VPS18 Recombinant Rabbit Monoclonal Antibody [JE34-83]
cat.: HA722325
Product Type: Recombinant Rabbit monoclonal IgG, primary antibodies
Species reactivity: Human, Rat
Applications: WB, IHC-P
Clonality: Monoclonal
Clone number: JE34-83
Form: Liquid
Storage condition: Shipped at 4℃. Store at +4℃ short term (1-2 weeks). It is recommended to aliquot into single-use upon delivery. Store at -20℃ long term.
Storage buffer: 1*TBS (pH7.4), 0.05% BSA, 40% Glycerol. Preservative: 0.05% Sodium Azide.
Concentration: 1ug/ul
Purification: Protein A affinity purified.
Molecular weight: Predicted band size: 110 kDa
Isotype: IgG
Immunogen: Synthetic peptide within Human VPS18 aa 1-100.
Positive control: HeLa cell lysate, A549 cell lysate, K-562 cell lysate, rat testis tissue.
Subcellular location: Late endosome membrane, Lysosome membrane, Early endosome, Cytoplasmic vesicle, autophagosome, clathrin-coated vesicle.
Recommended Dilutions:
  WB
  IHC-P

1:1,000
1:1,000
Uniprot #: SwissProt: Q9P253 Human
Entrez Gene: 296083 Rat
Alternative names: hVPS18 PEP3 Vacuolar protein sorting 18 Vacuolar protein sorting protein 18 Vacuolar protein sorting-associated protein 18 homolog vps18 VPS18_HUMAN
Images
HA722325_1.jpg Fig1: Western blot analysis of VPS18 on different lysates with Rabbit anti-VPS18 antibody (HA722325) at 1/1,000 dilution.

Lane 1: HeLa cell lysate
Lane 2: A549 cell lysate
Lane 3: K-562 cell lysate

Lysates/proteins at 20 µg/Lane.

Predicted band size: 110 kDa
Observed band size: 100 kDa

Exposure time: 20 seconds; ECL: K1801;
4-20% SDS-PAGE gel.

Proteins were transferred to a PVDF membrane and blocked with 5% NFDM/TBST for 1 hour at room temperature. The primary antibody (HA722325) at 1/1,000 dilution was used in 5% NFDM/TBST at 4℃ overnight. Goat Anti-Rabbit IgG - HRP Secondary Antibody (HA1001) at 1/50,000 dilution was used for 1 hour at room temperature.
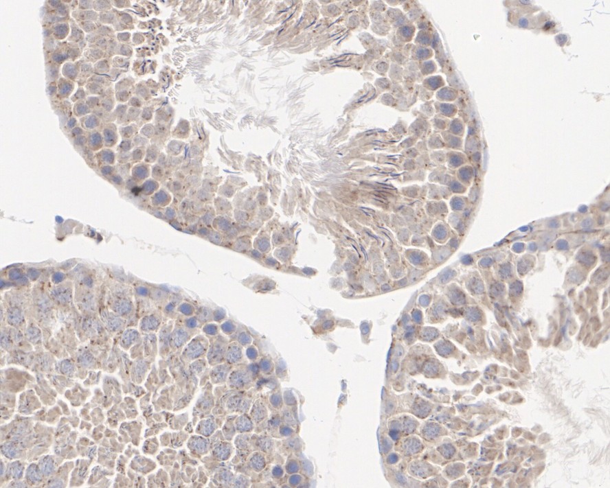
HA722325_2.jpg Fig2: Immunohistochemical analysis of paraffin-embedded rat testis tissue with Rabbit anti-VPS18 antibody (HA722325) at 1/1,000 dilution.

The section was pre-treated using heat mediated antigen retrieval with Tris-EDTA buffer (pH 9.0) for 20 minutes. The tissues were blocked in 1% BSA for 20 minutes at room temperature, washed with ddH2O and PBS, and then probed with the primary antibody (HA722325) at 1/1,000 dilution for 1 hour at room temperature. The detection was performed using an HRP conjugated compact polymer system. DAB was used as the chromogen. Tissues were counterstained with hematoxylin and mounted with DPX.
Note: All products are “FOR RESEARCH USE ONLY AND ARE NOT INTENDED FOR DIAGNOSTIC OR THERAPEUTIC USE”.