NgR3 Recombinant Rabbit Monoclonal Antibody [JE64-44]
cat.: HA722362
Product Type: Recombinant Rabbit monoclonal IgG, primary antibodies
Species reactivity: Human, Mouse, Rat
Applications: WB, IF-Cell, IHC-P
Clonality: Monoclonal
Clone number: JE64-44
Form: Liquid
Storage condition: Shipped at 4℃. Store at +4℃ short term (1-2 weeks). It is recommended to aliquot into single-use upon delivery. Store at -20℃ long term.
Storage buffer: 1*TBS (pH7.4), 0.05% BSA, 40% Glycerol. Preservative: 0.05% Sodium Azide.
Concentration: 1ug/ul
Purification: Protein A affinity purified.
Molecular weight: Predicted band size: 49 kDa
Isotype: IgG
Immunogen: Synthetic peptide within Human NgR3 aa 351-400 / 441.
Positive control: SH-SY5Y cell lysate, K-562 cell lysate, RAW264.7 cell lysate, C6 cell lysate, mouse brain tissue lysate, rat brain tissue lysate, C6, human brain tissue, mouse brain tissue, rat brain tissue.
Subcellular location: Cell membrane, Membrane raft, Perikaryon, Cell projection.
Recommended Dilutions:
  WB
  IF-Cell
  IHC-P

1:1,000
1:100
1:1,000-1:3,000
Uniprot #: SwissProt: Q86UN2 Human | Q8K0S5 Mouse | Q80WD0 Rat
Alternative names: DKFZp547J144 NgR 3 NgR3 NGRH 2 NGRH2 NGRL2 Nogo 66 receptor homolog 2 Nogo 66 receptor related protein 3 Nogo receptor like 2 Nogo receptor-like 2 Nogo-66 receptor homolog 2 Nogo-66 receptor-related protein 3 R4RL1_HUMAN Reticulon 4 receptor like 1 Reticulon-4 receptor-like 1 RTN4RL1
Images
HA722362_1.jpg Fig1: Western blot analysis of NgR3 on different lysates with Rabbit anti-NgR3 antibody (HA722362) at 1/1,000 dilution.

Lane 1: SH-SY5Y cell lysate
Lane 2: K-562 cell lysate
Lane 3: RAW264.7 cell lysate
Lane 4: C6 cell lysate
Lane 5: Mouse brain tissue lysate
Lane 6: Rat brain tissue lysate

Lysates/proteins at 20 µg/Lane.

Predicted band size: 49 kDa
Observed band size: 49 kDa

Exposure time: 59 seconds; ECL: K1801;

4-20% SDS-PAGE gel.

Proteins were transferred to a PVDF membrane and blocked with 5% NFDM/TBST for 1 hour at room temperature. The primary antibody (HA722362) at 1/1,000 dilution was used in 5% NFDM/TBST at 4℃ overnight. Goat Anti-Rabbit IgG - HRP Secondary Antibody (HA1001) at 1/50,000 dilution was used for 1 hour at room temperature.
HA722362_2.jpg Fig2: Immunocytochemistry analysis of C6 cells labeling NgR3 with Rabbit anti-NgR3 antibody (HA722362) at 1/100 dilution.

Cells were fixed in 4% paraformaldehyde for 20 minutes at room temperature, permeabilized with 0.1% Triton X-100 in PBS for 5 minutes at room temperature, then blocked with 1% BSA in 10% negative goat serum for 1 hour at room temperature. Cells were then incubated with Rabbit anti-NgR3 antibody (HA722362) at 1/100 dilution in 1% BSA in PBST overnight at 4 ℃. Goat Anti-Rabbit IgG H&L (iFluor™ 488, HA1121) was used as the secondary antibody at 1/1,000 dilution. PBS instead of the primary antibody was used as the secondary antibody only control. Nuclear DNA was labelled in blue with DAPI.

Beta tubulin (M1305-2, red) was stained at 1/100 dilution overnight at +4℃. Goat Anti-Mouse IgG H&L (iFluor™ 594, HA1126) was used as the secondary antibody at 1/1,000 dilution.
HA722362_3.jpg Fig3: Immunohistochemical analysis of paraffin-embedded human brain tissue with Rabbit anti-NgR3 antibody (HA722362) at 1/1,000 dilution.

The section was pre-treated using heat mediated antigen retrieval with Tris-EDTA buffer (pH 9.0) for 20 minutes. The tissues were blocked in 1% BSA for 20 minutes at room temperature, washed with ddH2O and PBS, and then probed with the primary antibody (HA722362) at 1/1,000 dilution for 1 hour at room temperature. The detection was performed using an HRP conjugated compact polymer system. DAB was used as the chromogen. Tissues were counterstained with hematoxylin and mounted with DPX.
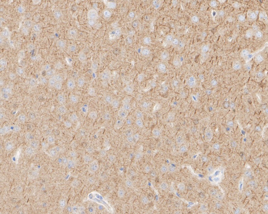
HA722362_4.jpg Fig4: Immunohistochemical analysis of paraffin-embedded mouse brain tissue with Rabbit anti-NgR3 antibody (HA722362) at 1/3,000 dilution.

The section was pre-treated using heat mediated antigen retrieval with Tris-EDTA buffer (pH 9.0) for 20 minutes. The tissues were blocked in 1% BSA for 20 minutes at room temperature, washed with ddH2O and PBS, and then probed with the primary antibody (HA722362) at 1/3,000 dilution for 1 hour at room temperature. The detection was performed using an HRP conjugated compact polymer system. DAB was used as the chromogen. Tissues were counterstained with hematoxylin and mounted with DPX.
HA722362_5.jpg Fig5: Immunohistochemical analysis of paraffin-embedded rat brain tissue with Rabbit anti-NgR3 antibody (HA722362) at 1/1,000 dilution.

The section was pre-treated using heat mediated antigen retrieval with Tris-EDTA buffer (pH 9.0) for 20 minutes. The tissues were blocked in 1% BSA for 20 minutes at room temperature, washed with ddH2O and PBS, and then probed with the primary antibody (HA722362) at 1/1,000 dilution for 1 hour at room temperature. The detection was performed using an HRP conjugated compact polymer system. DAB was used as the chromogen. Tissues were counterstained with hematoxylin and mounted with DPX.
Note: All products are “FOR RESEARCH USE ONLY AND ARE NOT INTENDED FOR DIAGNOSTIC OR THERAPEUTIC USE”.