ABCE1 Recombinant Rabbit Monoclonal Antibody [JE35-87]
cat.: HA722330
Product Type: Recombinant Rabbit monoclonal IgG, primary antibodies
Species reactivity: Human, Mouse, Rat
Applications: WB, IF-Cell, IHC-P, FC, IP
Clonality: Monoclonal
Clone number: JE35-87
Form: Liquid
Storage condition: Shipped at 4℃. Store at +4℃ short term (1-2 weeks). It is recommended to aliquot into single-use upon delivery. Store at -20℃ long term.
Storage buffer: 1*TBS (pH7.4), 0.05% BSA, 40% Glycerol. Preservative: 0.05% Sodium Azide.
Concentration: 1ug/ul
Purification: Protein A affinity purified.
Molecular weight: Predicted band size: 67 kDa
Isotype: IgG
Immunogen: Synthetic peptide within Human ABCE1 aa 550-599 / 599.
Positive control: HeLa cell lysate, Jurkat cell lysate, mouse pancreas tissue lysate, rat pancreas tissue lysate, K-562 cell lysate, NIH/3T3 cell lysate, PC-12 cell lysate, Jurkat, PC-12, mouse liver tissue, rat liver tissue.
Subcellular location: Cytoplasm, Mitochondrion.
Recommended Dilutions:
  WB
  IF-Cell
  IHC-P
  FC
  IP

1:1,000
1:100
1:200
1:1,000
1-2μg/sample
Uniprot #: SwissProt: P61221 Human | P61222 Mouse
Entrez Gene: 361390 Rat
Alternative names: 2' 5' oligoadenylate binding protein 2''-5''-oligoadenylate-binding protein 2'5' oligoadenylate binding protein ABC 38 ABC38 ABCE 1 ABCE1 ABCE1_HUMAN ATP binding cassette sub family E (OABP) member 1 ATP binding cassette sub family E member 1 ATP-binding cassette sub-family E member 1 HuHP 68 HuHP68 OABP Ribonuclease 4 inhibitor Ribonuclease L (2' 5' oligoisoadenylate synthetase dependent) inhibitor Ribonuclease L (2'5' oligoisoadenylate synthetase dependent) inhibitor Ribonuclease L inhibitor RLI RNase L inhibitor RNASEL1 RNASELI RNS 4I RNS4I
Images
HA722330_1.jpg Fig1: Western blot analysis of ABCE1 on different lysates with Rabbit anti-ABCE1 antibody (HA722330) at 1/1,000 dilution.

Lane 1: HeLa cell lysate (20 µg/Lane)
Lane 2: Jurkat cell lysate (20 µg/Lane)
Lane 3: Mouse pancreas tissue lysate (50 µg/Lane)
Lane 4: Rat pancreas tissue lysate (50 µg/Lane)
Lane 5: K-562 cell lysate (20 µg/Lane)
Lane 6: NIH/3T3 cell lysate (20 µg/Lane)
Lane 7: PC-12 cell lysate (20 µg/Lane)

Predicted band size: 67 kDa
Observed band size: 67 kDa

Exposure time: Lane 1-4: 20 seconds; Lane 5-7: 1 minute 34 seconds; ECL: K1801;

4-20% SDS-PAGE gel.

Proteins were transferred to a PVDF membrane and blocked with 5% NFDM/TBST for 1 hour at room temperature. The primary antibody (HA722330) at 1/1,000 dilution was used in 5% NFDM/TBST at 4℃ overnight. Goat Anti-Rabbit IgG - HRP Secondary Antibody (HA1001) at 1/50,000 dilution was used for 1 hour at room temperature.
HA722330_2.jpg Fig2: Immunocytochemistry analysis of Jurkat cells labeling ABCE1 with Rabbit anti-ABCE1 antibody (HA722330) at 1/100 dilution.

