Monoamine Oxidase A / MAO-A Recombinant Rabbit Monoclonal Antibody [JE39-96]
cat.: HA722313
Product Type: Recombinant Rabbit monoclonal IgG, primary antibodies
Species reactivity: Human, Mouse, Rat
Applications: WB, IHC-P, IF-Tissue, IF-Cell
Clonality: Monoclonal
Clone number: JE39-96
Form: Liquid
Storage condition: Shipped at 4℃. Store at +4℃ short term (1-2 weeks). It is recommended to aliquot into single-use upon delivery. Store at -20℃ long term.
Storage buffer: 1*TBS (pH7.4), 0.05% BSA, 40% Glycerol. Preservative: 0.05% Sodium Azide.
Concentration: 1ug/ul
Purification: Protein A affinity purified.
Molecular weight: Predicted band size: 60 kDa
Isotype: IgG
Immunogen: Synthetic peptide within Human MAO-A aa 450-527.
Positive control: HepG2 cell lysate, HUVEC cell lysate, A431 cell lysate, mouse small intestine tissue lysate, mouse kidney tissue lysate, rat small intestine tissue lysate, human kidney tissue, human colon tissue, human small intestine tissue, mouse small intestine tissue, rat small intestine tissue.
Subcellular location: Mitochondrion outer membrane.
Recommended Dilutions:
  WB
  IHC-P
  IF-Tissue
  IF-Cell

1:1,000
1:3,000-1:10,000
1:200-1:1,000
1:2000-1:4,000
Uniprot #: SwissProt: P21397 Human | Q64133 Mouse | P21396 Rat
Alternative names: Amine oxidase [flavin containing] A Amine oxidase [flavin-containing] A AOFA AOFA_HUMAN EC 1.4.3.4 MAO A MAO-A maoA Monoamine oxidase A Monoamine oxidase type A
Images
HA722313_1.jpg Fig1: Western blot analysis of Monoamine Oxidase A / MAO-A on different lysates with Rabbit anti-Monoamine Oxidase A / MAO-A antibody (HA722313) at 1/1,000 dilution.

Lane 1: HepG2 cell lysate (20 µg/Lane)
Lane 2: HUVEC cell lysate (20 µg/Lane)
Lane 3: A431 cell lysate (20 µg/Lane)
Lane 4: THP-1 cell lysate (negative) (20 µg/Lane)
Lane 5: Mouse small intestine tissue lysate (40 µg/Lane)
Lane 6: Mouse kidney tissue lysate (40 µg/Lane)
Lane 7: Rat small intestine tissue lysate (40 µg/Lane)

Predicted band size: 60 kDa
Observed band size: 60 kDa

Exposure time: 59 seconds; ECL: K1801;

4-20% SDS-PAGE gel.

Proteins were transferred to a PVDF membrane and blocked with 5% NFDM/TBST for 1 hour at room temperature. The primary antibody (HA722313) at 1/1,000 dilution was used in 5% NFDM/TBST at 4℃ overnight. Goat Anti-Rabbit IgG - HRP Secondary Antibody (HA1001) at 1/50,000 dilution was used for 1 hour at room temperature.
HA722313_2.jpg Fig2: Immunohistochemical analysis of paraffin-embedded human kidney tissue with Rabbit anti-Monoamine Oxidase A / MAO-A antibody (HA722313) at 1/10,000 dilution.

The section was pre-treated using heat mediated antigen retrieval with Tris-EDTA buffer (pH 9.0) for 20 minutes. The tissues were blocked in 1% BSA for 20 minutes at room temperature, washed with ddH2O and PBS, and then probed with the primary antibody (HA722313) at 1/10,000 dilution for 1 hour at room temperature. The detection was performed using an HRP conjugated compact polymer system. DAB was used as the chromogen. Tissues were counterstained with hematoxylin and mounted with DPX.
HA722313_3.jpg Fig3: Immunohistochemical analysis of paraffin-embedded human colon tissue with Rabbit anti-Monoamine Oxidase A / MAO-A antibody (HA722313) at 1/10,000 dilution.

