FHIT Recombinant Rabbit Monoclonal Antibody [JE33-58]
cat.: HA722390
Product Type: Recombinant Rabbit monoclonal IgG, primary antibodies
Species reactivity: Human, Mouse, Rat
Applications: WB, IHC-P, FC, IF-Tissue
Clonality: Monoclonal
Clone number: JE33-58
Form: Liquid
Storage condition: Shipped at 4℃. Store at +4℃ short term (1-2 weeks). It is recommended to aliquot into single-use upon delivery. Store at -20℃ long term.
Storage buffer: 1*TBS (pH7.4), 0.05% BSA, 40% Glycerol. Preservative: 0.05% Sodium Azide.
Concentration: 1ug/ul
Purification: Protein A affinity purified.
Molecular weight: Predicted band size: 17 kDa
Isotype: IgG
Immunogen: Recombinant protein within human FHIT aa 1-147.
Positive control: Jurkat cell lysate, HeLa cell lysate, human liver tissue lysate, mouse liver tissue lysate, rat liver tissue lysate, rat kidney tissue lysate, HeLa, human kidney tissue, mouse kidney tissue, rat kidney tissue.
Subcellular location: Cytoplasm, Mitochondrion, Nucleus.
Recommended Dilutions:
  WB
  IHC-P
  FC
  IF-Tissue

1:1,000
1:1,000
1:1,000
1:200
Uniprot #: SwissProt: P49789 Human | O89106 Mouse | Q9JIX3 Rat
Alternative names: AP3A hydrolase AP3A hydrolase fragile site 3p14.2 AP3Aase Bis 5' adenosyl triphosphatase Bis(5' adenosyl) triphosphatase Diadenosine 5' 5''' P1 P3 triphosphate hydrolase Dinucleosidetriphosphatase FRA 3B FRA3B Fragile histidine triad Fragile histidine triad gene Fragile histidine triad protein Tumor suppressor protein FHIT
Images
HA722390_1.jpg Fig1: Western blot analysis of FHIT on different lysates with Rabbit anti-FHIT antibody (HA722390) at 1/1,000 dilution.

Lane 1: Jurkat cell lysate (20 µg/Lane)
Lane 2: HeLa cell lysate (20 µg/Lane)
Lane 3: Human liver tissue lysate (40 µg/Lane)
Lane 4: Mouse liver tissue lysate (40 µg/Lane)
Lane 5: Rat liver tissue lysate (40 µg/Lane)
Lane 6: Rat kidney tissue lysate (40 µg/Lane)

Predicted band size: 17 kDa
Observed band size: 17/34 kDa

Exposure time: 3 minutes; ECL: K1801;

4-20% SDS-PAGE gel.

Proteins were transferred to a PVDF membrane and blocked with 5% NFDM/TBST for 1 hour at room temperature. The primary antibody (HA722390) at 1/1,000 dilution was used in 5% NFDM/TBST at 4℃ overnight. Goat Anti-Rabbit IgG - HRP Secondary Antibody (HA1001) at 1/50,000 dilution was used for 1 hour at room temperature.
HA722390_2.jpg Fig2: Flow cytometric analysis of HeLa cells labeling FHIT.

Cells were fixed and permeabilized. Then stained with the primary antibody (HA722390, 1/1,000) (red) compared with Rabbit IgG Isotype Control (green). After incubation of the primary antibody at +4℃ for an hour, the cells were stained with a iFluor™ 488 conjugate-Goat anti-Rabbit IgG Secondary antibody (HA1121) at 1/1,000 dilution for 30 minutes at +4℃. Unlabelled sample was used as a control (cells without incubation with primary antibody; black).
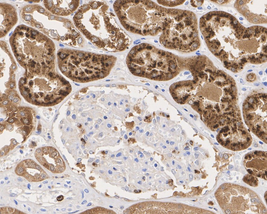
HA722390_3.jpg Fig3: Immunohistochemical analysis of paraffin-embedded human kidney tissue with Rabbit anti-FHIT antibody (HA722390) at 1/1,000 dilution.

