GLUD1 Recombinant Rabbit Monoclonal Antibody [JE33-77]
cat.: HA722392
Product Type: Recombinant Rabbit monoclonal IgG, primary antibodies
Species reactivity: Human, Mouse, Rat
Applications: WB, IF-Cell, IHC-P, FC
Clonality: Monoclonal
Clone number: JE33-77
Form: Liquid
Storage condition: Shipped at 4℃. Store at +4℃ short term (1-2 weeks). It is recommended to aliquot into single-use upon delivery. Store at -20℃ long term.
Storage buffer: 1*TBS (pH7.4), 0.05% BSA, 40% Glycerol. Preservative: 0.05% Sodium Azide.
Concentration: 1ug/ul
Purification: Protein A affinity purified.
Molecular weight: Predicted band size: 61 kDa
Isotype: IgG
Immunogen: Recombinant protein within Human GLUD1 aa 459-558 / 558.
Positive control: HepG2 cell lysate, human liver tissue lysate, mouse liver tissue lysate, rat liver tissue lysate, mouse brain tissue lysate, rat brain tissue lysate, HepG2, human liver tissue, mouse liver tissue, rat liver tissue.
Subcellular location: Mitochondrion, Endoplasmic reticulum.
Recommended Dilutions:
  WB
  IF-Cell
  IHC-P

1:1,000
1:50
1:200-1:1,000
Uniprot #: SwissProt: P00367 Human | P26443 Mouse | P10860 Rat
Alternative names: AI118167 DHE3_HUMAN EC 1.4.1.3 GDH 1 GDH Gdh-X GDH1 GLUD Glud1 Glud1a Glud1b Gludl Glutamate dehydrogenase (NAD(P)+) Glutamate dehydrogenase 1 Glutamate dehydrogenase 1 mitochondrial Glutamate dehydrogenase 1a Glutamate dehydrogenase 1b Memory-related gene 2 protein MGC127177 MGC132003 MGC80801 MGC93608 mitochondrial MRG-2
Images
HA722392_1.jpg Fig1: Western blot analysis of GLUD1 on different lysates with Rabbit anti-GLUD1 antibody (HA722392) at 1/1,000 dilution.

Lane 1: HepG2 cell lysate (20 µg/Lane)
Lane 2: Human liver tissue lysate (40 µg/Lane)
Lane 3: Mouse liver tissue lysate (40 µg/Lane)
Lane 4: Rat liver tissue lysate (40 µg/Lane)
Lane 5: Mouse brain tissue lysate (40 µg/Lane)
Lane 6: Rat brain tissue lysate (40 µg/Lane)

Predicted band size: 61 kDa
Observed band size: 50 kDa

Exposure time: 30 seconds; ECL: K1801;

4-20% SDS-PAGE gel.

Proteins were transferred to a PVDF membrane and blocked with 5% NFDM/TBST for 1 hour at room temperature. The primary antibody (HA722392) at 1/1,000 dilution was used in 5% NFDM/TBST at 4℃ overnight. Goat Anti-Rabbit IgG - HRP Secondary Antibody (HA1001) at 1/50,000 dilution was used for 1 hour at room temperature.
HA722392_2.jpg Fig2: Immunocytochemistry analysis of HepG2 cells labeling GLUD1 with Rabbit anti-GLUD1 antibody (HA722392) at 1/50 dilution.

Cells were fixed in 4% paraformaldehyde for 20 minutes at room temperature, permeabilized with 0.1% Triton X-100 in PBS for 5 minutes at room temperature, then blocked with 1% BSA in 10% negative goat serum for 1 hour at room temperature. Cells were then incubated with Rabbit anti-GLUD1 antibody (HA722392) at 1/50 dilution in 1% BSA in PBST overnight at 4 ℃. Goat Anti-Rabbit IgG H&L (iFluor™ 488, HA1121) was used as the secondary antibody at 1/1,000 dilution. PBS instead of the primary antibody was used as the secondary antibody only control. Nuclear DNA was labelled in blue with DAPI.

Beta tubulin (M1305-2, red) was stained at 1/100 dilution overnight at +4℃. Goat Anti-Mouse IgG H&L (iFluor™ 594, HA1126) was used as the secondary antibody at 1/1,000 dilution.
HA722392_3.jpg Fig3: Immunohistochemical analysis of paraffin-embedded human liver tissue with Rabbit anti-GLUD1 antibody (HA722392) at 1/1,000 dilution.

