ENDOGL1 / ENGL Recombinant Rabbit Monoclonal Antibody [JE63-12]
cat.: HA722356
Product Type: Recombinant Rabbit monoclonal IgG, primary antibodies
Species reactivity: Human
Applications: WB, IHC-P, IP
Clonality: Monoclonal
Clone number: JE63-12
Form: Liquid
Storage condition: Shipped at 4℃. Store at +4℃ short term (1-2 weeks). It is recommended to aliquot into single-use upon delivery. Store at -20℃ long term.
Storage buffer: 1*TBS (pH7.4), 0.05% BSA, 40% Glycerol. Preservative: 0.05% Sodium Azide.
Concentration: 1ug/ul
Purification: Protein A affinity purified.
Molecular weight: Predicted band size: 41 kDa
Isotype: IgG
Immunogen: Synthetic peptide within Human ENDOGL1 / ENGL aa 341-390 / 368.
Positive control: HeLa cell lysate, HepG2 cell lysate, HUVEC cell lysate, HL-60 cell lysate, MCF7 cell lysate, human heart tissue.
Subcellular location: Mitochondrion inner membrane.
Recommended Dilutions:
  WB
  IHC-P
  IP

1:1,000
1:200-1:1,000
1-2μg/sample
Uniprot #: SwissProt: Q9Y2C4 Human
Alternative names: Endo G like 1 Endo G-like 1 Endo/exonuclease (5'-3'), endonuclease G like ENDOGL 1 ENDOGL1 ENDOGL2 Endonuclease G like 1 Endonuclease G like 2 Endonuclease G-like 1 ENGL a ENGL ENGL B ENGLA ENGLB Exog EXOG_HUMAN MGC125944 MGC125945 mitochondrial Nuclease EXOG Nuclease EXOG mitochondrial
Images
HA722356_1.jpg Fig1: Western blot analysis of ENDOGL1 / ENGL on different lysates with Rabbit anti-ENDOGL1 / ENGL antibody (HA722356) at 1/1,000 dilution.

Lane 1: HeLa cell lysate
Lane 2: HepG2 cell lysate
Lane 3: HUVEC cell lysate
Lane 4: HL-60 cell lysate
Lane 5: MCF7 cell lysate

Lysates/proteins at 20 µg/Lane.

Predicted band size: 41 kDa
Observed band size: 41 kDa

Exposure time: 1 minute 50 seconds; ECL: K1801;

4-20% SDS-PAGE gel.

Proteins were transferred to a PVDF membrane and blocked with 5% NFDM/TBST for 1 hour at room temperature. The primary antibody (HA722356) at 1/1,000 dilution was used in 5% NFDM/TBST at 4℃ overnight. Goat Anti-Rabbit IgG - HRP Secondary Antibody (HA1001) at 1/50,000 dilution was used for 1 hour at room temperature.
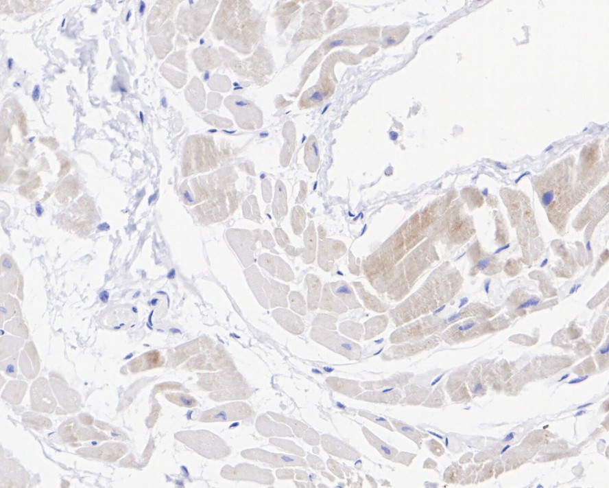
HA722356_2.jpg Fig2: Immunohistochemical analysis of paraffin-embedded human heart tissue with Rabbit anti-ENDOGL1 / ENGL antibody (HA722356) at 1/1,000 dilution.

The section was pre-treated using heat mediated antigen retrieval with Tris-EDTA buffer (pH 9.0) for 20 minutes. The tissues were blocked in 1% BSA for 20 minutes at room temperature, washed with ddH2O and PBS, and then probed with the primary antibody (HA722356) at 1/1,000 dilution for 1 hour at room temperature. The detection was performed using an HRP conjugated compact polymer system. DAB was used as the chromogen. Tissues were counterstained with hematoxylin and mounted with DPX.
HA722356_3.jpg Fig3: ENDOGL1 / ENGL was immunoprecipitated from 0.2 mg HUVEC cell lysate with HA722356 at 2 µg/10 µl beads. Western blot was performed from the immunoprecipitate using HA722356 at 1/1,000 dilution. HRP Conjugated Anti-Rabbit IgG for IP Nano-secondary antibody at 1/5,000 dilution was used for 1 hour at room temperature.

Lane 1: HUVEC cell lysate (input)
Lane 2: HA722356 IP in HUVEC cell lysate
Lane 3: Rabbit IgG instead of HA722356 in HUVEC cell lysate

Blocking/Dilution buffer: primary antibody dilution (K1803)
Exposure time: 10 seconds; ECL: K1801
Note: All products are “FOR RESEARCH USE ONLY AND ARE NOT INTENDED FOR DIAGNOSTIC OR THERAPEUTIC USE”.