Cells were fixed in 4% paraformaldehyde for 20 minutes at room temperature, permeabilized with 0.1% Triton X-100 in PBS for 5 minutes at room temperature, then blocked with 1% BSA in 10% negative goat serum for 1 hour at room temperature. Cells were then incubated with Rabbit anti-ABCE1 antibody (HA722330) at 1/100 dilution in 1% BSA in PBST overnight at 4 ℃. Goat Anti-Rabbit IgG H&L (iFluor™ 488, HA1121) was used as the secondary antibody at 1/1,000 dilution. PBS instead of the primary antibody was used as the secondary antibody only control. Nuclear DNA was labelled in blue with DAPI.

Beta tubulin (M1305-2, red) was stained at 1/100 dilution overnight at +4℃. Goat Anti-Mouse IgG H&L (iFluor™ 594, HA1126) was used as the secondary antibody at 1/1,000 dilution.
HA722330_3.jpg Fig3: Immunocytochemistry analysis of PC-12 cells labeling ABCE1 with Rabbit anti-ABCE1 antibody (HA722330) at 1/100 dilution.

Cells were fixed in 4% paraformaldehyde for 20 minutes at room temperature, permeabilized with 0.1% Triton X-100 in PBS for 5 minutes at room temperature, then blocked with 1% BSA in 10% negative goat serum for 1 hour at room temperature. Cells were then incubated with Rabbit anti-ABCE1 antibody (HA722330) at 1/100 dilution in 1% BSA in PBST overnight at 4 ℃. Goat Anti-Rabbit IgG H&L (iFluor™ 488, HA1121) was used as the secondary antibody at 1/1,000 dilution. PBS instead of the primary antibody was used as the secondary antibody only control. Nuclear DNA was labelled in blue with DAPI.

Beta tubulin (M1305-2, red) was stained at 1/100 dilution overnight at +4℃. Goat Anti-Mouse IgG H&L (iFluor™ 594, HA1126) was used as the secondary antibody at 1/1,000 dilution.
HA722330_4.jpg Fig4: Immunohistochemical analysis of paraffin-embedded mouse liver tissue with Rabbit anti-ABCE1 antibody (HA722330) at 1/200 dilution.

The section was pre-treated using heat mediated antigen retrieval with Tris-EDTA buffer (pH 9.0) for 20 minutes. The tissues were blocked in 1% BSA for 20 minutes at room temperature, washed with ddH2O and PBS, and then probed with the primary antibody (HA722330) at 1/200 dilution for 1 hour at room temperature. The detection was performed using an HRP conjugated compact polymer system. DAB was used as the chromogen. Tissues were counterstained with hematoxylin and mounted with DPX.
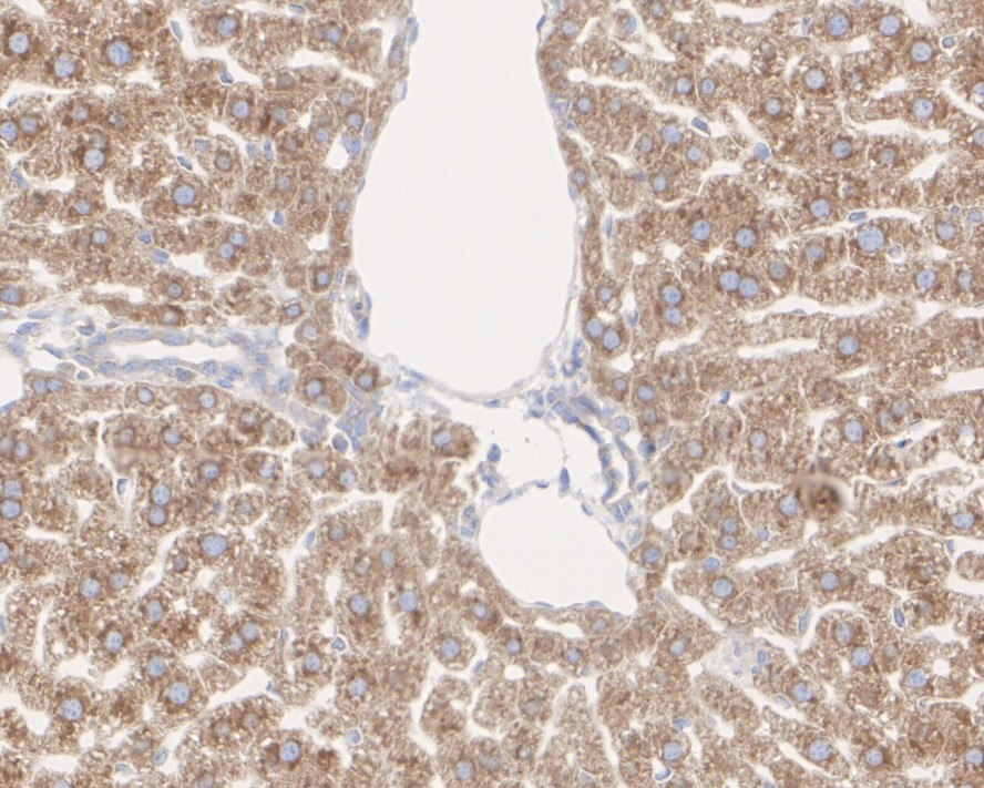
HA722330_5.jpg Fig5: Immunohistochemical analysis of paraffin-embedded rat liver tissue with Rabbit anti-ABCE1 antibody (HA722330) at 1/200 dilution.

