TBLR1 Recombinant Rabbit Monoclonal Antibody [JE36-19]
cat.: HA722331
Product Type: Recombinant Rabbit monoclonal IgG, primary antibodies
Species reactivity: Human, Mouse, Rat
Applications: WB, IF-Cell, IHC-P, FC
Clonality: Monoclonal
Clone number: JE36-19
Form: Liquid
Storage condition: Shipped at 4℃. Store at +4℃ short term (1-2 weeks). It is recommended to aliquot into single-use upon delivery. Store at -20℃ long term.
Storage buffer: 1*TBS (pH7.4), 0.05% BSA, 40% Glycerol. Preservative: 0.05% Sodium Azide.
Concentration: 1ug/ul
Purification: Protein A affinity purified.
Molecular weight: Predicted band size: 56 kDa
Isotype: IgG
Immunogen: Recombinant protein within Human TBLR1 aa 415-514 / 514.
Positive control: HT-29 cell lysate, HepG2 cell lysate, mouse brain tissue lysate, mouse thymus tissue lysate, rat brain tissue lysate, rat thymus tissue lysate, HT-29, human brain tissue, human thymus tissue, mouse brain tissue, mouse thymus tissue.
Subcellular location: Nucleus.
Recommended Dilutions:
  WB
  IF-Cell
  IHC-P
  FC

1:1,000
1:250
1:200-1:1,000
1:1,000
Uniprot #: SwissProt: Q9BZK7 Human | Q8BHJ5 Mouse
Entrez Gene: 365755 Rat
Alternative names: C21 DC42 F box like/WD repeat containing protein TBL1XR1 F-box-like/WD repeat-containing protein TBL1XR1 FLJ12894 IRA1 Nuclear receptor corepressor/HDAC3 complex subunit Nuclear receptor corepressor/HDAC3 complex subunit TBLR1 TBL1 related protein 1 TBL1-related protein 1 TBL1R_HUMAN TBL1XR1 TBLR1 Transducin (beta) like 1 X linked receptor 1 Transducin beta like 1X related protein 1 Transducin beta-like 1X-related protein 1
Images
HA722331_1.jpg Fig1: Western blot analysis of TBLR1 on different lysates with Rabbit anti-TBLR1 antibody (HA722331) at 1/1,000 dilution.

Lane 1: HT-29 cell lysate
Lane 2: HepG2 cell lysate
Lane 3: Mouse brain tissue lysate
Lane 4: Mouse thymus tissue lysate
Lane 5: Rat brain tissue lysate
Lane 6: Rat thymus tissue lysate

Lysates/proteins at 20 µg/Lane.

Predicted band size: 56 kDa
Observed band size: 56 kDa

Exposure time: 2 minutes; ECL: K1801;

4-20% SDS-PAGE gel.

Proteins were transferred to a PVDF membrane and blocked with 5% NFDM/TBST for 1 hour at room temperature. The primary antibody (HA722331) at 1/1,000 dilution was used in 5% NFDM/TBST at 4℃ overnight. Goat Anti-Rabbit IgG - HRP Secondary Antibody (HA1001) at 1/50,000 dilution was used for 1 hour at room temperature.
HA722331_2.jpg Fig2: Immunocytochemistry analysis of HT-29 cells labeling TBLR1 with Rabbit anti-TBLR1 antibody (HA722331) at 1/250 dilution.

Cells were fixed in 4% paraformaldehyde for 20 minutes at room temperature, permeabilized with 0.1% Triton X-100 in PBS for 5 minutes at room temperature, then blocked with 1% BSA in 10% negative goat serum for 1 hour at room temperature. Cells were then incubated with Rabbit anti-TBLR1 antibody (HA722331) at 1/250 dilution in 1% BSA in PBST overnight at 4 ℃. Goat Anti-Rabbit IgG H&L (iFluor™ 488, HA1121) was used as the secondary antibody at 1/1,000 dilution. PBS instead of the primary antibody was used as the secondary antibody only control. Nuclear DNA was labelled in blue with DAPI.

Beta tubulin (M1305-2, red) was stained at 1/100 dilution overnight at +4℃. Goat Anti-Mouse IgG H&L (iFluor™ 594, HA1126) was used as the secondary antibody at 1/1,000 dilution.
HA722331_3.jpg Fig3: Immunohistochemical analysis of paraffin-embedded human brain tissue with Rabbit anti-TBLR1 antibody (HA722331) at 1/200 dilution.

