APPL Recombinant Rabbit Monoclonal Antibody [JE35-02]
cat.: HA722430
Product Type: Recombinant Rabbit monoclonal IgG, primary antibodies
Species reactivity: Human, Mouse, Rat
Applications: WB, IHC-P, IP
Clonality: Monoclonal
Clone number: JE35-02
Form: Liquid
Storage condition: Shipped at 4℃. Store at +4℃ short term (1-2 weeks). It is recommended to aliquot into single-use upon delivery. Store at -20℃ long term.
Storage buffer: 1*TBS (pH7.4), 0.05% BSA, 40% Glycerol. Preservative: 0.05% Sodium Azide.
Concentration: 1ug/ul
Purification: Protein A affinity purified.
Molecular weight: Predicted band size: 80 kDa
Isotype: IgG
Immunogen: Synthetic peptide within Human APPL aa 400-500.
Positive control: HeLa cell lysate, MCF7 cell lysate, HEK-293 cell lysate, C2C12 cell lysate, PC-12 cell lysate, mouse brain tissue lysate, rat lung tissue lysate, human pancreas tissue, mouse pancreas tissue, rat pancreas tissue.
Subcellular location: Early endosome membrane, Nucleus, Cytoplasm, Endosome, Cell projection, ruffle, Cytoplasmic vesicle, phagosome.
Recommended Dilutions:
  WB
  IHC-P
  IP

1:1,000
1:500
1-2μg/sample
Uniprot #: SwissProt: Q9UKG1 Human
Alternative names: Adapter protein containing PH domain Adaptor Protein Containing pH Domain Adaptor protein containing pH domain PTB domain and leucine zipper motif 1 Adaptor protein containing pH domain PTB domain and leucine zipper motif Adaptor protein phosphotyrosine interacting with PH domain and leucine zipper 1 AKT2 INTERACTOR APPL 1 Appl1 DCC interacting protein 13 alpha DCC-interacting protein 13-alpha DIP 13 alpha DIP13 alpha Dip13-alpha DIP13alpha DP13A_HUMAN KIAA1428 PTB domain and leucine zipper motif 1 PTB Domain and Leucine Zipper Motif Signaling adaptor protein DIP13alpha
Images
HA722430_1.jpg Fig1: Western blot analysis of APPL on different lysates with Rabbit anti-APPL antibody (HA722430) at 1/1,000 dilution.

Lane 1: HeLa cell lysate
Lane 2: MCF7 cell lysate
Lane 3: HEK-293 cell lysate
Lane 4: C2C12 cell lysate
Lane 5: PC-12 cell lysate
Lane 6: Mouse brain tissue lysate
Lane 7: Rat lung tissue lysate

Lysates/proteins at 20 µg/Lane.

Predicted band size: 80 kDa
Observed band size: 80 kDa

Exposure time: 15 seconds; ECL: K1801;

4-20% SDS-PAGE gel.

Proteins were transferred to a PVDF membrane and blocked with 5% NFDM/TBST for 1 hour at room temperature. The primary antibody (HA722430) at 1/1,000 dilution was used in 5% NFDM/TBST at 4℃ overnight. Goat Anti-Rabbit IgG - HRP Secondary Antibody (HA1001) at 1/50,000 dilution was used for 1 hour at room temperature.
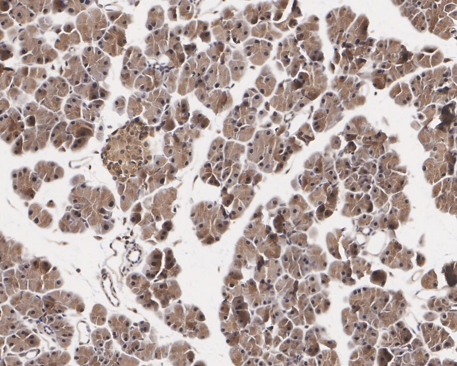
HA722430_2.jpg Fig2: Immunohistochemical analysis of paraffin-embedded human pancreas tissue with Rabbit anti-APPL antibody (HA722430) at 1/500 dilution.

