PROX1 Recombinant Rabbit Monoclonal Antibody [JE59-87]
cat.: HA722318
Product Type: Recombinant Rabbit monoclonal IgG, primary antibodies
Species reactivity: Human, Mouse
Applications: WB, IF-Cell, IHC-P, IF-Tissue
Clonality: Monoclonal
Clone number: JE59-87
Form: Liquid
Storage condition: Shipped at 4℃. Store at +4℃ short term (1-2 weeks). It is recommended to aliquot into single-use upon delivery. Store at -20℃ long term.
Storage buffer: 1*TBS (pH7.4), 0.05% BSA, 40% Glycerol. Preservative: 0.05% Sodium Azide.
Concentration: 1ug/ul
Purification: Protein A affinity purified.
Molecular weight: Predicted band size: 83 kDa
Isotype: IgG
Immunogen: Recombinant protein within Human PROX1 aa 1-100 / 737.
Positive control: SW620 cell lysate, SH-SY5Y cell lysate, HepG2 cell lysate, SH-SY5Y, human colon cancer tissue, mouse hippocampus tissue.
Subcellular location: Nucleus.
Recommended Dilutions:
  WB
  IF-Cell
  IHC-P
  IF-Tissue

1:1,000
1:100
1:200-1:1,000
1:50-1:200
Uniprot #: SwissProt: Q92786 Human | P48437 Mouse
Alternative names: Homeobox prospero like protein Homeobox prospero like protein PROX1 Homeobox prospero-like protein PROX1 Prospero homeobox 1 Prospero homeobox protein 1 Prospero related homeobox 1 prospero-related homeobox gene 1 PROX 1 PROX-1 PROX1 PROX1_HUMAN zgc:111888
Images
HA722318_1.jpg Fig1: Western blot analysis of PROX1 on different lysates with Rabbit anti-PROX1 antibody (HA722318) at 1/1,000 dilution.

Lane 1: SW620 cell lysate
Lane 2: SH-SY5Y cell lysate
Lane 3: HepG2 cell lysate

Lysates/proteins at 20 µg/Lane.

Predicted band size: 83 kDa
Observed band size: 83 kDa

Exposure time: 2 minutes 38 seconds; ECL: K1801;

4-20% SDS-PAGE gel.

Proteins were transferred to a PVDF membrane and blocked with 5% NFDM/TBST for 1 hour at room temperature. The primary antibody (HA722318) at 1/1,000 dilution was used in 5% NFDM/TBST at 4℃ overnight. Goat Anti-Rabbit IgG - HRP Secondary Antibody (HA1001) at 1/50,000 dilution was used for 1 hour at room temperature.
HA722318_2.jpg Fig2: Immunocytochemistry analysis of SH-SY5Y cells labeling PROX1 with Rabbit anti-PROX1 antibody (HA722318) at 1/100 dilution.

Cells were fixed in 4% paraformaldehyde for 20 minutes at room temperature, permeabilized with 0.1% Triton X-100 in PBS for 5 minutes at room temperature, then blocked with 1% BSA in 10% negative goat serum for 1 hour at room temperature. Cells were then incubated with Rabbit anti-PROX1 antibody (HA722318) at 1/100 dilution in 1% BSA in PBST overnight at 4 ℃. Goat Anti-Rabbit IgG H&L (iFluor™ 488, HA1121) was used as the secondary antibody at 1/1,000 dilution. PBS instead of the primary antibody was used as the secondary antibody only control. Nuclear DNA was labelled in blue with DAPI.

Beta tubulin (M1305-2, red) was stained at 1/100 dilution overnight at +4℃. Goat Anti-Mouse IgG H&L (iFluor™ 594, HA1126) was used as the secondary antibody at 1/1,000 dilution.
HA722318_3.jpg Fig3: Immunohistochemical analysis of paraffin-embedded human colon cancer tissue with Rabbit anti-PROX1 antibody (HA722318) at 1/200 dilution.