The section was pre-treated using heat mediated antigen retrieval with Tris-EDTA buffer (pH 9.0) for 20 minutes. The tissues were blocked in 1% BSA for 20 minutes at room temperature, washed with ddH2O and PBS, and then probed with the primary antibody (HA722330) at 1/200 dilution for 1 hour at room temperature. The detection was performed using an HRP conjugated compact polymer system. DAB was used as the chromogen. Tissues were counterstained with hematoxylin and mounted with DPX.
HA722330_6.jpg Fig6: Flow cytometric analysis of Jurkat cells labeling ABCE1.

Cells were fixed and permeabilized. Then stained with the primary antibody (HA722330, 1/1,000) (red) compared with Rabbit IgG Isotype Control (green). After incubation of the primary antibody at +4℃ for an hour, the cells were stained with a iFluor™ 488 conjugate-Goat anti-Rabbit IgG Secondary antibody (HA1121) at 1/1,000 dilution for 30 minutes at +4℃. Unlabelled sample was used as a control (cells without incubation with primary antibody; black).
HA722330_7.jpg Fig7: Flow cytometric analysis of PC-12 cells labeling ABCE1.

Cells were fixed and permeabilized. Then stained with the primary antibody (HA722330, 1/1,000) (red) compared with Rabbit IgG Isotype Control (green). After incubation of the primary antibody at +4℃ for an hour, the cells were stained with a iFluor™ 488 conjugate-Goat anti-Rabbit IgG Secondary antibody (HA1121) at 1/1,000 dilution for 30 minutes at +4℃. Unlabelled sample was used as a control (cells without incubation with primary antibody; black).
HA722330_8.jpg Fig8: ABCE1 was immunoprecipitated from 0.2 mg Jurkat cell lysate with HA722330 at 2 µg/25 µl agarose. Western blot was performed from the immunoprecipitate using HA722330 at 1/1,000 dilution. Anti-Rabbit IgG for IP Nano-secondary antibody (NBI01H) at 1/5,000 dilution was used for 1 hour at room temperature.

Lane 1: Jurkat cell lysate (input)
Lane 2: HA722330 IP in Jurkat cell lysate
Lane 3: Rabbit IgG instead of HA722330 in Jurkat cell lysate

Blocking/Dilution buffer: 5% NFDM/TBST
Exposure time: 3 seconds; ECL: K1801
Note: All products are “FOR RESEARCH USE ONLY AND ARE NOT INTENDED FOR DIAGNOSTIC OR THERAPEUTIC USE”.