RCC1 Recombinant Rabbit Monoclonal Antibody [JE39-10]
cat.: HA722311
Product Type: Recombinant Rabbit monoclonal IgG, primary antibodies
Species reactivity: Human, Mouse, Rat, Monkey
Applications: WB, IF-Cell, IHC-P, IP
Clonality: Monoclonal
Clone number: JE39-10
Form: Liquid
Storage condition: Shipped at 4℃. Store at +4℃ short term (1-2 weeks). It is recommended to aliquot into single-use upon delivery. Store at -20℃ long term.
Storage buffer: 1*TBS (pH7.4), 0.05% BSA, 40% Glycerol. Preservative: 0.05% Sodium Azide.
Concentration: 1ug/ul
Purification: Protein A affinity purified.
Molecular weight: Predicted band size: 45 kDa
Isotype: IgG
Immunogen: Recombinant protein within Human RCC1 aa 1-100 / 421.
Positive control: HeLa cell lysate, A431 cell lysate, Jurkat cell lysate, COS-1 cell lysate, C2C12 cell lysate, NIH/3T3 cell lysate, C6 cell lysate, A431, C2C12, human bladder tissue, human kidney tissue, mouse kidney tissue, rat kidney tissue.
Subcellular location: Nucleus, Chromosome, Cytoplasm.
Recommended Dilutions:
  WB
  IF-Cell
  IHC-P
  IP

1:1,000
1:100
1:50-1:200
1-2μg/sample
Uniprot #: SwissProt: P18754 Human | Q8VE37 Mouse
Entrez Gene: 682908 Rat
Alternative names: Cell cycle regulatory protein CHC 1 CHC1 Chromosome condensation 1 Chromosome condensation protein 1 Guanine nucleotide releasing protein Ran GEF RanGEF RCC 1 RCC1 RCC1 I RCC1_HUMAN Regulator of chromosome condensation 1 Regulator of chromosome condensation SHEP1 SNHG3 RCC1 SNHG3 RCC1 readthrough transcript
Images
HA722311_1.jpg Fig1: Western blot analysis of RCC1 on different lysates with Rabbit anti-RCC1 antibody (HA722311) at 1/1,000 dilution.

Lane 1: HeLa cell lysate
Lane 2: A431 cell lysate
Lane 3: Jurkat cell lysate
Lane 4: COS-1 cell lysate
Lane 5: C2C12 cell lysate
Lane 6: NIH/3T3 cell lysate
Lane 7: C6 cell lysate

Lysates/proteins at 20 µg/Lane.

Predicted band size: 45 kDa
Observed band size: 48 kDa

Exposure time: Lane 1-4: 12 seconds; Lane 5-7: 30 seconds; ECL: K1802;

4-20% SDS-PAGE gel.

Proteins were transferred to a PVDF membrane and blocked with 5% NFDM/TBST for 1 hour at room temperature. The primary antibody (HA722311) at 1/1,000 dilution was used in 5% NFDM/TBST at 4℃ overnight. Goat Anti-Rabbit IgG - HRP Secondary Antibody (HA1001) at 1/50,000 dilution was used for 1 hour at room temperature.
HA722311_2.jpg Fig2: Immunocytochemistry analysis of A431 cells labeling RCC1 with Rabbit anti-RCC1 antibody (HA722311) at 1/100 dilution.

Cells were fixed in 4% paraformaldehyde for 20 minutes at room temperature, permeabilized with 0.1% Triton X-100 in PBS for 5 minutes at room temperature, then blocked with 1% BSA in 10% negative goat serum for 1 hour at room temperature. Cells were then incubated with Rabbit anti-RCC1 antibody (HA722311) at 1/100 dilution in 1% BSA in PBST overnight at 4 ℃. Goat Anti-Rabbit IgG H&L (iFluor™ 488, HA1121) was used as the secondary antibody at 1/1,000 dilution. PBS instead of the primary antibody was used as the secondary antibody only control. Nuclear DNA was labelled in blue with DAPI.

Beta tubulin (M1305-2, red) was stained at 1/100 dilution overnight at +4℃. Goat Anti-Mouse IgG H&L (iFluor™ 594, HA1126) was used as the secondary antibody at 1/1,000 dilution.
HA722311_3.jpg Fig3: Immunocytochemistry analysis of C2C12 cells labeling RCC1 with Rabbit anti-RCC1 antibody (HA722311) at 1/100 dilution.