The section was pre-treated using heat mediated antigen retrieval with Tris-EDTA buffer (pH 9.0) for 20 minutes. The tissues were blocked in 1% BSA for 20 minutes at room temperature, washed with ddH2O and PBS, and then probed with the primary antibody (HA722313) at 1/10,000 dilution for 1 hour at room temperature. The detection was performed using an HRP conjugated compact polymer system. DAB was used as the chromogen. Tissues were counterstained with hematoxylin and mounted with DPX.
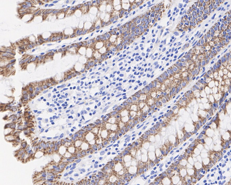
HA722313_4.jpg Fig4: Immunohistochemical analysis of paraffin-embedded human small intestine tissue with Rabbit anti-Monoamine Oxidase A / MAO-A antibody (HA722313) at 1/10,000 dilution.

The section was pre-treated using heat mediated antigen retrieval with Tris-EDTA buffer (pH 9.0) for 20 minutes. The tissues were blocked in 1% BSA for 20 minutes at room temperature, washed with ddH2O and PBS, and then probed with the primary antibody (HA722313) at 1/10,000 dilution for 1 hour at room temperature. The detection was performed using an HRP conjugated compact polymer system. DAB was used as the chromogen. Tissues were counterstained with hematoxylin and mounted with DPX.
HA722313_5.jpg Fig5: Immunohistochemical analysis of paraffin-embedded mouse small intestine tissue with Rabbit anti-Monoamine Oxidase A / MAO-A antibody (HA722313) at 1/10,000 dilution.

The section was pre-treated using heat mediated antigen retrieval with Tris-EDTA buffer (pH 9.0) for 20 minutes. The tissues were blocked in 1% BSA for 20 minutes at room temperature, washed with ddH2O and PBS, and then probed with the primary antibody (HA722313) at 1/10,000 dilution for 1 hour at room temperature. The detection was performed using an HRP conjugated compact polymer system. DAB was used as the chromogen. Tissues were counterstained with hematoxylin and mounted with DPX.
HA722313_6.jpg Fig6: Immunohistochemical analysis of paraffin-embedded rat small intestine tissue with Rabbit anti-Monoamine Oxidase A / MAO-A antibody (HA722313) at 1/3,000 dilution.

The section was pre-treated using heat mediated antigen retrieval with Tris-EDTA buffer (pH 9.0) for 20 minutes. The tissues were blocked in 1% BSA for 20 minutes at room temperature, washed with ddH2O and PBS, and then probed with the primary antibody (HA722313) at 1/3,000 dilution for 1 hour at room temperature. The detection was performed using an HRP conjugated compact polymer system. DAB was used as the chromogen. Tissues were counterstained with hematoxylin and mounted with DPX.
HA722313_7.jpg Fig7: Immunocytochemistry analysis of A431 cells labeling Monoamine Oxidase A / MAO-A with Rabbit anti-Monoamine Oxidase A / MAO-A antibody (HA722313) at 1/2,000 dilution.

Cells were fixed in 4% paraformaldehyde for 15 minutes at room temperature, permeabilized with 0.1% Triton X-100 in PBS for 15 minutes at room temperature, then blocked with 1% BSA in 10% negative goat serum for 1 hour at room temperature. Cells were then incubated with Rabbit anti-Monoamine Oxidase A / MAO-A antibody (HA722313) at 1/2,000 dilution in 1% BSA in PBST overnight at 4 ℃. Goat Anti-Rabbit IgG H&L (iFluor™ 488, HA1121) was used as the secondary antibody at 1/1,000 dilution. PBS instead of the primary antibody was used as the secondary antibody only control. Nuclear DNA was labelled in blue with DAPI.

Beta tubulin (HA601187 , red) was stained at 1/100 dilution overnight at +4℃. Goat Anti-Mouse IgG H&L (iFluor™ 594, HA1126) was used as the secondary antibody at 1/1,000 dilution.

Negative control: THP-1 cells ( PMID: 30021838).
Note: All products are “FOR RESEARCH USE ONLY AND ARE NOT INTENDED FOR DIAGNOSTIC OR THERAPEUTIC USE”.