The section was pre-treated using heat mediated antigen retrieval with Tris-EDTA buffer (pH 9.0) for 20 minutes. The tissues were blocked in 1% BSA for 20 minutes at room temperature, washed with ddH2O and PBS, and then probed with the primary antibody (HA722430) at 1/500 dilution for 1 hour at room temperature. The detection was performed using an HRP conjugated compact polymer system. DAB was used as the chromogen. Tissues were counterstained with hematoxylin and mounted with DPX.
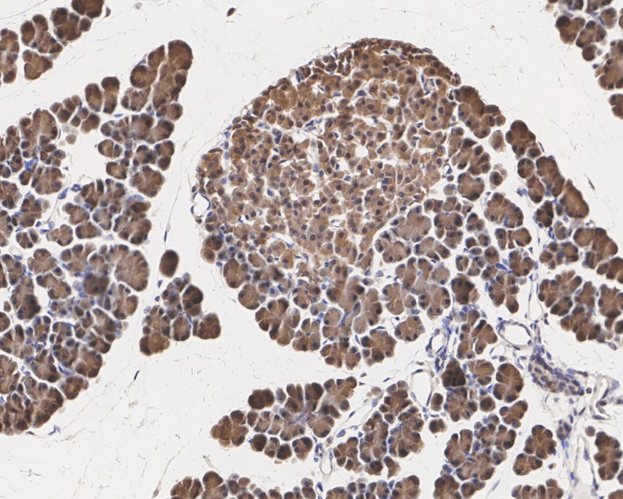
HA722430_3.jpg Fig3: Immunohistochemical analysis of paraffin-embedded mouse pancreas tissue with Rabbit anti-APPL antibody (HA722430) at 1/500 dilution.

The section was pre-treated using heat mediated antigen retrieval with Tris-EDTA buffer (pH 9.0) for 20 minutes. The tissues were blocked in 1% BSA for 20 minutes at room temperature, washed with ddH2O and PBS, and then probed with the primary antibody (HA722430) at 1/500 dilution for 1 hour at room temperature. The detection was performed using an HRP conjugated compact polymer system. DAB was used as the chromogen. Tissues were counterstained with hematoxylin and mounted with DPX.
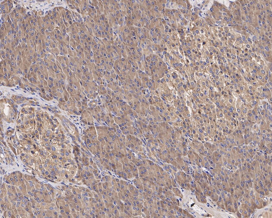
HA722430_4.jpg Fig4: Immunohistochemical analysis of paraffin-embedded rat pancreas tissue with Rabbit anti-APPL antibody (HA722430) at 1/500 dilution.

The section was pre-treated using heat mediated antigen retrieval with Tris-EDTA buffer (pH 9.0) for 20 minutes. The tissues were blocked in 1% BSA for 20 minutes at room temperature, washed with ddH2O and PBS, and then probed with the primary antibody (HA722430) at 1/500 dilution for 1 hour at room temperature. The detection was performed using an HRP conjugated compact polymer system. DAB was used as the chromogen. Tissues were counterstained with hematoxylin and mounted with DPX.
HA722430_5.jpg Fig5: APPL was immunoprecipitated from 0.2 mg HEK-293 cell lysate with HA722430 at 2 µg/10 µl beads. Western blot was performed from the immunoprecipitate using HA722430 at 1/1,000 dilution. HRP Conjugated Anti-Rabbit IgG for IP Nano-secondary antibody at 1/5,000 dilution was used for 1 hour at room temperature.

Lane 1: HEK-293 cell lysate (input)
Lane 2: HA722430 IP in HEK-293 cell lysate
Lane 3: Rabbit IgG instead of HA722430 in HEK-293 cell lysate

Blocking/Dilution buffer: primary antibody dilution (K1803)
Exposure time: 3 seconds; ECL: K1801
Note: All products are “FOR RESEARCH USE ONLY AND ARE NOT INTENDED FOR DIAGNOSTIC OR THERAPEUTIC USE”.