MYL12B Recombinant Rabbit Monoclonal Antibody [JE62-13]
cat.: HA722355
Product Type: Recombinant Rabbit monoclonal IgG, primary antibodies
Species reactivity: Human, Mouse, Rat
Applications: WB, IF-Cell, IHC-P, FC
Clonality: Monoclonal
Clone number: JE62-13
Form: Liquid
Storage condition: Shipped at 4℃. Store at +4℃ short term (1-2 weeks). It is recommended to aliquot into single-use upon delivery. Store at -20℃ long term.
Storage buffer: 1*TBS (pH7.4), 0.05% BSA, 40% Glycerol. Preservative: 0.05% Sodium Azide.
Concentration: 1ug/ul
Purification: Protein A affinity purified.
Molecular weight: Predicted band size: 20 kDa
Isotype: IgG
Immunogen: Synthetic peptide within Human MYL12B aa 123-172 / 172.
Positive control: Jurkat cell lysate, K-562 cell lysate, NIH/3T3 cell lysate, C6 cell lysate, Jurkat, NIH/3T3, C6, human colon tissue, human skeletal muscle tissue, mouse skeletal muscle tissue, rat skeletal muscle tissue.
Subcellular location: Apical part of cell, brush border, cell cortex, cytoplasm, cytosol, extracellular exosome, myofibril, myosin II complex, stress fiber, Z disc.
Recommended Dilutions:
  WB
  IF-Cell
  IHC-P
  FC

1:1,000
1:100
1:500-1:1,000
1:1,000
Uniprot #: SwissProt: O14950 Human | Q3THE2 Mouse | P18666 Rat
Alternative names: ML12B_HUMAN MLC 2A MLC-2 MLC-2a MLC-B MLC20 MRLC2 MYL12B MYLC2B Myosin light chain 12B regulatory Myosin regulatory light chain 12B myosin regulatory light chain 2 Myosin regulatory light chain 2-B myosin regulatory light chain 2-B, smooth muscle isoform Myosin regulatory light chain 20 kDa Myosin regulatory light chain MRLC2 myosin, light chain 12B, regulatory OTTHUMP00000162244 OTTHUMP00000165806 OTTHUMP00000165807 OTTHUMP00000165808 SHUJUN-1 smooth muscle isoform
Images
HA722355_1.jpg Fig1: Western blot analysis of MYL12B on different lysates with Rabbit anti-MYL12B antibody (HA722355) at 1/1,000 dilution.

Lane 1: Jurkat cell lysate
Lane 2: K-562 cell lysate
Lane 3: NIH/3T3 cell lysate
Lane 4: C6 cell lysate

Lysates/proteins at 20 µg/Lane.

Predicted band size: 20 kDa
Observed band size: 20 kDa

Exposure time: 3 minutes; ECL: K1801;

4-20% SDS-PAGE gel.

Proteins were transferred to a PVDF membrane and blocked with 5% NFDM/TBST for 1 hour at room temperature. The primary antibody (HA722355) at 1/1,000 dilution was used in 5% NFDM/TBST at 4℃ overnight. Goat Anti-Rabbit IgG - HRP Secondary Antibody (HA1001) at 1/50,000 dilution was used for 1 hour at room temperature.
HA722355_2.jpg Fig2: Immunocytochemistry analysis of Jurkat cells labeling MYL12B with Rabbit anti-MYL12B antibody (HA722355) at 1/100 dilution.

Cells were fixed in 4% paraformaldehyde for 20 minutes at room temperature, permeabilized with 0.1% Triton X-100 in PBS for 5 minutes at room temperature, then blocked with 1% BSA in 10% negative goat serum for 1 hour at room temperature. Cells were then incubated with Rabbit anti-MYL12B antibody (HA722355) at 1/100 dilution in 1% BSA in PBST overnight at 4 ℃. Goat Anti-Rabbit IgG H&L (iFluor™ 488, HA1121) was used as the secondary antibody at 1/1,000 dilution. PBS instead of the primary antibody was used as the secondary antibody only control. Nuclear DNA was labelled in blue with DAPI.