The section was pre-treated using heat mediated antigen retrieval with sodium citrate buffer (pH 6.0) for 2 minutes. The tissues were blocked in 1% BSA for 20 minutes at room temperature, washed with ddH2O and PBS, and then probed with the primary antibody (HA722318) at 1/200 dilution for 1 hour at room temperature. The detection was performed using an HRP conjugated compact polymer system. DAB was used as the chromogen. Tissues were counterstained with hematoxylin and mounted with DPX.
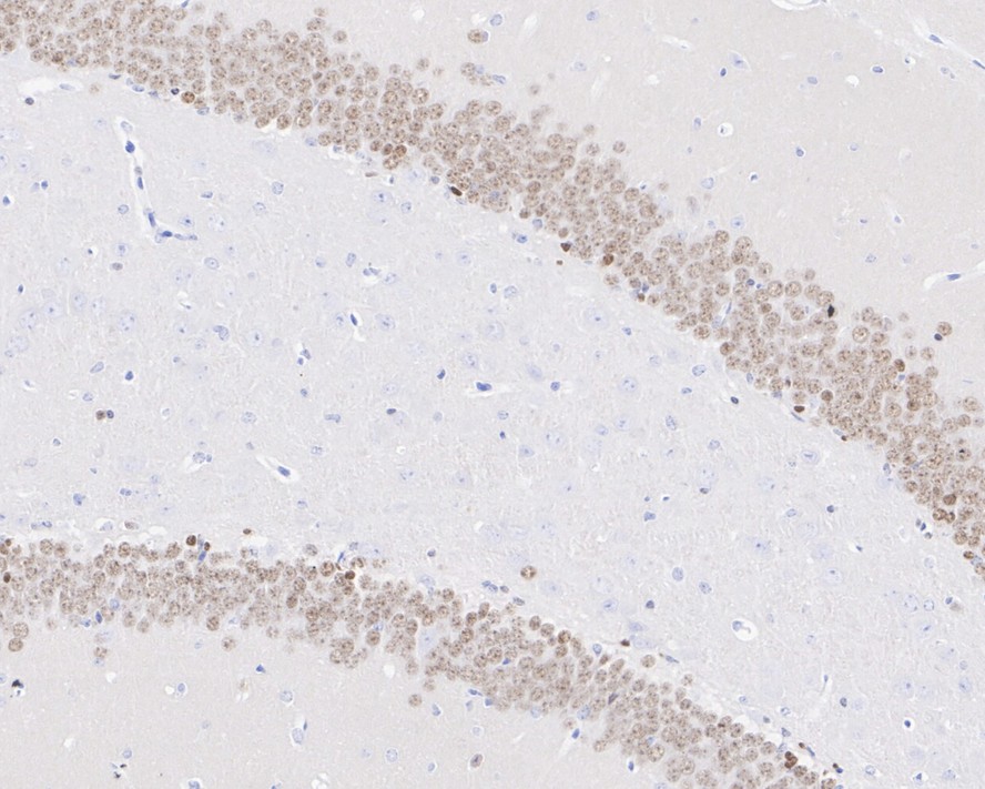
HA722318_4.jpg Fig4: Immunohistochemical analysis of paraffin-embedded mouse hippocampus tissue with Rabbit anti-PROX1 antibody (HA722318) at 1/1,000 dilution.

The section was pre-treated using heat mediated antigen retrieval with sodium citrate buffer (pH 6.0) for 2 minutes. The tissues were blocked in 1% BSA for 20 minutes at room temperature, washed with ddH2O and PBS, and then probed with the primary antibody (HA722318) at 1/1,000 dilution for 1 hour at room temperature. The detection was performed using an HRP conjugated compact polymer system. DAB was used as the chromogen. Tissues were counterstained with hematoxylin and mounted with DPX.
HA722318_5.jpg Fig5: Immunofluorescence analysis of paraffin-embedded human colon cancer tissue labeling PROX1 with Rabbit anti-PROX1 antibody (HA722318) at 1/200 dilution.

The section was pre-treated using heat mediated antigen retrieval with Tris-EDTA buffer (pH 9.0) for 20 minutes. The tissues were blocked in 10% negative goat serum for 1 hour at room temperature, washed with PBS, and then probed with the primary antibody (HA722318, green) at 1/200 dilution overnight at 4 ℃, washed with PBS. Goat Anti-Rabbit IgG H&L (iFluor™ 488, HA1121) was used as the secondary antibody at 1/1,000 dilution. Nuclei were counterstained with DAPI (blue).
Note: All products are “FOR RESEARCH USE ONLY AND ARE NOT INTENDED FOR DIAGNOSTIC OR THERAPEUTIC USE”.