Cadherin 16 Recombinant Rabbit Monoclonal Antibody [JE60-37]
cat.: HA722408
Product Type: Recombinant Rabbit monoclonal IgG, primary antibodies
Species reactivity: Human, Mouse
Applications: WB, IHC-P, IF-Tissue
Clonality: Monoclonal
Clone number: JE60-37
Form: Liquid
Storage condition: Shipped at 4℃. Store at +4℃ short term (1-2 weeks). It is recommended to aliquot into single-use upon delivery. Store at -20℃ long term.
Storage buffer: 1*TBS (pH7.4), 0.05% BSA, 40% Glycerol. Preservative: 0.05% Sodium Azide.
Concentration: 1ug/ul
Purification: Protein A affinity purified.
Molecular weight: Predicted band size: 90 kDa
Isotype: IgG
Immunogen: Recombinant protein within Human Cadherin 16 aa 1-200 / 829.
Positive control: Mouse kidney tissue lysates, human kidney tissue, mouse kidney tissue.
Subcellular location: Cell membrane.
Recommended Dilutions:
  WB
  IHC-P
  IF-Tissue

1:1,000
1:1,000
1:200
Uniprot #: SwissProt: O75309 Human | O88338 Mouse
Alternative names: CAD16_HUMAN Cadherin 16 Cadherin 16 KSP cadherin Cadherin kidney Cadherin-16 CDH 16 CDH16 Kidney cadherin Kidney specific cadherin Kidney-specific cadherin Ksp cadherin Ksp-cadherin PRO1340 UNQ695
Images
HA722408_1.jpg Fig1: Western blot analysis of Cadherin 16 on mouse kidney tissue lysates with Rabbit anti-Cadherin 16 antibody (HA722408) at 1/1,000 dilution.

Lysates/proteins at 40 µg/Lane.

Predicted band size: 90 kDa
Observed band size: 130 kDa

Exposure time: 8 seconds; ECL: K1801;
4-20% SDS-PAGE gel.

Proteins were transferred to a PVDF membrane and blocked with 5% NFDM/TBST for 1 hour at room temperature. The primary antibody (HA722408) at 1/1,000 dilution was used in 5% NFDM/TBST at 4℃ overnight. Goat Anti-Rabbit IgG - HRP Secondary Antibody (HA1001) at 1/50,000 dilution was used for 1 hour at room temperature.
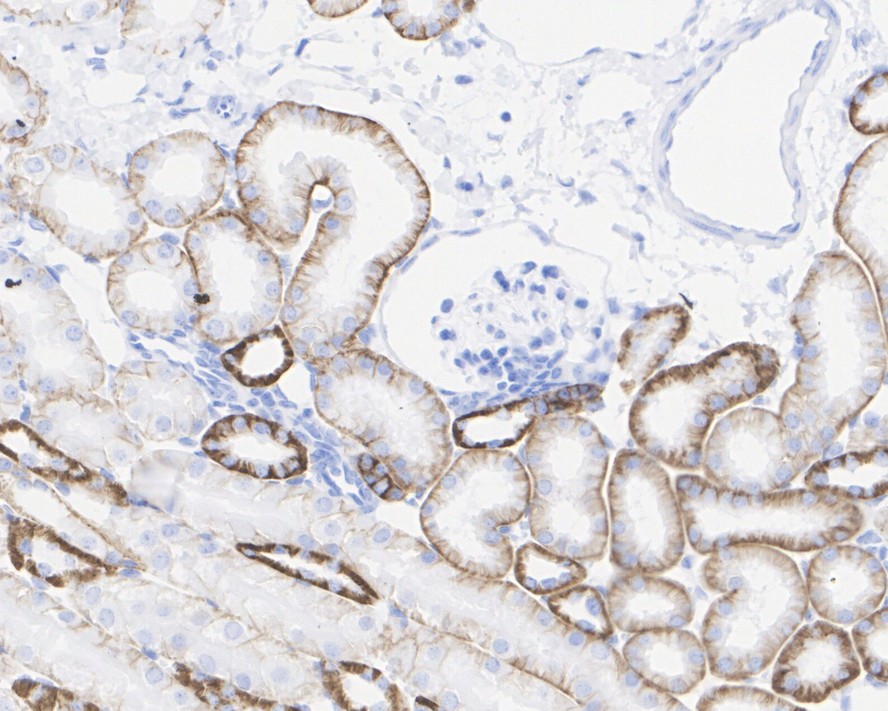
HA722408_2.jpg Fig2: Immunohistochemical analysis of paraffin-embedded human kidney tissue with Rabbit anti-Cadherin 16 antibody (HA722408) at 1/1,000 dilution.

The section was pre-treated using heat mediated antigen retrieval with Tris-EDTA buffer (pH 9.0) for 20 minutes. The tissues were blocked in 1% BSA for 20 minutes at room temperature, washed with ddH2O and PBS, and then probed with the primary antibody (HA722408) at 1/1,000 dilution for 1 hour at room temperature. The detection was performed using an HRP conjugated compact polymer system. DAB was used as the chromogen. Tissues were counterstained with hematoxylin and mounted with DPX.
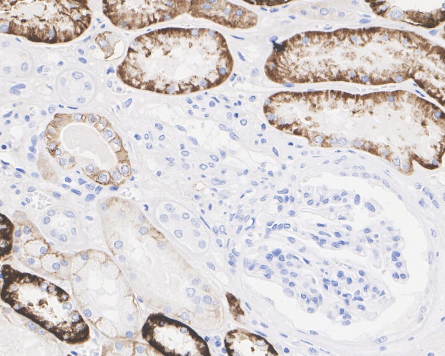
HA722408_3.jpg Fig3: Immunohistochemical analysis of paraffin-embedded mouse kidney tissue with Rabbit anti-Cadherin 16 antibody (HA722408) at 1/1,000 dilution.

The section was pre-treated using heat mediated antigen retrieval with Tris-EDTA buffer (pH 9.0) for 20 minutes. The tissues were blocked in 1% BSA for 20 minutes at room temperature, washed with ddH2O and PBS, and then probed with the primary antibody (HA722408) at 1/1,000 dilution for 1 hour at room temperature. The detection was performed using an HRP conjugated compact polymer system. DAB was used as the chromogen. Tissues were counterstained with hematoxylin and mounted with DPX.
Note: All products are “FOR RESEARCH USE ONLY AND ARE NOT INTENDED FOR DIAGNOSTIC OR THERAPEUTIC USE”.