HSPA12A Recombinant Rabbit Monoclonal Antibody [JE01-78]
cat.: HA722425
Product Type: Recombinant Rabbit monoclonal IgG, primary antibodies
Species reactivity: Human, Mouse, Rat
Applications: WB, IHC-P, IP
Clonality: Monoclonal
Clone number: JE01-78
Form: Liquid
Storage condition: Shipped at 4℃. Store at +4℃ short term (1-2 weeks). It is recommended to aliquot into single-use upon delivery. Store at -20℃ long term.
Storage buffer: 1*TBS (pH7.4), 0.05% BSA, 40% Glycerol. Preservative: 0.05% Sodium Azide.
Concentration: 1ug/ul
Purification: Protein A affinity purified.
Molecular weight: Predicted band size: 75 kDa
Isotype: IgG
Immunogen: Synthetic peptide within Human HSPA12A aa 101-150 / 675.
Positive control: HEK-293 cell lysate, U-87 MG cell lysate, human brain tissue lysate, mouse brain tissue lysate, rat brain tissue lysate, human kidney tissue, mouse kidney tissue, rat kidney tissue.
Subcellular location: Cytoplasm, Nucleus.
Recommended Dilutions:
  WB
  IHC-P
  IP

1:1,000
1:500
1-2μg/sample
Uniprot #: SwissProt: O43301 Human | Q8K0U4 Mouse
Entrez Gene: 307997 Rat
Alternative names: FLJ13874 Heat shock 70 kDa protein 12A heat shock 70kD protein 12A heat shock 70kDa protein 12A HS12A_HUMAN Hspa12a KIAA0417
Images
HA722425_1.jpg Fig1: Western blot analysis of HSPA12A on different lysates with Rabbit anti-HSPA12A antibody (HA722425) at 1/1,000 dilution.

Lane 1: HEK-293 cell lysate (10 µg/Lane)
Lane 2: U-87 MG cell lysate (10 µg/Lane)
Lane 3: Human brain tissue lysate (20 µg/Lane)
Lane 4: Mouse brain tissue lysate (20 µg/Lane)
Lane 5: Rat brain tissue lysate (20 µg/Lane)

Predicted band size: 75 kDa
Observed band size: 75 kDa

Exposure time: 1 minute 34 seconds; ECL: K1802;
4-20% SDS-PAGE gel.

Proteins were transferred to a PVDF membrane and blocked with 5% NFDM/TBST for 1 hour at room temperature. The primary antibody (HA722425) at 1/1,000 dilution was used in 5% NFDM/TBST at 4℃ overnight. Goat Anti-Rabbit IgG - HRP Secondary Antibody (HA1001) at 1/50,000 dilution was used for 1 hour at room temperature.
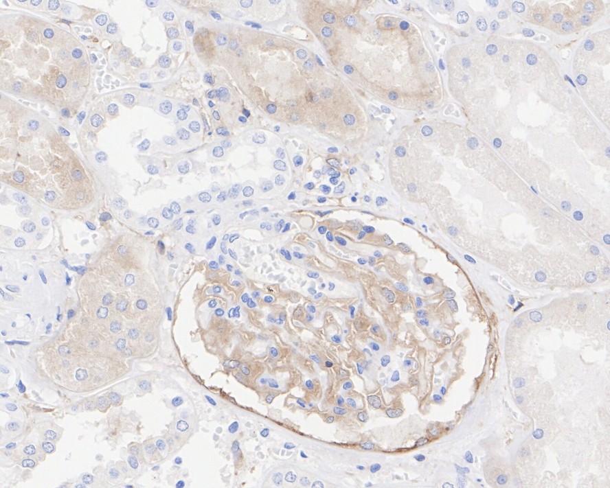
HA722425_2.jpg Fig2: Immunohistochemical analysis of paraffin-embedded human kidney tissue with Rabbit anti-HSPA12A antibody (HA722425) at 1/500 dilution.

The section was pre-treated using heat mediated antigen retrieval with Tris-EDTA buffer (pH 9.0) for 20 minutes. The tissues were blocked in 1% BSA for 20 minutes at room temperature, washed with ddH2O and PBS, and then probed with the primary antibody (HA722425) at 1/500 dilution for 1 hour at room temperature. The detection was performed using an HRP conjugated compact polymer system. DAB was used as the chromogen. Tissues were counterstained with hematoxylin and mounted with DPX.
HA722425_3.jpg Fig3: Immunohistochemical analysis of paraffin-embedded mouse kidney tissue with Rabbit anti-HSPA12A antibody (HA722425) at 1/500 dilution.

The section was pre-treated using heat mediated antigen retrieval with Tris-EDTA buffer (pH 9.0) for 20 minutes. The tissues were blocked in 1% BSA for 20 minutes at room temperature, washed with ddH2O and PBS, and then probed with the primary antibody (HA722425) at 1/500 dilution for 1 hour at room temperature. The detection was performed using an HRP conjugated compact polymer system. DAB was used as the chromogen. Tissues were counterstained with hematoxylin and mounted with DPX.
HA722425_4.jpg Fig4: Immunohistochemical analysis of paraffin-embedded rat kidney tissue with Rabbit anti-HSPA12A antibody (HA722425) at 1/500 dilution.

The section was pre-treated using heat mediated antigen retrieval with Tris-EDTA buffer (pH 9.0) for 20 minutes. The tissues were blocked in 1% BSA for 20 minutes at room temperature, washed with ddH2O and PBS, and then probed with the primary antibody (HA722425) at 1/500 dilution for 1 hour at room temperature. The detection was performed using an HRP conjugated compact polymer system. DAB was used as the chromogen. Tissues were counterstained with hematoxylin and mounted with DPX.
HA722425_5.jpg Fig5: HSPA12A was immunoprecipitated from 0.2 mg mouse brain tissue lysate with HA722425 at 2 µg/25 µl agarose. Western blot was performed from the immunoprecipitate using HA722425 at 1/1,000 dilution. Anti-Rabbit IgG for IP Nano-secondary antibody (NBI01H) at 1/5,000 dilution was used for 1 hour at room temperature.

Lane 1: Mouse brain tissue lysate (input)
Lane 2: HA722425 IP in mouse brain tissue lysate
Lane 3: Rabbit IgG instead of HA722425 in mouse brain tissue lysate

Blocking/Dilution buffer: 5% NFDM/TBST
Exposure time: 3 minutes; ECL: K1801
Note: All products are “FOR RESEARCH USE ONLY AND ARE NOT INTENDED FOR DIAGNOSTIC OR THERAPEUTIC USE”.