Phospho-MAP2 (S136) Recombinant Rabbit Monoclonal Antibody [JE44-25]
cat.: HA722351
Product Type: Recombinant Rabbit monoclonal IgG, primary antibodies
Species reactivity: Mouse, Rat
Applications: WB, IHC-P, IHC-Fr, IF-Tissue
Clonality: Monoclonal
Clone number: JE44-25
Form: Liquid
Storage condition: Shipped at 4℃. Store at +4℃ short term (1-2 weeks). It is recommended to aliquot into single-use upon delivery. Store at -20℃ long term.
Storage buffer: 1*TBS (pH7.4), 0.05% BSA, 40% Glycerol. Preservative: 0.05% Sodium Azide.
Concentration: 1ug/ul
Purification: Protein A affinity purified.
Molecular weight: Predicted band size: 200 kDa
Isotype: IgG
Immunogen: Synthetic phosphopeptide corresponding to residues surrounding Ser136 of human MAP2.
Positive control: Mouse brain tissue lysate, rat brain tissue lysate, human brain tissue, mouse brain tissue, rat brain tissue.
Subcellular location: Cytoplasm, cytoskeleton, Cell projection, dendrite.
Recommended Dilutions:
  WB
  IHC-P
  IHC-Fr
  IF-Tissue

1:1,000
1:1,000
1:100
1:200
Uniprot #: SwissProt: P20357 Mouse | P15146 Rat
Alternative names: DKFZp686I2148 MAP 2 MAP dendrite specific MAP-2 MAP2 MAP2A MAP2B MAP2C Microtubule associated protein 2 Microtubule-associated protein 2 MTAP2_HUMAN
Images
HA722351_1.jpg Fig1: Western blot analysis of Phospho-MAP2 (S136) on different lysates with Rabbit anti-Phospho-MAP2 (S136) antibody (HA722351) at 1/1,000 dilution.

Lane 1: Mouse brain tissue lysate
Lane 2: Rat brain tissue lysate

Lysates/proteins at 30 µg/Lane.

Predicted band size: 200 kDa
Observed band size: 200 kDa

Exposure time: 3 minutes; ECL: K1801;
4-20% SDS-PAGE gel.

Proteins were transferred to a PVDF membrane and blocked with 5% NFDM/TBST for 1 hour at room temperature. The primary antibody (HA722351) at 1/1,000 dilution was used in 5% NFDM/TBST at 4℃ overnight. Goat Anti-Rabbit IgG - HRP Secondary Antibody (HA1001) at 1/50,000 dilution was used for 1 hour at room temperature.
HA722351_2.jpg Fig2: Immunohistochemical analysis of paraffin-embedded human brain tissue untreated / treated with λpp with Rabbit anti-Phospho-MAP2 (S136) antibody (HA722351) at 1/1,000 dilution.

The section was pre-treated using heat mediated antigen retrieval with Tris-EDTA buffer (pH 9.0) for 20 minutes. The tissues were blocked in 1% BSA for 20 minutes at room temperature, washed with ddH2O and PBS, and then probed with the primary antibody (HA722351) at 1/1,000 dilution for 1 hour at room temperature. The detection was performed using an HRP conjugated compact polymer system. DAB was used as the chromogen. Tissues were counterstained with hematoxylin and mounted with DPX.
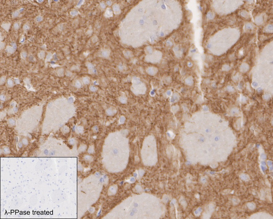
HA722351_3.jpg Fig3: Immunohistochemical analysis of paraffin-embedded mouse brain tissue untreated / treated with λpp with Rabbit anti-Phospho-MAP2 (S136) antibody (HA722351) at 1/1,000 dilution.

The section was pre-treated using heat mediated antigen retrieval with Tris-EDTA buffer (pH 9.0) for 20 minutes. The tissues were blocked in 1% BSA for 20 minutes at room temperature, washed with ddH2O and PBS, and then probed with the primary antibody (HA722351) at 1/1,000 dilution for 1 hour at room temperature. The detection was performed using an HRP conjugated compact polymer system. DAB was used as the chromogen. Tissues were counterstained with hematoxylin and mounted with DPX.
HA722351_4.jpg Fig4: Immunohistochemical analysis of paraffin-embedded rat brain tissue untreated / treated with λpp with Rabbit anti-Phospho-MAP2 (S136) antibody (HA722351) at 1/1,000 dilution.

The section was pre-treated using heat mediated antigen retrieval with Tris-EDTA buffer (pH 9.0) for 20 minutes. The tissues were blocked in 1% BSA for 20 minutes at room temperature, washed with ddH2O and PBS, and then probed with the primary antibody (HA722351) at 1/1,000 dilution for 1 hour at room temperature. The detection was performed using an HRP conjugated compact polymer system. DAB was used as the chromogen. Tissues were counterstained with hematoxylin and mounted with DPX.
HA722351_5.jpg Fig5: Immunofluorescence analysis of frozen mouse brain tissue with Rabbit anti-Phospho-MAP2 (S136) antibody (HA722351) at 1/100 dilution.

The section was pre-treated using heat mediated antigen retrieval with sodium citrate buffer (pH 6.0) for about 2 minutes in microwave oven. The tissues were blocked in 10% negative goat serum for 1 hour at room temperature, washed with PBS, and then probed with the primary antibody (HA722351, green) at 1/100 dilution overnight at 4 ℃, washed with PBS. Goat Anti-Rabbit IgG H&L (iFluor™ 488, HA1121) was used as the secondary antibody at 1/1,000 dilution. Nuclei were counterstained with DAPI (blue).
Note: All products are “FOR RESEARCH USE ONLY AND ARE NOT INTENDED FOR DIAGNOSTIC OR THERAPEUTIC USE”.