Beta tubulin (M1305-2, red) was stained at 1/100 dilution overnight at +4℃. Goat Anti-Mouse IgG H&L (iFluor™ 594, HA1126) was used as the secondary antibody at 1/1,000 dilution.
HA722355_3.jpg Fig3: Immunocytochemistry analysis of NIH/3T3 cells labeling MYL12B with Rabbit anti-MYL12B antibody (HA722355) at 1/100 dilution.

Cells were fixed in 4% paraformaldehyde for 20 minutes at room temperature, permeabilized with 0.1% Triton X-100 in PBS for 5 minutes at room temperature, then blocked with 1% BSA in 10% negative goat serum for 1 hour at room temperature. Cells were then incubated with Rabbit anti-MYL12B antibody (HA722355) at 1/100 dilution in 1% BSA in PBST overnight at 4 ℃. Goat Anti-Rabbit IgG H&L (iFluor™ 488, HA1121) was used as the secondary antibody at 1/1,000 dilution. PBS instead of the primary antibody was used as the secondary antibody only control. Nuclear DNA was labelled in blue with DAPI.

Beta tubulin (M1305-2, red) was stained at 1/100 dilution overnight at +4℃. Goat Anti-Mouse IgG H&L (iFluor™ 594, HA1126) was used as the secondary antibody at 1/1,000 dilution.
HA722355_4.jpg Fig4: Immunocytochemistry analysis of C6 cells labeling MYL12B with Rabbit anti-MYL12B antibody (HA722355) at 1/100 dilution.

Cells were fixed in 4% paraformaldehyde for 20 minutes at room temperature, permeabilized with 0.1% Triton X-100 in PBS for 5 minutes at room temperature, then blocked with 1% BSA in 10% negative goat serum for 1 hour at room temperature. Cells were then incubated with Rabbit anti-MYL12B antibody (HA722355) at 1/100 dilution in 1% BSA in PBST overnight at 4 ℃. Goat Anti-Rabbit IgG H&L (iFluor™ 488, HA1121) was used as the secondary antibody at 1/1,000 dilution. PBS instead of the primary antibody was used as the secondary antibody only control. Nuclear DNA was labelled in blue with DAPI.

Beta tubulin (M1305-2, red) was stained at 1/100 dilution overnight at +4℃. Goat Anti-Mouse IgG H&L (iFluor™ 594, HA1126) was used as the secondary antibody at 1/1,000 dilution.
HA722355_5.jpg Fig5: Flow cytometric analysis of Jurkat cells labeling MYL12B.

Cells were fixed and permeabilized. Then stained with the primary antibody (HA722355, 1/1,000) (red) compared with Rabbit IgG Isotype Control (green). After incubation of the primary antibody at +4℃ for an hour, the cells were stained with a iFluor™ 488 conjugate-Goat anti-Rabbit IgG Secondary antibody (HA1121) at 1/1,000 dilution for 30 minutes at +4℃. Unlabelled sample was used as a control (cells without incubation with primary antibody; black).
HA722355_6.jpg Fig6: Flow cytometric analysis of C6 cells labeling MYL12B.

Cells were fixed and permeabilized. Then stained with the primary antibody (HA722355, 1/1,000) (red) compared with Rabbit IgG Isotype Control (green). After incubation of the primary antibody at +4℃ for an hour, the cells were stained with a iFluor™ 488 conjugate-Goat anti-Rabbit IgG Secondary antibody (HA1121) at 1/1,000 dilution for 30 minutes at +4℃. Unlabelled sample was used as a control (cells without incubation with primary antibody; black).
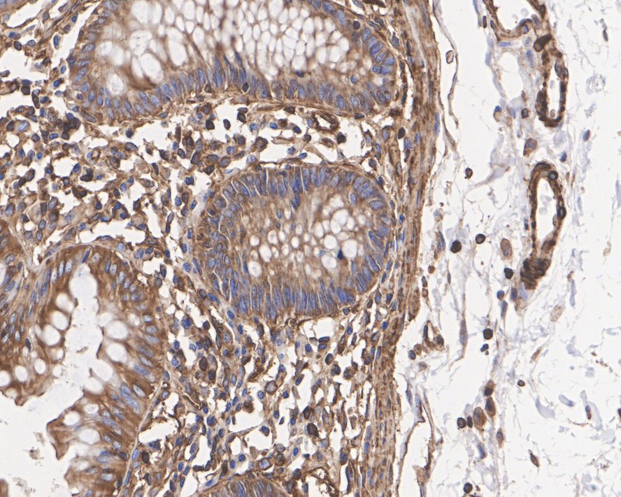
HA722355_7.jpg Fig7: Immunohistochemical analysis of paraffin-embedded human colon tissue with Rabbit anti-MYL12B antibody (HA722355) at 1/1,000 dilution.