The section was pre-treated using heat mediated antigen retrieval with Tris-EDTA buffer (pH 9.0) for 20 minutes. The tissues were blocked in 1% BSA for 20 minutes at room temperature, washed with ddH2O and PBS, and then probed with the primary antibody (HA722392) at 1/1,000 dilution for 1 hour at room temperature. The detection was performed using an HRP conjugated compact polymer system. DAB was used as the chromogen. Tissues were counterstained with hematoxylin and mounted with DPX.
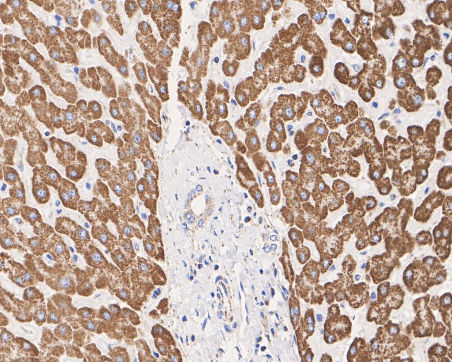
HA722392_4.jpg Fig4: Immunohistochemical analysis of paraffin-embedded mouse liver tissue with Rabbit anti-GLUD1 antibody (HA722392) at 1/1,000 dilution.

The section was pre-treated using heat mediated antigen retrieval with Tris-EDTA buffer (pH 9.0) for 20 minutes. The tissues were blocked in 1% BSA for 20 minutes at room temperature, washed with ddH2O and PBS, and then probed with the primary antibody (HA722392) at 1/1,000 dilution for 1 hour at room temperature. The detection was performed using an HRP conjugated compact polymer system. DAB was used as the chromogen. Tissues were counterstained with hematoxylin and mounted with DPX.
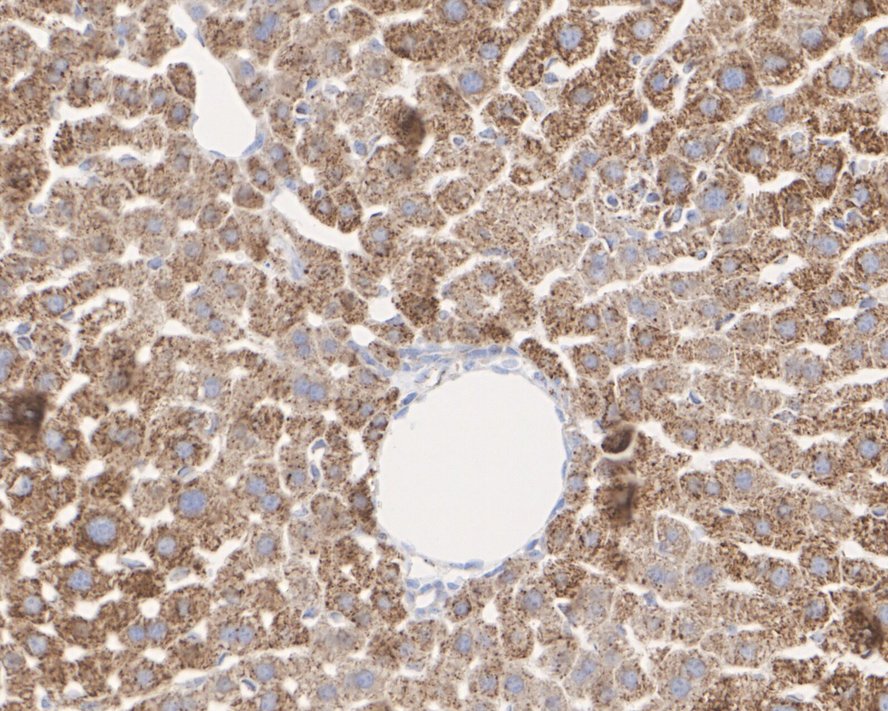
HA722392_5.jpg Fig5: Immunohistochemical analysis of paraffin-embedded rat liver tissue with Rabbit anti-GLUD1 antibody (HA722392) at 1/1,000 dilution.

The section was pre-treated using heat mediated antigen retrieval with Tris-EDTA buffer (pH 9.0) for 20 minutes. The tissues were blocked in 1% BSA for 20 minutes at room temperature, washed with ddH2O and PBS, and then probed with the primary antibody (HA722392) at 1/1,000 dilution for 1 hour at room temperature. The detection was performed using an HRP conjugated compact polymer system. DAB was used as the chromogen. Tissues were counterstained with hematoxylin and mounted with DPX.
Note: All products are “FOR RESEARCH USE ONLY AND ARE NOT INTENDED FOR DIAGNOSTIC OR THERAPEUTIC USE”.