RAIDD Recombinant Rabbit Monoclonal Antibody [JE47-11]
cat.: HA722353
Product Type: Recombinant Rabbit monoclonal IgG, primary antibodies
Species reactivity: Human, Rat
Applications: WB, IHC-P
Clonality: Monoclonal
Clone number: JE47-11
Form: Liquid
Storage condition: Shipped at 4℃. Store at +4℃ short term (1-2 weeks). It is recommended to aliquot into single-use upon delivery. Store at -20℃ long term.
Storage buffer: 1*TBS (pH7.4), 0.05% BSA, 40% Glycerol. Preservative: 0.05% Sodium Azide.
Concentration: 1ug/ul
Purification: Protein A affinity purified.
Molecular weight: Predicted band size: 23 kDa
Isotype: IgG
Immunogen: Synthetic peptide within human RAIDD aa 100-199.
Positive control: Raji cell lysate, HeLa cell lysate, K-562 cell lysate, rat heart tissue lysate, rat testis tissue lysate, human heart tissue, human testis tissue.
Subcellular location: Cytoplasm, Nucleus.
Recommended Dilutions:
  WB
  IHC-P

1:1,000
1:200
Uniprot #: SwissProt: P78560 Human
Entrez Gene: 314756 Rat
Alternative names: CASP2 and RIPK1 domain containing adaptor with death domain Caspase and RIP adapter with death domain Caspase and RIP adaptor with death domain Cradd CRADD_HUMAN Death adaptor molecule RAIDD Death domain containing protein CRADD Death domain-containing protein CRADD MGC9163 RIP associated ICH1/CED3 homologous protein with death domain RIP associated protein with a death domain RIP-associated protein with a death domain
Images
HA722353_1.jpg Fig1: Western blot analysis of RAIDD on different lysates with Rabbit anti-RAIDD antibody (HA722353) at 1/1,000 dilution.

Lane 1: Raji cell lysate
Lane 2: HeLa cell lysate
Lane 3: K-562 cell lysate
Lane 4: Rat heart tissue lysate
Lane 5: Rat testis tissue lysate

Lysates/proteins at 20 µg/Lane.

Predicted band size: 23 kDa
Observed band size: 23 kDa

Exposure time: 3 minutes; ECL: K1801;

4-20% SDS-PAGE gel.

Proteins were transferred to a PVDF membrane and blocked with 5% NFDM/TBST for 1 hour at room temperature. The primary antibody (HA722353) at 1/1,000 dilution was used in 5% NFDM/TBST at 4℃ overnight. Goat Anti-Rabbit IgG - HRP Secondary Antibody (HA1001) at 1/50,000 dilution was used for 1 hour at room temperature.
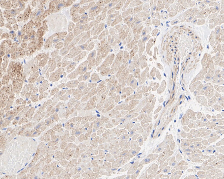
HA722353_2.jpg Fig2: Immunohistochemical analysis of paraffin-embedded human heart tissue with Rabbit anti-RAIDD antibody (HA722353) at 1/200 dilution.

The section was pre-treated using heat mediated antigen retrieval with Tris-EDTA buffer (pH 9.0) for 20 minutes. The tissues were blocked in 1% BSA for 20 minutes at room temperature, washed with ddH2O and PBS, and then probed with the primary antibody (HA722353) at 1/200 dilution for 1 hour at room temperature. The detection was performed using an HRP conjugated compact polymer system. DAB was used as the chromogen. Tissues were counterstained with hematoxylin and mounted with DPX.
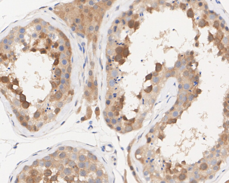
HA722353_3.jpg Fig3: Immunohistochemical analysis of paraffin-embedded human testis tissue with Rabbit anti-RAIDD antibody (HA722353) at 1/200 dilution.

The section was pre-treated using heat mediated antigen retrieval with Tris-EDTA buffer (pH 9.0) for 20 minutes. The tissues were blocked in 1% BSA for 20 minutes at room temperature, washed with ddH2O and PBS, and then probed with the primary antibody (HA722353) at 1/200 dilution for 1 hour at room temperature. The detection was performed using an HRP conjugated compact polymer system. DAB was used as the chromogen. Tissues were counterstained with hematoxylin and mounted with DPX.
Note: All products are “FOR RESEARCH USE ONLY AND ARE NOT INTENDED FOR DIAGNOSTIC OR THERAPEUTIC USE”.