DCAF13 Recombinant Rabbit Monoclonal Antibody [JE46-31]
cat.: HA722352
Product Type: Recombinant Rabbit monoclonal IgG, primary antibodies
Species reactivity: Human, Mouse, Rat
Applications: WB, IHC-P, IP
Clonality: Monoclonal
Clone number: JE46-31
Form: Liquid
Storage condition: Shipped at 4℃. Store at +4℃ short term (1-2 weeks). It is recommended to aliquot into single-use upon delivery. Store at -20℃ long term.
Storage buffer: 1*TBS (pH7.4), 0.05% BSA, 40% Glycerol. Preservative: 0.05% Sodium Azide.
Concentration: 1ug/ul
Purification: Protein A affinity purified.
Molecular weight: Predicted band size: 51 kDa
Isotype: IgG
Immunogen: Recombinant protein within Human DCAF13 aa 1-100 / 445.
Positive control: HeLa cell lysate, 293T cell lysate, NIH/3T3 cell lysate, Neuro-2a cell lysate, PC-12 cell lysate, mouse colon tissue, mouse ovary tissue, rat ovary tissue.
Subcellular location: Nucleus, nucleolus.
Recommended Dilutions:
  WB
  IHC-P
  IP

1:1,000
1:200
1-2μg/sample
Uniprot #: SwissProt: Q9NV06 Human | Q6PAC3 Mouse
Entrez Gene: 362902 Rat
Alternative names: DCA13_HUMAN DCAF13 DDB1 and CUL4 associated factor 13 DDB1- and CUL4-associated factor 13 DKFZP564O0463 GM83 HSPC064 MGC126859 MGC138247 WD repeat and SOF domain-containing protein 1 WD repeats and SOF1 domain containing WDSOF1
Images
HA722352_1.jpg Fig1: Western blot analysis of DCAF13 on different lysates with Rabbit anti-DCAF13 antibody (HA722352) at 1/1,000 dilution.

Lane 1: HeLa cell lysate (20 µg/Lane)
Lane 2: 293T cell lysate (20 µg/Lane)
Lane 3: NIH/3T3 cell lysate (20 µg/Lane)
Lane 4: Neuro-2a cell lysate (20 µg/Lane)
Lane 5: PC-12 cell lysate (20 µg/Lane)

Predicted band size: 51 kDa
Observed band size: 49 kDa

Exposure time: 6 seconds; ECL: K1801;
4-20% SDS-PAGE gel.

Proteins were transferred to a PVDF membrane and blocked with 5% NFDM/TBST for 1 hour at room temperature. The primary antibody (HA722352) at 1/1,000 dilution was used in 5% NFDM/TBST at 4℃ overnight. Goat Anti-Rabbit IgG - HRP Secondary Antibody (HA1001) at 1/50,000 dilution was used for 1 hour at room temperature.
HA722352_2.jpg Fig2: Immunohistochemical analysis of paraffin-embedded mouse colon tissue with Rabbit anti-DCAF13 antibody (HA722352) at 1/200 dilution.

The section was pre-treated using heat mediated antigen retrieval with sodium citrate buffer (pH 6.0) for 2 minutes. The tissues were blocked in 1% BSA for 20 minutes at room temperature, washed with ddH2O and PBS, and then probed with the primary antibody (HA722352) at 1/200 dilution for 1 hour at room temperature. The detection was performed using an HRP conjugated compact polymer system. DAB was used as the chromogen. Tissues were counterstained with hematoxylin and mounted with DPX.
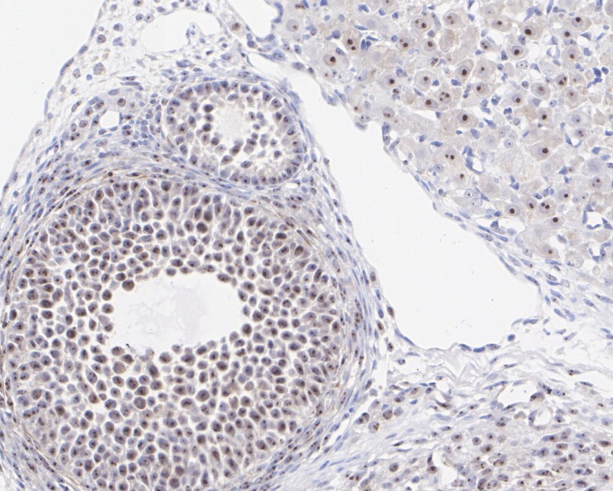
HA722352_3.jpg Fig3: Immunohistochemical analysis of paraffin-embedded mouse ovary tissue with Rabbit anti-DCAF13 antibody (HA722352) at 1/200 dilution.