Cells were fixed in 4% paraformaldehyde for 20 minutes at room temperature, permeabilized with 0.1% Triton X-100 in PBS for 5 minutes at room temperature, then blocked with 1% BSA in 10% negative goat serum for 1 hour at room temperature. Cells were then incubated with Rabbit anti-RCC1 antibody (HA722311) at 1/100 dilution in 1% BSA in PBST overnight at 4 ℃. Goat Anti-Rabbit IgG H&L (iFluor™ 488, HA1121) was used as the secondary antibody at 1/1,000 dilution. PBS instead of the primary antibody was used as the secondary antibody only control. Nuclear DNA was labelled in blue with DAPI.

Beta tubulin (M1305-2, red) was stained at 1/100 dilution overnight at +4℃. Goat Anti-Mouse IgG H&L (iFluor™ 594, HA1126) was used as the secondary antibody at 1/1,000 dilution.
HA722311_4.jpg Fig4: Immunohistochemical analysis of paraffin-embedded human bladder tissue with Rabbit anti-RCC1 antibody (HA722311) at 1/200 dilution.

The section was pre-treated using heat mediated antigen retrieval with sodium citrate buffer (pH 6.0) for 2 minutes. The tissues were blocked in 1% BSA for 20 minutes at room temperature, washed with ddH2O and PBS, and then probed with the primary antibody (HA722311) at 1/200 dilution for 1 hour at room temperature. The detection was performed using an HRP conjugated compact polymer system. DAB was used as the chromogen. Tissues were counterstained with hematoxylin and mounted with DPX.
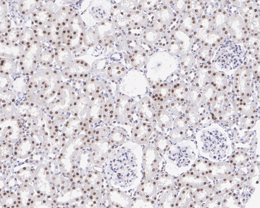
HA722311_5.jpg Fig5: Immunohistochemical analysis of paraffin-embedded human kidney tissue with Rabbit anti-RCC1 antibody (HA722311) at 1/200 dilution.

The section was pre-treated using heat mediated antigen retrieval with sodium citrate buffer (pH 6.0) for 2 minutes. The tissues were blocked in 1% BSA for 20 minutes at room temperature, washed with ddH2O and PBS, and then probed with the primary antibody (HA722311) at 1/200 dilution for 1 hour at room temperature. The detection was performed using an HRP conjugated compact polymer system. DAB was used as the chromogen. Tissues were counterstained with hematoxylin and mounted with DPX.
HA722311_6.jpg Fig6: Immunohistochemical analysis of paraffin-embedded mouse kidney tissue with Rabbit anti-RCC1 antibody (HA722311) at 1/100 dilution.

The section was pre-treated using heat mediated antigen retrieval with sodium citrate buffer (pH 6.0) for 2 minutes. The tissues were blocked in 1% BSA for 20 minutes at room temperature, washed with ddH2O and PBS, and then probed with the primary antibody (HA722311) at 1/100 dilution for 1 hour at room temperature. The detection was performed using an HRP conjugated compact polymer system. DAB was used as the chromogen. Tissues were counterstained with hematoxylin and mounted with DPX.
HA722311_7.jpg Fig7: Immunohistochemical analysis of paraffin-embedded rat kidney tissue with Rabbit anti-RCC1 antibody (HA722311) at 1/100 dilution.

The section was pre-treated using heat mediated antigen retrieval with sodium citrate buffer (pH 6.0) for 2 minutes. The tissues were blocked in 1% BSA for 20 minutes at room temperature, washed with ddH2O and PBS, and then probed with the primary antibody (HA722311) at 1/100 dilution for 1 hour at room temperature. The detection was performed using an HRP conjugated compact polymer system. DAB was used as the chromogen. Tissues were counterstained with hematoxylin and mounted with DPX.
HA722311_8.jpg Fig8: RCC1 was immunoprecipitated from 0.2 mg A431 cell lysate with HA722311 at 2 µg/25 µl agarose. Western blot was performed from the immunoprecipitate using HA722311 at 1/5,000 dilution. Anti-Rabbit IgG for IP Nano-secondary antibody (NBI01H) at 1/5,000 dilution was used for 1 hour at room temperature.

Lane 1: A431 cell lysate (input)
Lane 2: HA722311 IP in A431 cell lysate
Lane 3: Rabbit IgG instead of HA722311 in A431 cell lysate

Blocking/Dilution buffer: 5% NFDM/TBST
Exposure time: 3 minutes; ECL: K1802
Note: All products are “FOR RESEARCH USE ONLY AND ARE NOT INTENDED FOR DIAGNOSTIC OR THERAPEUTIC USE”.