The section was pre-treated using heat mediated antigen retrieval with Tris-EDTA buffer (pH 9.0) for 20 minutes. The tissues were blocked in 1% BSA for 20 minutes at room temperature, washed with ddH2O and PBS, and then probed with the primary antibody (HA722355) at 1/1,000 dilution for 1 hour at room temperature. The detection was performed using an HRP conjugated compact polymer system. DAB was used as the chromogen. Tissues were counterstained with hematoxylin and mounted with DPX.
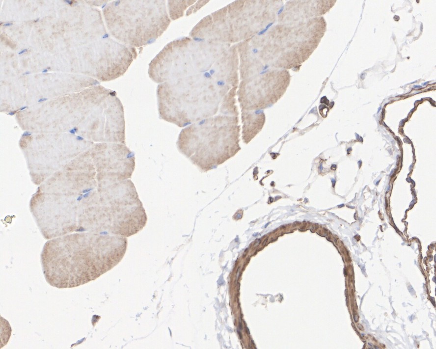
HA722355_8.jpg Fig8: Immunohistochemical analysis of paraffin-embedded human skeletal muscle tissue with Rabbit anti-MYL12B antibody (HA722355) at 1/500 dilution.

The section was pre-treated using heat mediated antigen retrieval with Tris-EDTA buffer (pH 9.0) for 20 minutes. The tissues were blocked in 1% BSA for 20 minutes at room temperature, washed with ddH2O and PBS, and then probed with the primary antibody (HA722355) at 1/500 dilution for 1 hour at room temperature. The detection was performed using an HRP conjugated compact polymer system. DAB was used as the chromogen. Tissues were counterstained with hematoxylin and mounted with DPX.
HA722355_9.jpg Fig9: Immunohistochemical analysis of paraffin-embedded mouse skeletal muscle tissue with Rabbit anti-MYL12B antibody (HA722355) at 1/500 dilution.

The section was pre-treated using heat mediated antigen retrieval with Tris-EDTA buffer (pH 9.0) for 20 minutes. The tissues were blocked in 1% BSA for 20 minutes at room temperature, washed with ddH2O and PBS, and then probed with the primary antibody (HA722355) at 1/500 dilution for 1 hour at room temperature. The detection was performed using an HRP conjugated compact polymer system. DAB was used as the chromogen. Tissues were counterstained with hematoxylin and mounted with DPX.
HA722355_10.jpg Fig10: Immunohistochemical analysis of paraffin-embedded rat skeletal muscle tissue with Rabbit anti-MYL12B antibody (HA722355) at 1/500 dilution.

The section was pre-treated using heat mediated antigen retrieval with Tris-EDTA buffer (pH 9.0) for 20 minutes. The tissues were blocked in 1% BSA for 20 minutes at room temperature, washed with ddH2O and PBS, and then probed with the primary antibody (HA722355) at 1/500 dilution for 1 hour at room temperature. The detection was performed using an HRP conjugated compact polymer system. DAB was used as the chromogen. Tissues were counterstained with hematoxylin and mounted with DPX.
Note: All products are “FOR RESEARCH USE ONLY AND ARE NOT INTENDED FOR DIAGNOSTIC OR THERAPEUTIC USE”.