Langerin / CD207 Recombinant Rabbit Monoclonal Antibody [JE32-54]
cat.: HA722427
Product Type: Recombinant Rabbit monoclonal IgG, primary antibodies
Species reactivity: Human, Mouse
Applications: IHC-P
Clonality: Monoclonal
Clone number: JE32-54
Form: Liquid
Storage condition: Shipped at 4℃. Store at +4℃ short term (1-2 weeks). It is recommended to aliquot into single-use upon delivery. Store at -20℃ long term.
Storage buffer: 1*TBS (pH7.4), 0.05% BSA, 40% Glycerol. Preservative: 0.05% Sodium Azide.
Concentration: 1ug/ul
Purification: Protein A affinity purified.
Molecular weight: Predicted band size: 37 kDa
Isotype: IgG
Immunogen: Recombinant fragment within Human Langerin aa 200 to the C-terminus.
Positive control: Human esophagus tissue, human skin tissue, mouse skin tissue.
Subcellular location: Membrane.
Recommended Dilutions:
  IHC-P

1:200-1:1,000
Uniprot #: SwissProt: Q9UJ71 Human | Q8VBX4 Mouse
Alternative names: C type lectin domain family 4 member K C-type lectin domain family 4 member K CD 207 CD207 CD207 antigen CD207 antigen, langerin CD207 molecule CLC4K_HUMAN CLEC 4K CLEC4K Langerhans cell specific c type lectin Langerin RGD1565913
Images
HA722427_1.jpg Fig1: Immunohistochemical analysis of paraffin-embedded human esophagus tissue with Rabbit anti-Langerin / CD207 antibody (HA722427) at 1/1,000 dilution.

The section was pre-treated using heat mediated antigen retrieval with Tris-EDTA buffer (pH 9.0) for 20 minutes. The tissues were blocked in 1% BSA for 20 minutes at room temperature, washed with ddH2O and PBS, and then probed with the primary antibody (HA722427) at 1/1,000 dilution for 1 hour at room temperature. The detection was performed using an HRP conjugated compact polymer system. DAB was used as the chromogen. Tissues were counterstained with hematoxylin and mounted with DPX.
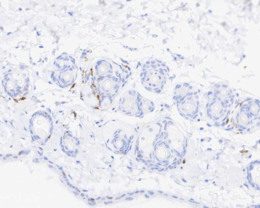
HA722427_2.jpg Fig2: Immunohistochemical analysis of paraffin-embedded human skin tissue with Rabbit anti-Langerin / CD207 antibody (HA722427) at 1/1,000 dilution.

The section was pre-treated using heat mediated antigen retrieval with Tris-EDTA buffer (pH 9.0) for 20 minutes. The tissues were blocked in 1% BSA for 20 minutes at room temperature, washed with ddH2O and PBS, and then probed with the primary antibody (HA722427) at 1/1,000 dilution for 1 hour at room temperature. The detection was performed using an HRP conjugated compact polymer system. DAB was used as the chromogen. Tissues were counterstained with hematoxylin and mounted with DPX.
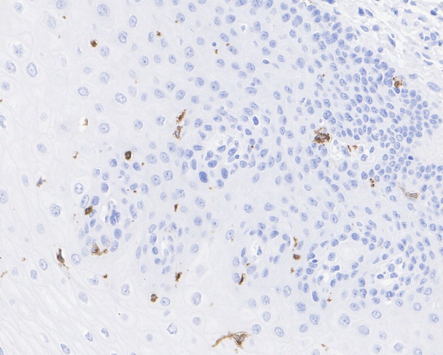
HA722427_3.jpg Fig3: Immunohistochemical analysis of paraffin-embedded mouse skin tissue with Rabbit anti-Langerin / CD207 antibody (HA722427) at 1/200 dilution.

The section was pre-treated using heat mediated antigen retrieval with Tris-EDTA buffer (pH 9.0) for 20 minutes. The tissues were blocked in 1% BSA for 20 minutes at room temperature, washed with ddH2O and PBS, and then probed with the primary antibody (HA722427) at 1/200 dilution for 1 hour at room temperature. The detection was performed using an HRP conjugated compact polymer system. DAB was used as the chromogen. Tissues were counterstained with hematoxylin and mounted with DPX.
HA722427_4.jpg Fig4: Immunohistochemical analysis of paraffin-embedded human brain tissue (negative) with Rabbit anti-Langerin / CD207 antibody (HA722427) at 1/200 dilution.

The section was pre-treated using heat mediated antigen retrieval with Tris-EDTA buffer (pH 9.0) for 20 minutes. The tissues were blocked in 1% BSA for 20 minutes at room temperature, washed with ddH2O and PBS, and then probed with the primary antibody (HA722427) at 1/200 dilution for 1 hour at room temperature. The detection was performed using an HRP conjugated compact polymer system. DAB was used as the chromogen. Tissues were counterstained with hematoxylin and mounted with DPX.
Note: All products are “FOR RESEARCH USE ONLY AND ARE NOT INTENDED FOR DIAGNOSTIC OR THERAPEUTIC USE”.