shipped at 4℃. Store at +4℃ short term (1-2 weeks). It is recommended to aliquot into single-use upon delivery. Store at -20℃ long term.
Storage buffer: 1*TBS (pH7.4), 0.05% BSA, 40% Glycerol. Preservative: 0.05% Sodium Azide.
Concentration: 1ug/ul
Purification: Protein A affinity purified.
Molecular weight: Predicted band size: 133 kDa
Isotype: IgG
Immunogen: Synthetic peptide within Human Carma 1/CARD11 aa 1100-1154.
Positive control: K-562 cell lysate, HDLM-2 cell lysate, Raji cell lysate, mouse thymus tissue lysate, mouse spleen tissue lysate, rat thymus tissue lysate, human lymph node tissue, human spleen tissue, mouse thymus tissue.
Subcellular location: Cytoplasm, Membrane raft.
Recommended Dilutions:
  WB
  IHC-P

1:1,000-1:2,000
1:200-1:1,000
Uniprot #: SwissProt: Q9BXL7 Human | Q8CIS0 Mouse
Entrez Gene: 304314 Rat
Alternative names: 0610008L17Rik 2410011D02Rik Bcl10 interacting maguk protein 3 BIMP 3 BIMP3 CAR11_HUMAN CARD 11 CARD containing MAGUK protein 3 Card maguk protein 1 CARD-containing MAGUK protein 1 CARD11 CARD11 protein Carma 1 CARMA1 Caspase recruitment domain containing protein 11 Caspase recruitment domain family member 11 Caspase recruitment domain-containing protein 11 MGC133069
Images
HA722309_1.jpg Fig1: Western blot analysis of CARD11 on different lysates with Rabbit anti-CARD11 antibody (HA722309) at 1/1,000 dilution.

Lane 1: K-562 cell lysate (20 µg/Lane)
Lane 2: HDLM-2 cell lysate (20 µg/Lane)
Lane 3: Raji cell lysate (20 µg/Lane)
Lane 4: Mouse thymus tissue lysate (40 µg/Lane)
Lane 5: Mouse spleen tissue lysate (40 µg/Lane)
Lane 6: Rat thymus tissue lysate (40 µg/Lane)

Predicted band size: 133 kDa
Observed band size: 133 kDa

Exposure time: 25 seconds; ECL: K1801;

4-20% SDS-PAGE gel.

Proteins were transferred to a PVDF membrane and blocked with 5% NFDM/TBST for 1 hour at room temperature. The primary antibody (HA722309) at 1/1,000 dilution was used in 5% NFDM/TBST at 4℃ overnight. Goat Anti-Rabbit IgG - HRP Secondary Antibody (HA1001) at 1/50,000 dilution was used for 1 hour at room temperature.
HA722309_2.jpg Fig2: Western blot analysis of CARD11 on different lysates with Rabbit anti-CARD11 antibody (HA722309) at 1/2,000 dilution.

Lane 1: Jurkat cell lysate (10 µg/Lane)
Lane 2: Jurkat CARD11 KD cell lysate (10 µg/Lane)

Predicted band size: 133 kDa
Observed band size: 133 kDa

Exposure time: 24 seconds; ECL: K1802;

4-20% SDS-PAGE gel.

Proteins were transferred to a PVDF membrane and blocked with 5% NFDM/TBST for 1 hour at room temperature. The primary antibody (HA722309) at 1/2,000 dilution was used in 5% NFDM/TBST at 4℃ overnight. Goat Anti-Rabbit IgG - HRP Secondary Antibody (HA1001) at 1/50,000 dilution was used for 1 hour at room temperature.
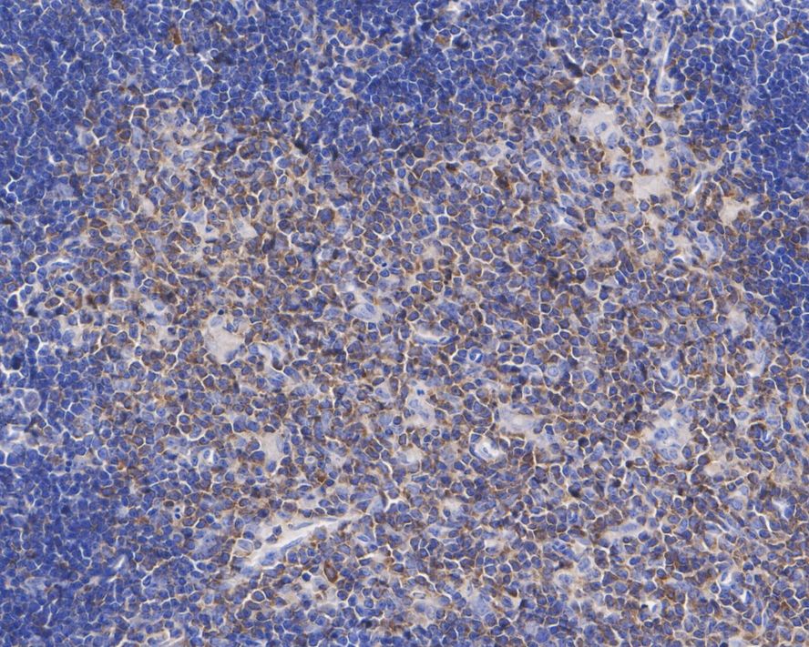
HA722309_3.jpg Fig3: Immunohistochemical analysis of paraffin-embedded human lymph node tissue with Rabbit anti-CARD11 antibody (HA722309) at 1/1,000 dilution.

