CFD Recombinant Rabbit Monoclonal Antibody [JE65-08]
cat.: HA722364
Product Type: Recombinant Rabbit monoclonal IgG, primary antibodies
Species reactivity: Human
Applications: WB, IF-Cell, IHC-P, IF-Tissue
Clonality: Monoclonal
Clone number: JE65-08
Form: Liquid
Storage condition: Shipped at 4℃. Store at +4℃ short term (1-2 weeks). It is recommended to aliquot into single-use upon delivery. Store at -20℃ long term.
Storage buffer: 1*TBS (pH7.4), 0.05% BSA, 40% Glycerol. Preservative: 0.05% Sodium Azide.
Concentration: 1ug/ul
Purification: Protein A affinity purified.
Molecular weight: Predicted band size: 27 kDa
Isotype: IgG
Immunogen: Recombinant protein within Human CFD aa 54-253 / 253.
Positive control: THP-1 cell lysate, A549 cell lysate, U-937 cell lysate, Human serum lysate, Human plasma lysate, THP-1, human kidney tissue, mouse kidney tissue, rat kidney tissue.
Subcellular location: Secreted.
Recommended Dilutions:
  WB
  IF-Cell
  IHC-P
  IF-Tissue

1:1,000
1:100
1:200-1:5,000
1:200-1:1,000
Uniprot #: SwissProt: P00746 Human
Alternative names: Adipsin Adipsin/complement factor D Adn C3 convertase activator CFAD_HUMAN CFD Complement factor D complement factor D preproprotein D component of complement DF FactorD PFD Properdin factor D
Images
HA722364_1.jpg Fig1: Western blot analysis of CFD on different lysates with Rabbit anti-CFD antibody (HA722364) at 1/1,000 dilution.

Lane 1: THP-1 cell lysate (20 µg/Lane)
Lane 2: A549 cell lysate (20 µg/Lane)
Lane 3: U-937 cell lysate (20 µg/Lane)
Lane 4: Human serum lysate (40 µg/Lane)
Lane 5: Human plasma lysate (40 µg/Lane)

Predicted band size: 27 kDa
Observed band size: 25 kDa

Exposure time: 30 seconds; ECL: K1801;

4-20% SDS-PAGE gel.

Proteins were transferred to a PVDF membrane and blocked with 5% NFDM/TBST for 1 hour at room temperature. The primary antibody (HA722364) at 1/1,000 dilution was used in 5% NFDM/TBST at 4℃ overnight. Goat Anti-Rabbit IgG - HRP Secondary Antibody (HA1001) at 1/50,000 dilution was used for 1 hour at room temperature.
HA722364_2.jpg Fig2: Immunocytochemistry analysis of THP-1 cells labeling CFD with Rabbit anti-CFD antibody (HA722364) at 1/100 dilution.

Cells were fixed in 4% paraformaldehyde for 20 minutes at room temperature, permeabilized with 0.1% Triton X-100 in PBS for 5 minutes at room temperature, then blocked with 1% BSA in 10% negative goat serum for 1 hour at room temperature. Cells were then incubated with Rabbit anti-CFD antibody (HA722364) at 1/100 dilution in 1% BSA in PBST overnight at 4 ℃. Goat Anti-Rabbit IgG H&L (iFluor™ 488, HA1121) was used as the secondary antibody at 1/1,000 dilution. PBS instead of the primary antibody was used as the secondary antibody only control. Nuclear DNA was labelled in blue with DAPI.

Beta tubulin (M1305-2, red) was stained at 1/100 dilution overnight at +4℃. Goat Anti-Mouse IgG H&L (iFluor™ 594, HA1126) was used as the secondary antibody at 1/1,000 dilution.
HA722364_3.jpg Fig3: Immunohistochemical analysis of paraffin-embedded human kidney tissue with Rabbit anti-CFD antibody (HA722364) at 1/5,000 dilution.

The section was pre-treated using heat mediated antigen retrieval with Tris-EDTA buffer (pH 9.0) for 20 minutes. The tissues were blocked in 1% BSA for 20 minutes at room temperature, washed with ddH2O and PBS, and then probed with the primary antibody (HA722364) at 1/5,000 dilution for 1 hour at room temperature. The detection was performed using an HRP conjugated compact polymer system. DAB was used as the chromogen. Tissues were counterstained with hematoxylin and mounted with DPX.
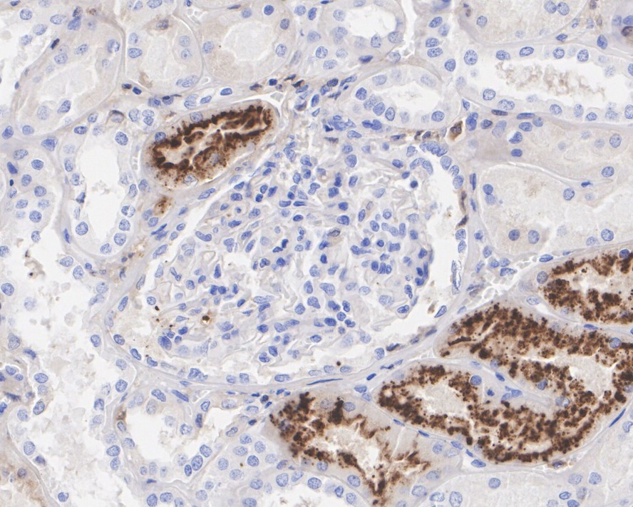
HA722364_4.jpg Fig4: Immunohistochemical analysis of paraffin-embedded mouse kidney tissue with Rabbit anti-CFD antibody (HA722364) at 1/200 dilution.

The section was pre-treated using heat mediated antigen retrieval with Tris-EDTA buffer (pH 9.0) for 20 minutes. The tissues were blocked in 1% BSA for 20 minutes at room temperature, washed with ddH2O and PBS, and then probed with the primary antibody (HA722364) at 1/200 dilution for 1 hour at room temperature. The detection was performed using an HRP conjugated compact polymer system. DAB was used as the chromogen. Tissues were counterstained with hematoxylin and mounted with DPX.
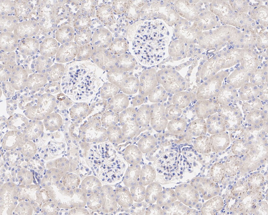
HA722364_5.jpg Fig5: Immunohistochemical analysis of paraffin-embedded rat kidney tissue with Rabbit anti-CFD antibody (HA722364) at 1/200 dilution.

The section was pre-treated using heat mediated antigen retrieval with Tris-EDTA buffer (pH 9.0) for 20 minutes. The tissues were blocked in 1% BSA for 20 minutes at room temperature, washed with ddH2O and PBS, and then probed with the primary antibody (HA722364) at 1/200 dilution for 1 hour at room temperature. The detection was performed using an HRP conjugated compact polymer system. DAB was used as the chromogen. Tissues were counterstained with hematoxylin and mounted with DPX.
Note: All products are “FOR RESEARCH USE ONLY AND ARE NOT INTENDED FOR DIAGNOSTIC OR THERAPEUTIC USE”.