The section was pre-treated using heat mediated antigen retrieval with sodium citrate buffer (pH 6.0) for 2 minutes. The tissues were blocked in 1% BSA for 20 minutes at room temperature, washed with ddH2O and PBS, and then probed with the primary antibody (HA722331) at 1/200 dilution for 1 hour at room temperature. The detection was performed using an HRP conjugated compact polymer system. DAB was used as the chromogen. Tissues were counterstained with hematoxylin and mounted with DPX.
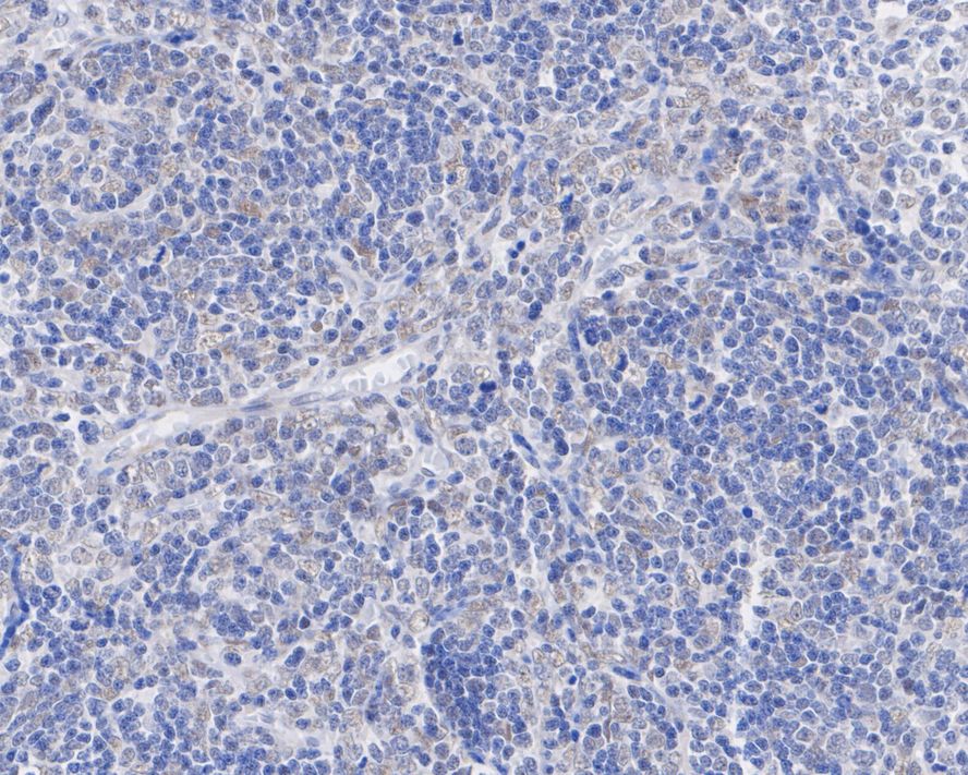
HA722331_4.jpg Fig4: Immunohistochemical analysis of paraffin-embedded human thymus tissue with Rabbit anti-TBLR1 antibody (HA722331) at 1/200 dilution.

The section was pre-treated using heat mediated antigen retrieval with sodium citrate buffer (pH 6.0) for 2 minutes. The tissues were blocked in 1% BSA for 20 minutes at room temperature, washed with ddH2O and PBS, and then probed with the primary antibody (HA722331) at 1/200 dilution for 1 hour at room temperature. The detection was performed using an HRP conjugated compact polymer system. DAB was used as the chromogen. Tissues were counterstained with hematoxylin and mounted with DPX.
HA722331_5.jpg Fig5: Immunohistochemical analysis of paraffin-embedded mouse brain tissue with Rabbit anti-TBLR1 antibody (HA722331) at 1/1,000 dilution.

The section was pre-treated using heat mediated antigen retrieval with sodium citrate buffer (pH 6.0) for 2 minutes. The tissues were blocked in 1% BSA for 20 minutes at room temperature, washed with ddH2O and PBS, and then probed with the primary antibody (HA722331) at 1/1,000 dilution for 1 hour at room temperature. The detection was performed using an HRP conjugated compact polymer system. DAB was used as the chromogen. Tissues were counterstained with hematoxylin and mounted with DPX.
HA722331_6.jpg Fig6: Immunohistochemical analysis of paraffin-embedded mouse thymus tissue with Rabbit anti-TBLR1 antibody (HA722331) at 1/200 dilution.

The section was pre-treated using heat mediated antigen retrieval with sodium citrate buffer (pH 6.0) for 2 minutes. The tissues were blocked in 1% BSA for 20 minutes at room temperature, washed with ddH2O and PBS, and then probed with the primary antibody (HA722331) at 1/200 dilution for 1 hour at room temperature. The detection was performed using an HRP conjugated compact polymer system. DAB was used as the chromogen. Tissues were counterstained with hematoxylin and mounted with DPX.
HA722331_7.jpg Fig7: Flow cytometric analysis of HT-29 cells labeling TBLR1.

Cells were fixed and permeabilized. Then stained with the primary antibody (HA722331, 1/1,000) (red) compared with Rabbit IgG Isotype Control (green). After incubation of the primary antibody at +4℃ for an hour, the cells were stained with a iFluor™ 488 conjugate-Goat anti-Rabbit IgG Secondary antibody (HA1121) at 1/1,000 dilution for 30 minutes at +4℃. Unlabelled sample was used as a control (cells without incubation with primary antibody; black).
Note: All products are “FOR RESEARCH USE ONLY AND ARE NOT INTENDED FOR DIAGNOSTIC OR THERAPEUTIC USE”.