The section was pre-treated using heat mediated antigen retrieval with Tris-EDTA buffer (pH 9.0) for 20 minutes. The tissues were blocked in 1% BSA for 20 minutes at room temperature, washed with ddH2O and PBS, and then probed with the primary antibody (HA722309) at 1/1,000 dilution for 1 hour at room temperature. The detection was performed using an HRP conjugated compact polymer system. DAB was used as the chromogen. Tissues were counterstained with hematoxylin and mounted with DPX.
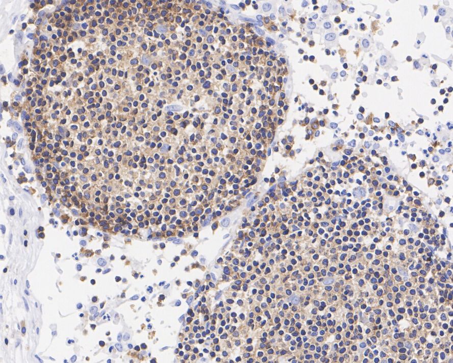
HA722309_4.jpg Fig4: Immunohistochemical analysis of paraffin-embedded human spleen tissue with Rabbit anti-CARD11 antibody (HA722309) at 1/200 dilution.

The section was pre-treated using heat mediated antigen retrieval with Tris-EDTA buffer (pH 9.0) for 20 minutes. The tissues were blocked in 1% BSA for 20 minutes at room temperature, washed with ddH2O and PBS, and then probed with the primary antibody (HA722309) at 1/200 dilution for 1 hour at room temperature. The detection was performed using an HRP conjugated compact polymer system. DAB was used as the chromogen. Tissues were counterstained with hematoxylin and mounted with DPX.
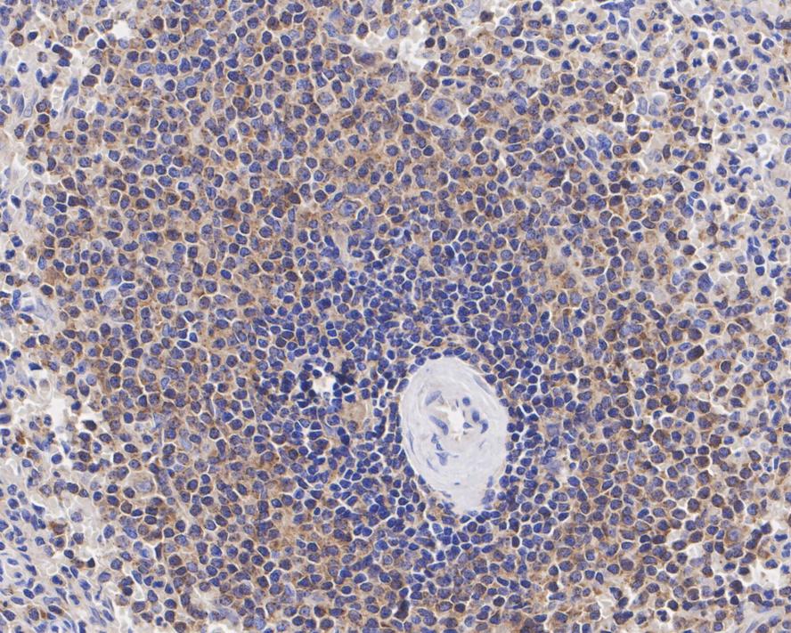
HA722309_5.jpg Fig5: Immunohistochemical analysis of paraffin-embedded mouse thymus tissue with Rabbit anti-CARD11 antibody (HA722309) at 1/200 dilution.

The section was pre-treated using heat mediated antigen retrieval with Tris-EDTA buffer (pH 9.0) for 20 minutes. The tissues were blocked in 1% BSA for 20 minutes at room temperature, washed with ddH2O and PBS, and then probed with the primary antibody (HA722309) at 1/200 dilution for 1 hour at room temperature. The detection was performed using an HRP conjugated compact polymer system. DAB was used as the chromogen. Tissues were counterstained with hematoxylin and mounted with DPX.
Note: All products are “FOR RESEARCH USE ONLY AND ARE NOT INTENDED FOR DIAGNOSTIC OR THERAPEUTIC USE”.