The section was pre-treated using heat mediated antigen retrieval with sodium citrate buffer (pH 6.0) for 2 minutes. The tissues were blocked in 1% BSA for 20 minutes at room temperature, washed with ddH2O and PBS, and then probed with the primary antibody (HA722352) at 1/200 dilution for 1 hour at room temperature. The detection was performed using an HRP conjugated compact polymer system. DAB was used as the chromogen. Tissues were counterstained with hematoxylin and mounted with DPX.
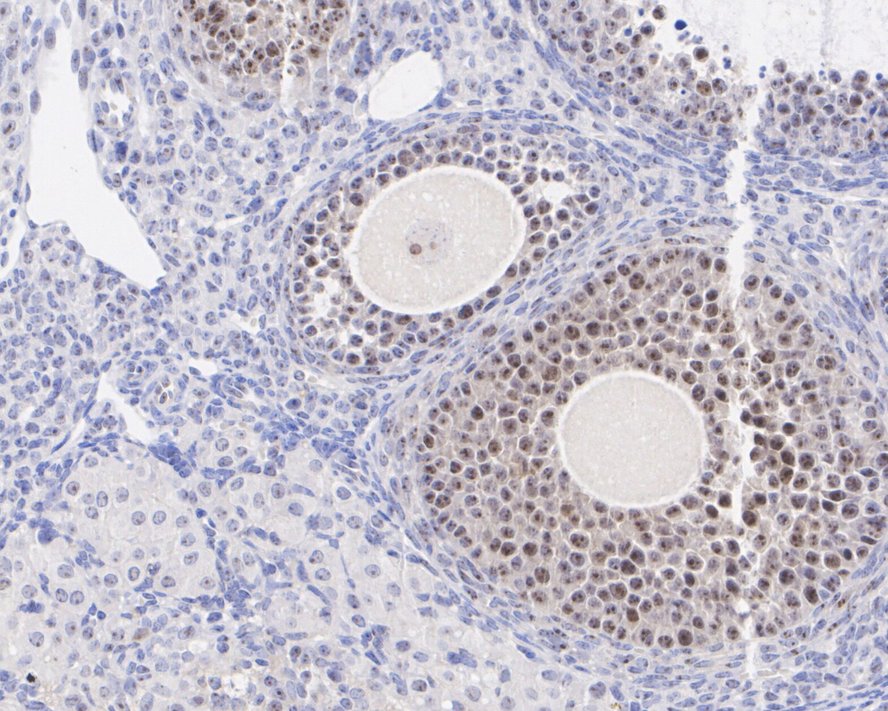
HA722352_4.jpg Fig4: Immunohistochemical analysis of paraffin-embedded rat ovary tissue with Rabbit anti-DCAF13 antibody (HA722352) at 1/200 dilution.

The section was pre-treated using heat mediated antigen retrieval with sodium citrate buffer (pH 6.0) for 2 minutes. The tissues were blocked in 1% BSA for 20 minutes at room temperature, washed with ddH2O and PBS, and then probed with the primary antibody (HA722352) at 1/200 dilution for 1 hour at room temperature. The detection was performed using an HRP conjugated compact polymer system. DAB was used as the chromogen. Tissues were counterstained with hematoxylin and mounted with DPX.
HA722352_5.jpg Fig5: DCAF13 was immunoprecipitated from 0.2 mg 293T cell lysate with HA722352 at 2 µg/25 µl agarose. Western blot was performed from the immunoprecipitate using HA722352 at 1/5,000 dilution. Anti-Rabbit IgG for IP Nano-secondary antibody (NBI01H) at 1/5,000 dilution was used for 1 hour at room temperature.

Lane 1: 293T cell lysate (input)
Lane 2: HA722352 IP in 293T cell lysate
Lane 3: Rabbit IgG instead of HA722352 in 293T cell lysate

Blocking/Dilution buffer: 5% NFDM/TBST
Exposure time: 2 minutes; ECL: K1801
Note: All products are “FOR RESEARCH USE ONLY AND ARE NOT INTENDED FOR DIAGNOSTIC OR THERAPEUTIC USE”.