The section was pre-treated using heat mediated antigen retrieval with Tris-EDTA buffer (pH 9.0) for 20 minutes. The tissues were blocked in 1% BSA for 20 minutes at room temperature, washed with ddH2O and PBS, and then probed with the primary antibody (HA722390) at 1/1,000 dilution for 1 hour at room temperature. The detection was performed using an HRP conjugated compact polymer system. DAB was used as the chromogen. Tissues were counterstained with hematoxylin and mounted with DPX.
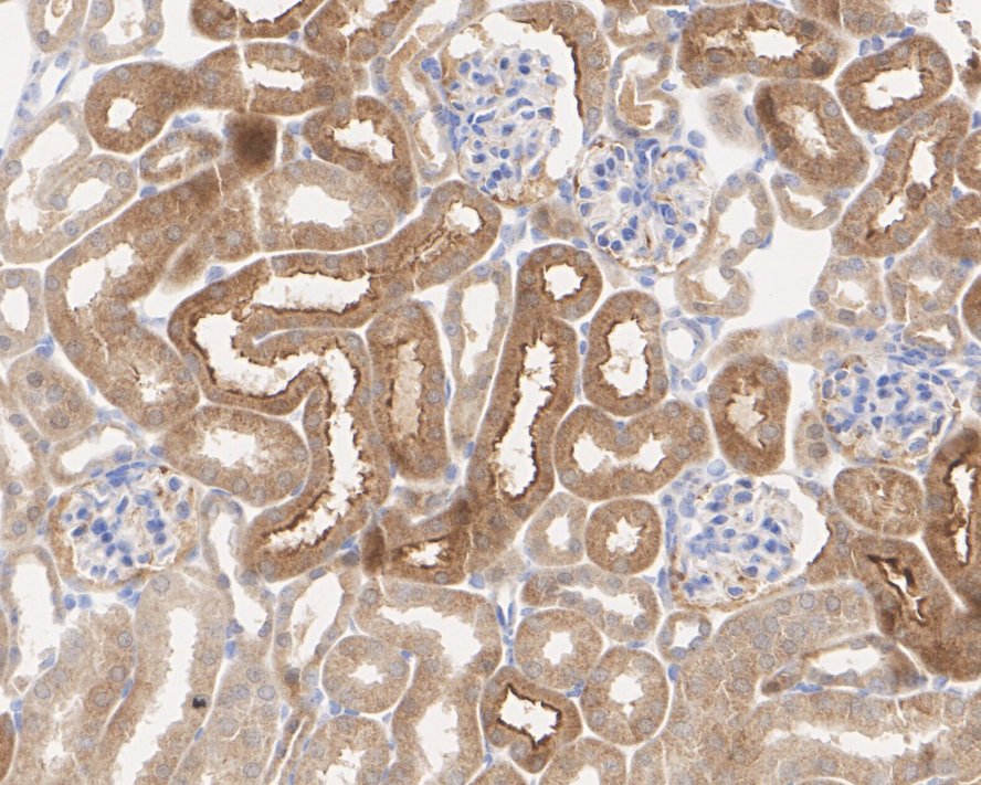
HA722390_4.jpg Fig4: Immunohistochemical analysis of paraffin-embedded mouse kidney tissue with Rabbit anti-FHIT antibody (HA722390) at 1/1,000 dilution.

The section was pre-treated using heat mediated antigen retrieval with Tris-EDTA buffer (pH 9.0) for 20 minutes. The tissues were blocked in 1% BSA for 20 minutes at room temperature, washed with ddH2O and PBS, and then probed with the primary antibody (HA722390) at 1/1,000 dilution for 1 hour at room temperature. The detection was performed using an HRP conjugated compact polymer system. DAB was used as the chromogen. Tissues were counterstained with hematoxylin and mounted with DPX.
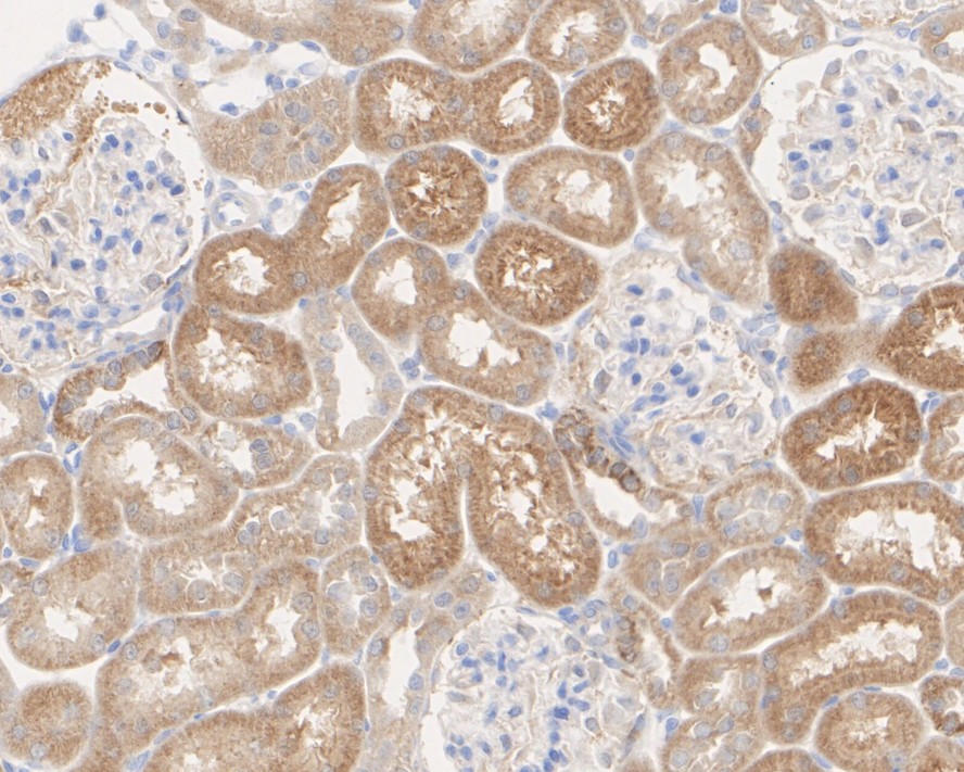
HA722390_5.jpg Fig5: Immunohistochemical analysis of paraffin-embedded rat kidney tissue with Rabbit anti-FHIT antibody (HA722390) at 1/1,000 dilution.

The section was pre-treated using heat mediated antigen retrieval with Tris-EDTA buffer (pH 9.0) for 20 minutes. The tissues were blocked in 1% BSA for 20 minutes at room temperature, washed with ddH2O and PBS, and then probed with the primary antibody (HA722390) at 1/1,000 dilution for 1 hour at room temperature. The detection was performed using an HRP conjugated compact polymer system. DAB was used as the chromogen. Tissues were counterstained with hematoxylin and mounted with DPX.
Note: All products are “FOR RESEARCH USE ONLY AND ARE NOT INTENDED FOR DIAGNOSTIC OR THERAPEUTIC USE”.