MyD88 Recombinant Rabbit Monoclonal Antibody [PSH05-58]
cat.: HA722378
Product Type: Recombinant Rabbit monoclonal IgG, primary antibodies
Species reactivity: Human, Monkey
Applications: WB, IF-Cell, IHC-P, FC, IP
Clonality: Monoclonal
Clone number: PSH05-58
Form: Liquid
Storage condition: Shipped at 4℃. Store at +4℃ short term (1-2 weeks). It is recommended to aliquot into single-use upon delivery. Store at -20℃ long term.
Storage buffer: PBS (pH7.4), 0.1% BSA, 40% Glycerol. Preservative: 0.05% Sodium Azide.
Concentration: 1ug/ul
Purification: Protein A affinity purified.
Molecular weight: Predicted band size: 33 kDa
Isotype: IgG
Immunogen: Recombinant protein within human MyD88 aa 101-296 / 296.
Positive control: A549 cell lysate, HepG2 cell lysate, MCF7 cell lysate, Jurkat cell lysate, K-562 cell lysate, HL-60 cell lysate, LNCaP cell lysate, SK-Br-3 cell lysate, COS-1 cell lysate, A549, human kidney tissue, human lung cancer tissue.
Subcellular location: Cytoplasm.
Recommended Dilutions:
  WB
  IF-Cell
  IHC-P
  FC
  IP

1:2,000
1:100
1:500-1:1,000
1:1,000
1-2μg/sample
Uniprot #: SwissProt: Q99836 Human
Alternative names: Mutant myeloid differentiation primary response 88 MYD 88 Myd88 MYD88_HUMAN MYD88D Myeloid differentiation marker 88 Myeloid differentiation primary response 88 Myeloid differentiation primary response gene (88) Myeloid differentiation primary response gene 88 Myeloid differentiation primary response gene Myeloid differentiation primary response protein MyD88 OTTHUMP00000161718 OTTHUMP00000208595 OTTHUMP00000209058 OTTHUMP00000209059 OTTHUMP00000209060
Images
HA722378_1.jpg Fig1: Western blot analysis of MyD88 on different lysates with Rabbit anti-MyD88 antibody (HA722378) at 1/2,000 dilution.

Lane 1: A549 cell lysate
Lane 2: HepG2 cell lysate
Lane 3: MCF7 cell lysate
Lane 4: Jurkat cell lysate
Lane 5: K-562 cell lysate
Lane 6: HL-60 cell lysate
Lane 7: LNCaP cell lysate
Lane 8: SK-Br-3 cell lysate
Lane 9: COS-1 cell lysate

Lysates/proteins at 20 µg/Lane.

Predicted band size: 33 kDa
Observed band size: 33 kDa

Exposure time: 10 seconds; ECL: K1801;

4-20% SDS-PAGE gel.

Proteins were transferred to a PVDF membrane and blocked with 5% NFDM/TBST for 1 hour at room temperature. The primary antibody (HA722378) at 1/2,000 dilution was used in 5% NFDM/TBST at 4℃ overnight. Goat Anti-Rabbit IgG - HRP Secondary Antibody (HA1001) at 1/50,000 dilution was used for 1 hour at room temperature.
HA722378_2.jpg Fig2: Immunocytochemistry analysis of A549 cells labeling MyD88 with Rabbit anti-MyD88 antibody (HA722378) at 1/100 dilution.

Cells were fixed in 4% paraformaldehyde for 20 minutes at room temperature, permeabilized with 0.1% Triton X-100 in PBS for 5 minutes at room temperature, then blocked with 1% BSA in 10% negative goat serum for 1 hour at room temperature. Cells were then incubated with Rabbit anti-MyD88 antibody (HA722378) at 1/100 dilution in 1% BSA in PBST overnight at 4 ℃. Goat Anti-Rabbit IgG H&L (iFluor™ 488, HA1121) was used as the secondary antibody at 1/1,000 dilution. PBS instead of the primary antibody was used as the secondary antibody only control. Nuclear DNA was labelled in blue with DAPI.

Beta tubulin (M1305-2, red) was stained at 1/100 dilution overnight at +4℃. Goat Anti-Mouse IgG H&L (iFluor™ 594, HA1126) was used as the secondary antibody at 1/1,000 dilution.
HA722378_3.jpg Fig3: Immunohistochemical analysis of paraffin-embedded human kidney tissue with Rabbit anti-MyD88 antibody (HA722378) at 1/500 dilution.

The section was pre-treated using heat mediated antigen retrieval with Tris-EDTA buffer (pH 9.0) for 20 minutes. The tissues were blocked in 1% BSA for 20 minutes at room temperature, washed with ddH2O and PBS, and then probed with the primary antibody (HA722378) at 1/1,000 dilution for 1 hour at room temperature. The detection was performed using an HRP conjugated compact polymer system. DAB was used as the chromogen. Tissues were counterstained with hematoxylin and mounted with DPX.
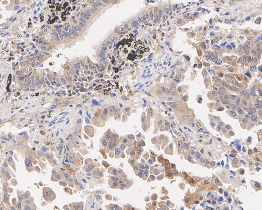
HA722378_4.jpg Fig4: Immunohistochemical analysis of paraffin-embedded human lung cancer tissue with Rabbit anti-MyD88 antibody (HA722378) at 1/2,000 dilution.

The section was pre-treated using heat mediated antigen retrieval with Tris-EDTA buffer (pH 9.0) for 20 minutes. The tissues were blocked in 1% BSA for 20 minutes at room temperature, washed with ddH2O and PBS, and then probed with the primary antibody (HA722378) at 1/2,000 dilution for 1 hour at room temperature. The detection was performed using an HRP conjugated compact polymer system. DAB was used as the chromogen. Tissues were counterstained with hematoxylin and mounted with DPX.
HA722378_5.jpg Fig5: Flow cytometric analysis of A549 cells labeling MyD88.

Cells were fixed and permeabilized. Then stained with the primary antibody (HA722378, 1/1,000) (red) compared with Rabbit IgG Isotype Control (green). After incubation of the primary antibody at +4℃ for an hour, the cells were stained with a iFluor™ 488 conjugate-Goat anti-Rabbit IgG Secondary antibody (HA1121) at 1/1,000 dilution for 30 minutes at +4℃. Unlabelled sample was used as a control (cells without incubation with primary antibody; black).
HA722378_6.jpg Fig6: MyD88 was immunoprecipitated from 0.2 mg A549 cell lysate with HA722378 at 2 µg/25 µl agarose. Western blot was performed from the immunoprecipitate using HA722378 at 1/1,000 dilution. Anti-Rabbit IgG for IP Nano-secondary antibody (NBI01H) at 1/5,000 dilution was used for 1 hour at room temperature.

Lane 1: A549 cell lysate (input)
Lane 2: HA722378 IP in A549 cell lysate
Lane 3: Rabbit IgG instead of HA722378 in A549 cell lysate

Blocking/Dilution buffer: 5% NFDM/TBST
Exposure time: 14 seconds; ECL: K1801
Note: All products are “FOR RESEARCH USE ONLY AND ARE NOT INTENDED FOR DIAGNOSTIC OR THERAPEUTIC USE”.